Presentación del caso
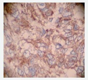
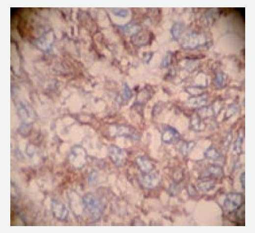
Se trata de paciente del sexo femenino de 47 años de edad, multípara (GVIII, PVIII), sin antecedentes quirúrgicos, ni sintomatología previa a su ingreso. Su cuadro clínico inició cinco días antes de su ingreso, con dolor abdominal en epigastrio e hipocondrio izquierdo, que fue en aumento en los días posteriores, acompañado de vómitos no sanguinolentos. En la exploración del abdomen se encontraron signos de síndrome abdominal agudo, con rebote positivo, hiperestesia e hiperbaralgesia. Los exámenes de laboratorio mostraron hemoglobina de 10.4 g/dL, hematocrito de 30%, leucocitos de 6500/dL, plaquetas de 192,000/dL. La química sanguínea, amilasa, lipasa y tiempos de coagulación fueron normales. El examen general de orina mostró hematuria microscópica y la tele-radiografía de tórax demostró derrame basal izquierdo. La radiografía simple del abdomen evidenció la presencia de asa centinela en intestino delgado. Se decidió realizar laparotomía exploradora en la que se encontró un tumor abscedado de la curvatura mayor del estómago, de 5 cm, de forma ovoide irregular y de consistencia dura. Se realizó gastroyeyuno-anastomosis y esplenectomía (Figura 1). El diagnóstico histopatológico fue de sarcoma gástrico (Figura 2). El estudio de inmunohistoquímica fue positivo para CD 117 y CD 34 (Figuras 3 y 4). El diagnóstico definitivo se definió como sarcoma del estroma gastrointestinal originado de las células de Cajal.
Figura 1. Gastro-yeyuno-anastomosis
Figura 2. Diagnóstico histopatológico: sarcoma gástrico
Figura 3. Diagnóstico definitivo: sarcoma del estroma gastrointestinal
Figura 4. Diagnóstico definitivo: sarcoma del estroma gastrointestinal
Fecha recibido: 15 enero 2008 Fecha aprobado: 17 julio 2008






