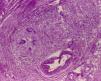
Paciente femenina de 38 años de edad, soltera, con diabetes mellitus tipo 2. Padecimiento actual de 3 meses de evolución con prurito anal, dolor anal tipo ardoroso y sangrado. Dos semanas más tarde aparecieron úlceras perianales con incremento del dolor y del sangrado (fig. 1). La paciente se aplicó pomadas con lidocaína e hidrocortisona; sin presentar mejoría. Acudió a consulta, con esta sintomatología, y debido al tamaño y la localización lateral de las úlceras, se le realizó biopsia de las mismas; el estudio histopatológico reportó la presencia de células gigantes tipo Langhans e intensa reacción granulomatosa (figs. 2 y 3), la prueba de PCR fue positiva para tuberculosis, se realizó tinción de Ziehl-Neelsen, la cual resultó positiva para Mycobacterium tuberculosis (fig. 4).
La paciente fue tratada con isoniacida, rifampicina, pirazinamida y etambutol durante 2 meses, y durante 6 meses más con isoniacida y pirazinamida con remisión de la sintomatología y cicatrización de las úlceras perianales.
La tuberculosis cutánea es muy poco frecuente en la actualidad, y puede presentarse como lupus vulgar, lesiones miliares, eritema indurado de Bazin, abscesos o úlceras. Existen pocos casos reportados de tuberculosis cutánea perianal.
Responsabilidades éticasProtección de personas y animalesLos autores declaran que para esta investigación no se han realizado experimentos en seres humanos ni en animales.
Confidencialidad de los datosLos autores declaran que han seguido los protocolos de su centro de trabajo sobre la publicación de datos de pacientes.
Derecho a la privacidad y consentimiento informadoLos autores declaran que en este artículo no aparecen datos de pacientes.
Conflicto de interesesLos autores declaran no tener ningún conflicto de intereses.






