¿ Introducción
El hemangioendotelioma epitelioide hepático (HEH) es un tumor poco frecuente, con origen en las células del endotelio vascular y de causa desconocida, en la mayoría de los casos. Su diagnóstico es complejo debido a lo inespecífico de los datos clínicos y de las pruebas de imagen, por lo que se requiere siempre de un análisis histopatológico. Las opciones terapéuticas son múltiples, debido a su comportamiento biológico dudoso.1-3 Presentamos un caso tratado mediante resección local y radiofrecuencia. El objetivo de este informe es discutir aspectos clínicos, de diagnóstico, tratamiento y pronóstico de esta lesión poco frecuente.
¿ Presentación del caso
Hombre de 64 años que consultó por un cuadro de tres meses de evolución con astenia, anorexia y aumento progresivo del perímetro abdominal. Entre sus antecedentes destacan: ocupación como fontanero, consumo de 20 cigarrillos diarios y 80 gramos de alcohol al día por tiempo no especificado, así como enfermedad pulmonar obstructiva crónica. La exploración física demostró una buena coloración de piel y mucosas, sin estigmas de hepatopatía y la exploración abdominal no mostró hallazgos patológicos. La biometría hemática, los tiempos de coagulación, las pruebas de función hepática y renal así como los marcadores virales y tumorales fueron normales. La ecografía y la tomografía computarizada (TC) descubrieron dos lesiones focales hipodensas de 1.5 cm de diámetro localizadas en segmento VII y en la unión del VVIII a considerar como primera posibilidad posible afectación metastásica. Las pruebas realizadas para la detección del tumor primario incluyeron una radiografía de tórax, endoscopia digestiva alta y colonoscopia las cuales fueron normales, por lo que se realizó una punción hepática percutánea que resultó compatible con hepatopatía crónica sin datos de malignidad. Ante la ausencia de diagnóstico, se realizó una resección quirúrgica del nódulo del segmento V-VIII, que mostró la presencia de células fusiformes de citoplasma eosinófilo con una tinción inmunohistoquímica positiva para marcadores endoteliales (antígeno relacionado con factor VIII y CD34) y negativa para marcadores epiteliales (citoqueratinas) lo que resultó compatible con HEH (Figuras 1 y 2). Con éste diagnóstico, y debido a la dificultad de acceso quirúrgico, se completó el tratamiento en un segundo tiempo mediante ablación con radiofrecuencia del nódulo en segmento VII. Considerando la ausencia de enfermedad extrahepática y la realización de un tratamiento curativo, no se administró terapia adyuvante.
¿ Figura 1. Pieza quirúrgica: nódulo hepático de 2 cm de diámetro.
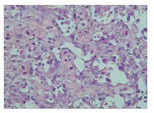
¿ Figura 2. Imagen histológica (técnica de hematoxilina-eosina, 100x): células endoteliales neoplásicas fusiformes con citoplasma eosinófilo con tendencia a formar estructuras vasculares.
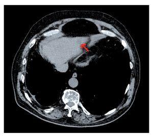
Al cabo de tres años de seguimiento, se detectó mediante TC una lesión sólida hipodensa de 1.5 cm de localización periférica en segmento II confirmada mediante resonancia magnética (RM) compatible con recidiva tumoral (Figura 3).
¿ Figura 3. TC abdominopélvica: lesión hipodensa de 1.5 cm en segmento II hepático (flecha) .
¿ Discusión
El término hemangioendotelioma fue acuñado por primera vez en 1982 por Weiss y Enzinger, quienes describieron unos tumªores originados en las células endoteliales vasculares de comportamiento intermedio entre el hemangioma y el angiosarcoma. Desde entonces, los casos publicados suelen ser experiencias personales únicas o series muy cortas con un número global de casos inferior a 500.1-4 El HEH es un tumor raro, con una incidencia < 0.1 caso/100 000 habitantes/año, ligeramente más frecuente en mujeres que en hombres, entre la cuarta y quinta décadas de la vida.1,2 La mayoría son idiopáticos aunque existen casos asociados a la exposición a determinados productos (cloruro de vinilo, ThorotrastÒ, asbesto, anticonceptivos orales), alcohol, cirrosis biliar primaria, traumatismos previos y hepatitis viral, entre otros.1,2,4-6
La sintomatología es variable e inespecífica. Lo más frecuente es el dolor en hipocondrio derecho, ausencia de síntomas, hepatomegalia y pérdida de peso.1-4 Los exámenes de laboratorios suelen estar alterados en la mayoría de los casos, siendo lo más frecuente la elevación de la fosfatasa alcalina y gammaglutamiltranspeptidasa. Los marcadores tumorales (alfafetoproteína, antígeno carcinoembrionario) suelen ser normales.1-4 En algunos casos se ha descrito una elevación de la tirotropina sérica debido a una secreción de un análogo por el tumor.2 Las pruebas de imagen son inespecíficas lo que determina que hasta en 80% de los casos se establezca un diagnóstico inicial erróneo de hepatocarcinoma, colangiocarcinoma o metástasis.
Se han descrito dos subtipos: nodular en una fase precoz y difusa en una fase avanzada. Los nódulos suelen tener un tamaño variable (0.5 cm a 12 cm), de localización periférica y con afectación de la cápsula hepática. Afecta con mayor frecuencia al lóbulo hepático derecho, tanto en su forma nodular como en la difusa. Existe afectación extra-hepática hasta en 40% de los casos, siendo la localización más frecuente el pulmón y los ganglios linfáticos. A nivel ecográfico la mayoría de las lesiones suelen ser hipoecóicas, aunque hay descritas lesiones hiperecóicas, mixtas, isoecoicas e, incluso, una ecografía normal. En la TC las lesiones suelen ser hipodensas con un realce periférico con la administración de contraste intravenoso, aunque están descritas lesiones hiperdensas, mixtas y la ausencia de realce. En la RM las lesiones suelen ser hipointensas en T1 e hiperintensas en T2.1-4
El diagnóstico definitivo se establece mediante el análisis histológico que muestra unas células fusiformes de citoplasma eosinófilo, que tienden a formar estructuras vasculares con hematíes en su interior. El tejido hepático a su alrededor muestra cambios atróficos. A nivel ultra-estructural muestran un desarrollo de la lámina basal y los cuerpos de Weibel-Palade. A nivel inmunohistoquímico presentan una tinción positiva para marcadores endoteliales (antígeno relacionado con factor VIII, CD34 y CD31) y negativa para marcadores epiteliales (citoqueratinas). El diagnóstico se obtiene, en la mayoría de los casos, mediante biopsia quirúrgica o resección hepática aunque, en algunos casos, puede realizarse mediante punción.1-4
Las opciones terapéuticas son múltiples e incluyen resección y trasplante hepático, quimioembolización, quimioterapia, radioterapia, hormonoterapia, ablación por calor o alcohol e incluso, la vigilancia sin tratamiento. No hay una estrategia aceptada debido a su rareza y a su comportamiento incierto, si bien lo más frecuentemente informado ha sido el transplante hepático seguido de la vigilancia, quimioterapia, radioterapia y la resección.1-4,7,8
En teoría, la resección hepática sería el tratamiento de elección pero en la mayoría de los casos, no es posible debido a la multicentricidad de las lesiones. Además, las experiencias personales son variables con resultados muy satisfactorios y, por el contrario, algunos publican un comportamiento agresivo tras la cirugía en relación con una estimulación del tumor por aumento en la producción de factores de crecimiento hepáticos. La diseminación extra-hepática no constituye una contraindicación para la resección quirúrgica.1,4,7 El trasplante hepático de donante cadáver es la terapéutica más empleada incluso ante la presencia de enfermedad diseminada, en la cual se alcanzan supervivencias a cinco años de 50% a 75%.1,2 La quimioterapia suele emplearse de forma asociada a la cirugía en los casos de multicentricidad o diseminación extra-hepática.
Los regímenes empleados suelen incluir doxorrubicina, 5-fluorouracilo y vincristina. En ocasiones se ha empleado la talidomida, hormonas antiestrogénicas (en un análisis de hemangioendoteliomas pulmonares se observó en 20% de casos una positividad para 17-beta estradiol) y el interferón a-2b, con resultados variables.1-4,8 La quimioembolización trasarterial suele emplearse como medida temporal en pacientes con enfermedad diseminada, hasta la realización del trasplante.1 La resección local en asociación con la radiofrecuencia no es una opción terapéutica frecuente pero sí factible debido al comportamiento biológico incierto en ausencia de afectación hepática múltiple o extrahepática. El tratamiento en la recidiva tras la cirugía debe seguir las mismas indicaciones previas.
La vigilancia muestra resultados generalmente malos. Si bien se han descrito supervivencia por hasta 30 años, regresión e, incluso, la desaparición del tumor, lo que puede explicarse por distintas razones como la disminución de la neovascularización por la fibrosis, el crecimiento del tumor en la tríada portal y la acción del sistema inmune.9 La mejor tasa de supervivencia a cinco años se alcanza con la cirugía (75% con la resección y 54.5% con el trasplante) seguida de la quimio y radioterapia (30%) así como la vigilancia (4.5%).1
Correspondencia: Dr. Andrés García Marín.
Plaza de Gabriel Miró Nº 3, 1º B. Código postal 28005. Madrid, España.
Teléfono: 91-3650497 / 646872978.
Correo electrónico: agmarin80@hotmail.com
Recibido el 12 de noviembre de 2009;
aceptado el 18 de marzo de 2010.





