La colonoscopia es una técnica diagnóstica de uso muy frecuente y buen perfil de seguridad, pero no está exenta de complicaciones. Si bien las más conocidas son la hemorragia y la perforación, existen otras menos habituales pero con elevada morbimortalidad, como la rotura esplénica.
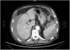
Presentamos el caso de un paciente de 77 años, con antecedentes de enfermedad pulmonar obstructiva crónica GOLD III, adenocarcinoma de pulmón tratado sin evidencia actual de recidiva, flutter auricular anticoagulado con edoxabán, prostatectomía por adenocarcinoma, colecistectomía y hernioplastia inguinal derecha. Acudió por diarrea, astenia y pérdida de peso de varios meses de evolución. Al ingreso se suspendió la anticoagulación oral y se sustituyó por enoxaparina (60mg/12h). Se realizó colonoscopia diagnóstica bajo sedación profunda con propofol, sin dificultad técnica ni complicaciones inmediatas, con diverticulosis como único hallazgo; no se aplicó presión sobre el cuadrante superior izquierdo del abdomen. A las 12 h de la prueba, el paciente comenzó con hipotensión, taquicardia y dolor abdominal generalizado mal controlado con opioides, que describió como progresivo, y de varias horas de evolución. Se extrajo analítica urgente, en la que destacaba anemia de 8.4g/dl (previa 12.9g/dl) y se realizó radiografía de abdomen con la que se descartó perforación. Se completó el estudio con TC abdominal urgente (fig. 1), que mostraba rotura esplénica con extravasación de contraste activo, gran hematoma periesplénico y hemoperitoneo moderado, correspondiente a una lesión esplénica grado V según la American Association for the Surgery of Trauma (AAST). A pesar de la fluidoterapia intensiva, persistía la situación de inestabilidad hemodinámica, por lo que se realizó esplenectomía de urgencia.
La rotura esplénica tras colonoscopia es una complicación poco frecuente pero potencialmente grave, con unos 100 casos descritos y una incidencia estimada de 1 de cada 100.000 procedimientos1. Entre los factores de riesgo que parecen estar asociados destacan el sexo femenino, la edad avanzada, los antecedentes de cirugía abdominal o pélvica y el tratamiento anticoagulante o antiagregante2. Aunque la etiología no es completamente conocida, se postulan 3 mecanismos posibles: traumatismo directo sobre el bazo, tracción sobre el ligamento esplenocólico o tracción sobre adherencias esplenocólicas secundarias a inflamación o cirugía previa3,4. Habitualmente se manifiesta como dolor abdominal en hipocondrio izquierdo, con signo de Kehr o sin él (irradiación al hombro izquierdo), anemia e inestabilidad hemodinámica5. El papel de la sedación profunda, cada vez más empleada y que podría enmascarar o retrasar la aparición del dolor, no está claro. La prueba de elección ante la sospecha de rotura esplénica es la TC abdominal con contraste, aunque la ecografía abdominal podría ser de utilidad.
El tratamiento dependerá de la situación clínica del paciente y del grado de lesión esplénica. En pacientes hemodinámicamente estables se puede intentar manejo inicial conservador con fluidoterapia, transfusión sanguínea y antibióticos; en aquellos que no respondan y presenten lesiones de grados I-IV de la escala de la AAST sin enfermedad esplénica previa, la embolización de la arteria esplénica es una opción terapéutica efectiva. La esplenectomía se reserva para aquellos casos con sangrado activo o inestabilidad hemodinámica persistente6.
A pesar de su escasa incidencia, se trata de una complicación con elevada morbimortalidad, por lo que es fundamental sospecharla de forma precoz.
Responsabilidades éticasDeclaramos que en nuestra investigación no se realizaron experimentos en animales ni humanos, que hemos seguido los protocolos de nuestro centro de trabajo sobre la publicación de datos de pacientes y que hemos preservado el anonimato de los datos del paciente, sin la necesidad de solicitar el consentimiento informado para la publicación de este caso, porque en el presente artículo no se publican datos personales que permitan identificar al paciente.
FinanciaciónEn mi nombre y en el de los autores participantes en el trabajo declaro que no existió ningún tipo de financiación externa.
Conflicto de interesesLos autores no presentan ningún tipo de conflicto de intereses.



