¿ Introduction
Endoscopic biliary endoprosthesis has become a well-established method for palliative treatment of malignant biliary obstruction, with an overall success rate of jaundice relieve from 75% to 90%.1 However, after stent insertion, complications associated with endoscopic biliary drainage range from 7% to 21%. The most common complications include pancreatitis, clogging, migration and tumor overgrowth, resulting in recurrence of jaundice, fever and abdominal pain in up to 20% to 50% of the patients.2
Plastic biliary endoprostheses were originally used to obtain a non-surgical biliary bypass, but complications including occlusion and migration diminished the enthusiasm for their use in malignant biliary tract obstructions.3 Prat and collaborators described that 53% of stents removed from asymptomatic patients after 3 months of insertion were occluded on macroscopic examination.3
Several reports suggest that the large diameter of self-expandable metallic stents could overcome the problem of stent occlusion, lowering the cost of treatment from repeated endoscopic therapy and hospitalization.4,5 Unfortunately, metallic biliary stents have been shown to occlude after a median interval of nine months, and unlike plastic stents, they usually cannot be extracted.6
Tumor overgrowth is the major cause of metallic stent dysfunction, accounting for 64% of cases.7 Several methods have been used in the management of the occlusion such as insertion of another stent (overstent) or mechanical cleaning of the inner stent.8,9 There is no consensus regarding the optimal management of metallic stent occlusion.7,10
We describe a new method of bridge overstent, through an echo guided choledochoduodenostomy, for the management of a metal biliary stent occluded by tumor overgrowth after proximal migration.
¿ Case report
A 68-year-old man with metastatic pancreatic cancer was previously treated for jaundice with ERCP and self-expandable metallic stent insertion. Four weeks later, the patient developed pruritus, jaundice and symptoms of gastric outlet obstruction that needed suspension of palliative chemotherapy.
A new ERCP was attempted, but endoscopic examination confirmed obstruction of the second part of the duodenum, including the area of the ampulla, due to diffuse tumor growth after proximal migration. EUS was performed, and the previous metal biliary stent was seen in the common bile duct. The option of a EUS-guided biliary drainage (EUSBD) was considered. An informed consent was obtained after discussing the risks, benefits and alternatives with the patient and his family. A EUS-guided choledocoduodenostomy was performed.
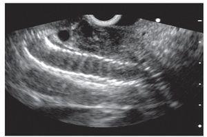
A linear array echoendoscope (GF-UCT140, Olympus America, Center Valley, PA, USA) was placed in the duodenal bulb region allowing visualization of a dilated common bile duct and a distal occluded biliary metallic stent (Figure 1).
¿ Figure 1. EUS showing biliary metallic stent occluded at the distal portion and head of the pancreas.
A 19-gauge FNA needle (Wilson-Cook Endoscopy, Winston-Salem, NC, USA) was used to perform a transduodenal puncture of the common bile duct through the proximal end of the biliary stent. Bile was aspirated and a cholangiogram demonstrated good filling of the right and left duct systems with no evidence of a stricture proximal to the puncture site (Figure 2). Under fluoroscopy, a 0.035-inch straight guidewire (Jagwire, Boston Scientific Corporation, Natick, MA, USA) was passed into the biliary tree and directed toward the hilum. Choledochoduodenostomy with a 10 mm x 60 mm partially covered self-expanding metal biliary stent (Wallfex®, Boston Scientific Corporation, Natick, MA, USA) was placed over the guide wire and deployed under fluoroscopy (Figure 3). Good bile and contrast efflux was seen (Figure 4).
¿ Figure 2. EUS guided puncture and cholangiogram demonstrating distal obstruction of the common bile duct.
¿ Figure 3. Radiologic image demonstrating proximal migration of prior biliary metal stent (white arrow) and the metal stent placed to create the choledochoduodenostomy fistula (black arrow) and also its waist because of the passage through the previous stent.
¿ Figure 4. Biliary metallic stent in the duodenum lumen after EUS-guided choledochoduodenostomy.
Then, an overlapping self-expanding metal enteral stent 18 mm x 120 mm (Wallflex, Boston Scientific Corporation, Natick, MA, USA) was placed through the malignant obstruction.
There were no early complications and the procedure was also clinically effective in relieving jaundice and gastric outlet obstruction symptoms. Post-procedure CT imaging demonstrated good positioning of the biliary stent and no evidence of a bile leak. The patient subsequently underwent palliative chemotherapy.
¿ Discussion
Despite great improvements in imaging and diagnostic techniques, between 80% - 90% of pancreatic cancer patients present with unresectable tumor due to locally advanced or metastatic disease.11 Median survival time without any therapy is 3 to 4 months after diagnosis, and only 20% of all will survive for more than one year.12 Therefore, palliation of symptoms (major symptoms: obstructive jaundice, duodenal/gastric outlet obstruction, tumor-associated pain) remains the most important component in the management of pancreatic tumors.13-15
For advanced disease, because of its efficacy and low short-term morbidity and mortality, endoscopic stenting of the common bile duct may be considered as a first-line treatment in the case of incurable pancreatic cancer and jaundice.16,17 The use of self-expandable metallic stents in malignant biliary obstructions reduced the number of complications associated to the endoscopic treatment, and patients with a longer survival rate may therefore have a more pronounced benefit compared to the surgical biliary bypass.18
However, recurrent obstructive jaundice, caused especially by tumor overgrowth, continues to be the major drawback in the use of endoprostheses, with no optimal management for this complication.7 If duodenal obstruction is not apparent at the time of clinically significant biliary obstruction, isolated biliary stenting is usually performed. When patient subsequently develops a duodenal obstruction due to tumor growth, an enteral stent can be placed, even if the ampulla is covered, as biliary stents can be placed through the mesh of the duodenal stent.19 Argon plasma coagulation can also be used to create a larger fenestration at the site of the ampulla to improve biliary access.20
EUSBD has emerged as an alternate intervention with many advantages over PTBD and technical success rate of 80% to 90% through two drainage approaches reported performing fistulization by means of: 1) transduodenal via the common bile duct and 2) transgastric via a left hepatic duct.21-24 In the case presented here, when a second ERCP failed due to duodenal and biliary stent occlusion, EUSBD was successfully performed through the transduodenal echoguided method as bridge overstent model. After this procedure, a duodenal metallic stent was placed, in order to relief the duodenal obstruction. The first case performed in Latin America was reported in 2007 and presented to the readers the first description of use of the partially covered metal stent to perform hepatico-gastrostomy.25
The EUS-guided transduodenal technique in this case permitted to prevent clogging and tumor ingrowth and/or overgrowth, because it creates a fistula far from the obstructing tumor. This is an option of biliary drainage after occlusion of a previous biliary metallic stent and duodenal obstruction. However the management of occluded biliary metallic stents by tumor overgrowth still controversial.7
¿ Conclusion
If ERCP fails in the management of occluded biliary metallic stents, even in the presence of a preexisting duodenal wall stent, EUSBD can provide effective biliary decompression and should be considered an alternative to other endoscopic techniques.
Correspondence author: Everson L. A. Artifon.
Department of Endoscopy, University of Sao Paulo, Brazil. Dr. Eneas de Carvalho Aguiar Street.
Fax: 11 3069 6221.
E-mail: eartifon@hotmail.com.
accepted December 8 th, 2010.






