Actinomyces spp. son bacterias grampositivas y anaerobios facultativos que forman parte de la flora normal de la orofaringe, el tracto gastrointestinal y el tracto genital femenino1,2. Los microorganismos son patógenos oportunistas cuando hay disrupción de las membranas mucosas después de inflamación, traumatismo, cirugía o uso de dispositivo intrauterino3. Hasta en la mitad de los casos, la localización es cérvico-facial y le sigue en frecuencia la abdominal en el 20%4.
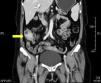
Presentamos el caso de una paciente de 58 años que acudió a consulta por dolor abdominal en el flanco derecho de 2 meses de evolución, cambios en los hábitos intestinales con estreñimiento y pérdida de peso de 5kg. A su ingreso, los signos vitales y los exámenes de laboratorio se encontraron dentro de los límites de normalidad. En la exploración física se detectó una masa en la fosa iliaca derecha y dolor leve a la palpación, sin datos de irritación peritoneal. En la colonoscopia, presentó una lesión estenosante en el ciego, se tomaron biopsias que revelaron únicamente inflamación crónica inespecífica. La tomografía abdominal mostró una tumoración a nivel del ciego de 5cm, con realce de la pared en el íleon terminal y en el ciego, además de adenopatías (fig. 1). Ante la sospecha clínica de neoplasia, la paciente fue sometida a hemicolectomía derecha laparoscópica. Como hallazgo transoperatorio, se reportaron adenomegalias peritumorales mayores de 1cm. Durante el examen macroscópico, se observó apéndice cecal de 5×1.5cm, con paredes engrosadas y obliteración fibroadiposa de la luz y lesión mal delimitada de aspecto abscecificado en el ciego. Durante el examen histopatológico se visualizó absceso pericecal con extensa colonización por Actinomyces spp., «gránulos de azufre» e inflamación aguda y crónica (fig. 2). Ante los hallazgos, se inició terapia con amoxicilina más ácido clavulánico durante 4 meses. La evolución postoperatoria de la paciente fue satisfactoria, siendo egresada al cuarto día postoperatorio. La actinomicosis es una enfermedad supurativa crónica que se manifiesta con la formación de fístula, seno, seudotumor inflamatorio o absceso. Son estas características las que obligan a considerar entre los diagnósticos diferenciales la enfermedad inflamatoria intestinal, la enfermedad pélvica inflamatoria y la tuberculosis. La infección puede simular malignidad por su capacidad de invadir los tejidos adyacentes y de formar masas4-6. Hasta el 80% de los casos ocurren en mujeres y el 60% se asocia a uso de dispositivo intrauterino2,4. La aparición de manifestaciones puede tomar de meses a años, pues los actinomicetos son organismos de crecimiento lento1,2. Los síntomas son inespecíficos y en la mayoría de los casos los estudios de laboratorio no demuestran anormalidades. Entre los hallazgos, se encuentran anemia normocrómica, leucocitosis y velocidad de sedimentación globular aumentada2,7. Al examen macroscópico del espécimen quirúrgico, se evidenció inflamación a nivel del apéndice. Actinomyces se encuentra de manera normal en zonas de estancamiento, como el ciego y el apéndice, los cuales son los órganos más frecuentemente involucrados en la localización abdominal1,4,5. El diagnóstico temprano y la antibioticoterapia oportuna de la apendicitis aguda reduce la incidencia de perforación, por lo que la inoculación a través de este proceso inflamatorio es rara. La diseminación es principalmente por continuidad de los tejidos y la vía hematógena o linfática es menos frecuente, por lo que la presencia de adenopatía regional no es común o se desarrolla tardíamente1,8. Las adenopatías peritumorales en el presente caso nos hicieron sospechar neoplasia como primera posibilidad diagnóstica. La presentación de actinomicosis como masa colónica indicativa de malignidad es infrecuente (1%)4. En la colonoscopia puede encontrarse edema y ulceración de la mucosa, nódulos umbilicados en el ápex y estenosis en algunos casos. La tomografía contrastada muestra frecuentemente involucro extramural y engrosamiento focal de la pared colónica9. El diagnóstico a través de biopsias por endoscopia o aspiración con aguja fina es complejo, pues los filamentos de Actinomyces se rodean de inflamación extensa5. Aunque el diagnóstico preoperatorio es útil para evitar una resección amplia, hasta en el 96% se requiere diagnóstico quirúrgico. El manejo quirúrgico permite retirar el tejido necrótico, la corrección de fístulas y acortar la duración del tratamiento antimicrobiano3,4,10. La colonoscopía y la tomografía tienen un papel más importante en el seguimiento terapéutico. En el examen histopatológico, se observan «gránulos de azufre», los cuales reaccionan a las tinciones de Schiff y Grocott. El cultivo es complejo y puede ser negativo hasta en el 76%5. La identificación de las especies de Actinomyces es difícil y en nuestro caso no se pudo reconocer el agente específico. Sin embargo, son susceptibles a aminopenicilinas y la combinación con inhibidores de la β-lactamasa debe ser considerada como la terapia de primera línea. Después de 4 meses de tratamiento, no se encuentran recidivas de la enfermedad10.
En conclusión, la actinomicosis deberá ser incluida en el diagnóstico diferencial de tumoraciones infiltrativas en colon derecho. Debe resaltarse que, en la mayoría de los casos, los exámenes de laboratorio son normales y no existen adenopatías. La presencia en la tomografía de una masa con áreas focales de atenuación que invade estructuras adyacentes es característica. Aunque Actinomyces habita normalmente en el apéndice, existen pocos casos reportados en la literatura de apendicitis como mecanismo de inoculación abdominal.
FinanciaciónNo se recibió patrocinio de ningún tipo para llevar a cabo este estudio/artículo.
Conflicto de interesesLos autores declaran no tener conflicto de intereses.




