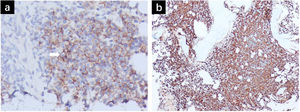
Una mujer de 65 años presentó una historia de un mes de distensión abdominal y dolor. El examen físico reveló sensibilidad abdominal, signo de la ola positivo y edema bilateral de extremidades inferiores. Las pruebas de laboratorio mostraron anemia moderada, hipoalbuminemia, función renal deteriorada e hipercalcemia. La electroforesis de proteína sérica reveló un nivel de proteína monoclonal del 24%, y el nivel sérico de β2-microglobulina fue de 9.31mg/l. La gastroscopia detectó una lesión 0-IIa+IIc en la unión del cuerpo y el antro, con una medida de 3×6 aproximadamente, con mucosa lisa y sangrado al tacto (fig. 1). La biopsia reveló inflamación crónica en la mucosa gástrica en regeneración. El examen citológico de frotis de médula ósea fue consistente con mieloma múltiple (MM). En la biopsia de la médula ósea se identificó infiltración de mieloma de células plasmáticas moderadamente diferenciadas (fig. 2a-b). La tinción con rojo Congo de especímenes gástricos previos mostró depósitos amiloides en la submucosa (fig. 3a) con birrefringencia verde manzana bajo luz polarizada (fig. 3b). Se hizo el diagnóstico de MM con amiloidosis gástrica. La paciente fue tratada con bortezomib, ciclofosfamida y dexametasona. La distensión abdominal y el dolor fueron aliviados.
a)Biopsia de médula ósea donde se observa expresión alta de CD138 (×400), lo cual indica una presencia significativa de células plasmáticas. Las células señaladas con la flecha blanca se identifican como células plasmáticas, las cuales son características de trastornos de células plasmáticas. b)Biopsia de médula ósea donde se observa expresión de cadena ligera lambda (×200), lo cual apoya el diagnóstico de proliferación de célula plasmática monoclonal, una característica distintiva del mieloma múltiple.
El presente estudio es independiente y no fue financiado con apoyo alguno.
Consideraciones éticasSe obtuvo el consentimiento informado de la paciente para el tratamiento descrito y la publicación del presente reporte de caso, incluidos los datos y las imágenes. Este reporte cumple con la Declaración de Helsinki y las regulaciones de investigación bioética actuales. Dado que este es un reporte de caso y no un estudio de investigación, la aprobación del comité de ética no fue necesaria. Los autores confirman que toda la información que permita identificar a la paciente ha sido omitida, lo cual asegura su total anonimato.
Conflicto de interesesLos autores declaran que no tienen conflicto de intereses que declarar.





