¿ Introducción
El condiloma acuminado gigante o tumor de Buschke-Löwenstein es una neoplasia de crecimiento lento, invasor y con alto potencial destructor, que generalmente afecta la zona perianal. La descripción original de dicho tumor fue realizada en la región genital a principios del siglo XX por Buschke y Löwenstein.1 Aunque histológicamente se considera un tumor benigno, algunos autores lo clasifican como carcinoma epidermoide de bajo grado por su gran parecido histológico con mínimo riesgo de dar metástasis, llamándolo carcinoma verrucoso.2
Cuando se presenta en la boca, se denomina papilomatosis florida y una variante similar en las plantas de los pies es llamado epitelioma cuniculatum.
Entre los factores de riesgo para el desarrollo del condiloma acuminado gigante perianal están: la presencia de inmunosupresión e infección por el virus de la inmunodeficiencia humana (VIH). A pesar de no dar metástasis, esta lesión suele ser recurrente y con una tasa de transformación maligna a carcinoma epidermoide hasta de 50%.2,3
El tratamiento del tumor de Buschke-Löwenstein es controversial, debido a su localización cercana a estructuras importantes tales como el canal y el esfínter anal, por lo que algunos autores prefieren el tratamiento conservador, mientras otros apoyan el tratamiento quirúrgico.2
A continuación se describe el caso clínico de una paciente con síndrome de inmunodeficiencia adquirida humana (SIDA) que presentó un condiloma gigante tipo Buschke-Löwenstein y que fue tratada quirúrgicamente.
¿ Presentación del caso
Mujer de 29 años de edad, con síndrome de inmunodeficiencia adquirida humana (SIDA) desde el año 2000, en tratamiento desde 2007 con lopinavir, ritonavir, lamivudina y zidovudina. Sus últimos niveles de linfocitos CD4 fueron 166 células/mm3 y la carga viral de 2450 copias/mL. La paciente tenía antecedente de condilomas acuminados vulvares y neoplasia intraepitelial grado I asociada a virus de papiloma humano (VPH) diagnosticados en 2005. Fue valorada por el servicio de Dermatología por la presencia de una dermatosis que afectaba la región perianal y perineal, caracterizada por una neoformación exofítica y verrucosa, con algunas zonas vegetantes y eritematosas de aproximadamente 20 cm de longitud en su eje mayor (Figura 1). Manifestaba dolor y dificultad para evacuar de dos años de evolución y había recibido tratamiento médico en otros hospitales con podofilina y electrofulguración. Se le realizó el diagnóstico clínico de tumor de Buschke-Löwenstein y fue sometida a una resección quirúrgica con escisión local amplia de la neoplasia y avance de colgajos glúteos bilaterales en V-Y. Los bordes internos de los colgajos fueron suturadas al esfínter anal externo (Figuras 2A, 2B y 3). Se realizó una ileostomía en asa de protección por vía laparoscópica para permitir una adecuada cicatrización de los colgajos. El informe histopatológico mostró condilomas acuminados múltiples asociados a VPH con neoplasia intraepitelial vaginal grado II, sin transformación maligna (Figura 4). La paciente fue dada de alta sin presentar complicaciones del procedimiento a los cinco días de la cirugía. A los 12 meses de seguimiento, la paciente no había presentado recurrencia de la enfermedad y se planea el cierre de la ileostomía en asa.
¿ Figura 1.Lesión que se extiende de la región glútea bilateral a la periferia del introito vaginal.
¿ Figura 2A.Resección del tumor con exposición del esfínter externo.
¿ Figura 2B. Reconstrucción con avance de colgajos glúteos bilaterales en V-Y.
¿ Figura 3.Vista posterior al procedimiento.
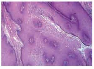
¿ Figura 4. Infección de virus del papiloma humano en el epitelio perianal en el que se observan numerosos coilocitos e hiperplasia pseudoepiteliomatosa (tinción con hematoxilina y eosina; 10 aumentos).
¿ Discusión
La incidencia de condilomas gigantes perianales ha aumentado en las últimas décadas, probablemente por su relación con inmunodepresión, especialmente en pacientes con VIH/SIDA. Hasta el día de hoy, el tumor de Buschke-Löwenstein representa un reto terapéutico. Esto se debe principalmente a su alta tasa de recurrencia (hasta 70%) y a la probabilidad de transformación maligna a carcinoma epidermoide.2 Quizá este riesgo de malignizar se deba a que su etiología es el virus de papiloma humano (VPH), principalmente los serotipos seis y once.4
Existen múltiples tratamientos reportados en la literatura médica mundial. Desgraciadamente no existe uno de primera elección debido a que la mayoría de los reportes son casos aislados y no hay hasta el momento estudios controlados ni meta-análisis al respecto. Aunque la podofilina es un tratamiento útil en condilomas acuminados, la respuesta en condilomas gigantes es poca por lo que no se sugiere su uso rutinariamente.5 La inmunoterapia y el interferón son otros tratamientos cuya respuesta suele ser limitada.6,7 La quimio y la radioterapia, aunque también limitadas por el riesgo de transformación maligna del tumor, pueden ser utilizadas como tratamiento primario o en tumores que recurren a pesar del tratamiento quirúrgico.8 El tratamiento combinado con varios de los procedimientos mencionados, incluyendo el tratamiento quirúrgico, suele tener los mejores resultados.9 En el caso que aquí presentamos, la paciente había sido tratada con podofilina años antes, tanto para los condilomas acuminados como para el tumor de Buschke-Löwenstein. También había sido manejada con electrocirugía sin obtener una respuesta favorable. Debido a estos malos resultados, se decidió someterla a un tratamiento más radical. Aunque el tratamiento del tumor de Buschke-Löwenstein sigue siendo controversial, la cirugía es el tratamiento que ofrece los mejores resultados con la menor tasa de recidiva (50% con cirugía vs 67% con cualquier otro tratamiento).2,4
Se han descrito varios procedimientos quirúrgicos siendo los más recomendados la escisión local amplia con cierre por segunda intención, reconstrucción local o cierre con pegamento de fibrina. En los casos más severos con involucro óseo, pélvico o profundo de los esfínteres anales se recomienda la resección abdominoperineal.10
¿ Conclusión
El condiloma acuminado gigante de la región perianal, es un tumor localmente agresivo con una alta tasa de recurrencia y riesgo de transformación maligna. La cirugía radical en estas lesiones ha mostrado ser el tratamiento más eficaz y debe ser realizada por un equipo quirúrgico multidisciplinario familiarizado con este tipo de resecciones y procedimientos reconstructivos.
Correspondencia: Omar Vergara Fernández.
Vasco de Quiroga N° 15, Col. Sección XVI, Delegación Tlalpan, 14000. México, D. F. México.
Fax: (52) 55 5655 1076.
Correo electrónico: omarvergara74@hotmail.com
Recibido el 8 de septiembre de 2010;
aceptado el 13 de octubre de 2010.







