Los archivos de bloques y laminillas de los laboratorios de patología, cuando son adecuadamente preservados, re-revisados y asociados con los expedientes clínicos, son herramientas importantes para evaluar los cambios en la prevalencia de ciertas patologías. Nuestro objetivo fue identificar si el uso, dosis y tiempo de administración de inhibidores de bomba de protones (IBP) se asocian con el desarrollo y fenotipo de pólipos gástricos en un estudio de casos y controles.
MétodosSe obtuvieron y revisaron del archivo de patología quirúrgica las laminillas de pacientes con diagnóstico de pólipos gástricos hiperplásicos o de tipo fúndico de los años 1980, 1990, 2000, 2010 y 2016 en un hospital de tercer nivel de la Ciudad de México. Los casos fueron pareados por edad y sexo con pacientes sometidos a endoscopia y biopsias de mucosa gástrica durante el mismo año, sin evidencia de pólipos.
ResultadosSe identificaron 133 pacientes con pólipos gástricos en 3,499 biopsias de los años mencionados (3.8%) y fueron comparados con 133 controles. Se identificó una presencia de dispepsia significativamente mayor entre los controles (p=0.002) y dolor abdominal entre los pacientes con pólipo gástrico (p=0.001). El uso de IBP (OR 7.7, intervalo de confianza 95%, 4.4-13.3) y la administración de más de un IBP (OR 4.9, intervalo de confianza 95%, 1.09-22.3) estuvieron asociados significativamente con la presencia de pólipos gástricos. El fenotipo de pólipo asociado al uso de IBP fue el de glándulas fúndicas en la mucosa oxíntica (p<0.042), con incremento en la prevalencia a partir del año 2000 (tendencia p=0.017).
ConclusiónLa administración de IBP por al menos un año se asocia con pólipos gástricos de glándulas fúndicas.
Adequately preserved slides and tissue blocks in pathology archives, when re-reviewed and associated with patient charts, are important tools to further assess prevalence changes and associations of certain pathologies. Our aim was to identify whether proton-pump inhibitor (PPI) use, dose, and duration of use were associated with gastric polyps and their phenotypes in a case-control study.
MethodsThe slides from patients with a morphologic diagnosis of either hyperplastic polyps or fundic gland polyps were retrieved from the 1980, 1990, 2000, 2010, and 2016 surgical pathology files at a tertiary care hospital in Mexico City and re-evaluated. Cases were paired by age and sex with patients that underwent endoscopy and gastric mucosa biopsy in the same year, with no evidence of polyps.
ResultsA total of 133 (3.8%) patients with gastric polyps were identified from 3,499 gastric biopsies taken in the abovementioned years and compared with 133 paired controls. Dyspepsia was more prevalent in the controls (p=0.002) and abdominal pain was more prevalent in the patients with gastric polyps (p=0.001). PPI use (OR 7.7, 95% confidence interval, 4.4-13.3) and taking more than one PPI medication (OR 4.9, 95% confidence interval, 1.09-22.3) were significantly associated with the presence of gastric polyps. The fundic gland phenotype in the oxyntic mucosa was more frequently associated with PPI use (p<0.042), with a continuous increase in its prevalence starting in the year 2000 (p=0.017 for trend).
ConclusionPPI administration for at least one year was associated with gastric fundic gland polyps.
Cualquier observación endoscópica de una protuberancia en la superficie de la mucosa gastrointestinal puede ser considerada un pólipo. Estas lesiones pueden ser heterotopias, tejido linfoide, lesiones de estroma, neoplasia maligna o verdaderos pólipos epiteliales. Los 3 subtipos de pólipo gástrico identificados con mayor frecuencia son los pólipos hiperplásicos, los pólipos de glándulas fúndicas (PGF) y los adenomas gástricos.
En los casos de endoscopia que despierten sospecha es necesario hacer un diagnóstico histológico para el tratamiento y seguimiento adecuados, y las lesiones mayores de 10mm han mostrado una capacidad particular de evolucionar a adenocarcinoma1. A partir de la introducción del omeprazol para el tratamiento de la dispepsia en diferentes partes del mundo, se ha observado una creciente prevalencia de pólipos gástricos2. Antes de la introducción de los inhibidores de bomba de protones (IBP), el subtipo de pólipo gástrico de mayor frecuencia era el pólipo hiperplásico, usualmente ubicado en el antro y asociado a infección de Helicobacter pylori (H. pylori). A continuación su prevalencia disminuyó y en los países desarrollados se describió un incremento en los PGF localizados en la mucosa oxíntica1,3. Existe poca información en México sobre los pólipos gástricos que describa el subtipo histológico de la lesión4,5. Los pólipos hiperplásicos y los adenomas gástricos fueron las lesiones de mayor prevalencia en 2 estudios publicados. Sin embargo, en un estudio realizado recientemente con esta población, se describió los PGF como el tipo más frecuente de pólipo gástrico, con una tendencia creciente del 1,400% en un periodo de estudio de 46 años6. Este cambio en la prevalencia de pólipos hiperplásicos y de PGF ha sido descrito en otros estudios7-9, lo que nos llevó a investigar los factores clínicos y epidemiológicos asociados a la modificación de tendencia en un estudio de casos y controles. Nuestro objetivo fue identificar si el uso, dosis y tiempo de administración de IBP estaban asociados a la presencia de pólipos gástricos y determinar los subtipos.
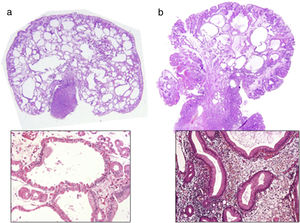
Materiales y métodosSe obtuvieron las biopsias de pacientes con un diagnóstico morfológico de pólipo hiperplásico o PGF de los archivos de patología quirúrgica de un hospital de tercer nivel en la Ciudad de México en los años 1980, 1990, 2000, 2010 y 2016. Las lesiones hiperplásicas presentaban un mayor número de células epiteliales, células caliciformes distróficas con dilatación quística y crecimiento hacia las capas internas de las glándulas y foveolas en mucosa no oxíntica (fig. 1a), mientras que los PGF presentaban una configuración microquística aplanada cubierta de células principales y parietales en la mucosa oxíntica. Se observaron infiltrados inflamatorios habitualmente densos mezclados con edema y congestión vascular en los pólipos hiperplásicos, pero fueron escasos o ausentes en la lámina propia de los PGF (fig. 1b). Los casos fueron pareados por edad y sexo con pacientes que se sometieron a una endoscopia y biopsia de mucosa gástrica el mismo año, sin evidencia de pólipos. Para fines comparativos, los controles fueron pacientes con síntomas gastrointestinales superiores en la endoscopia. Las laminillas fueron reevaluadas por un patólogo gastrointestinal experimentado (A G-D) y 2 estudiantes de medicina (M V-D, C L-D) y codificaron los hallazgos microscópicos y el tipo de pólipo gástrico.
Características microscópicas de pólipos gástricos pedunculados. Se observa dilatación quística de glándulas y expansión foveolar en ambos pólipos, pero la inflamación es abundante en el pólipo hiperplásico (a). La cobertura de células principales y parietales en la glándula dilatada es la marca distintiva de los pólipos de glándulas fúndicas (b). Tinción hematoxilina-eosina, ×20 y ×400.
Se obtuvo la información demográfica, los datos clínicos de los síntomas gastrointestinales superiores, los tratamientos médicos, el uso de IBP y la cantidad de medicamentos, dosis y tiempo de tratamiento de las historias clínicas. Las variables fueron codificadas en archivos electrónicos utilizando la versión 23 del SPSS (SPSS, Chicago, IL). El análisis de tendencia fue realizado en una serie de tiempo utilizando la prueba no paramétrica Mann-Kendall (XLSTAT para Excel). Las diferencias fueron estimadas con un valor de p de 2 colas <0.05.
Consideraciones éticasEste trabajo fue basado en revisión de archivo. No se realizaron estudios experimentales, y el consentimiento informado no se solicitó para la publicación de este proyecto porque en el presente artículo no se publican datos personales que permitan identificar al paciente.
El presente proyecto fue realizado de acuerdo con la Declaración de Helsinki.
ResultadosEn el contexto de un hospital de tercer nivel se analizaron 3,499 biopsias gástricas tomadas en 1980, 1990, 2000, 2010 y 2016, de entre las cuales se identificó a 133 pacientes con pólipos gástricos (3.8%). Estos fueron pareados con controles que también se sometieron a una endoscopia gastrointestinal superior y muestreo de mucosa gástrica (tabla 1). No se observaron diferencias significativas en las características clínicas y demográficas, con la excepción de una mayor prevalencia de dispepsia en los controles (p=0.002) y de dolor abdominal en los pacientes con pólipos gástricos (p=0.001). El uso de IBP (RM 7.7; intervalo de confianza 95%, 4.4-13.3) y el uso de más de un medicamento IBP (RM 4.9; intervalo de confianza 95%, 1.09-22.3) estuvieron asociados significativamente con la presencia de pólipos gástricos. Se observó una tendencia no significativa en la presencia de pólipos gástricos (hiperplásicos o PGF) en el uso de IBP por más de un año (RM 2.2; intervalo de confianza 95%, 0.906-5.4) o en dosificaciones de 20mg o más (RM 1.7; intervalo de confianza 95%, 0.773-4.127).
Comparación de datos clínicos y demográficos e información de exposición a inhibidor de bomba de protones entre pacientes con y sin pólipos gástricos
| Caso (n=133) | Control (n=133) | Valor de p | |
|---|---|---|---|
| Índice de masa corporal | 25 | 27 | 0.384 |
| Dispepsia | 10 | 27 | 0.002 |
| Hemorragia GI superior | 15 | 24 | 0.082 |
| Reflujo gastroesofágico | 23 | 20 | 0.370 |
| Disfagia | 4 | 6 | 0.375 |
| Anemia | 19 | 11 | 0.087 |
| Pérdida de peso | 4 | 1 | 0.188 |
| Saciedad temprana | 5 | 1 | 0.107 |
| Vómito | 6 | 1 | 0.060 |
| Dolor abdominal | 13 | 1 | 0.001 |
| Uso de 1 IBP | 92 | 30 | 7.7 (IC 95%, 4.4-13.3)* |
| Uso de >1 IBP | 24/92 | 2/30 | 4.9 (IC 95%, 1.09-22.3)* |
| Tiempo de uso de IBP >1 año | 73/92 | 19/30 | 2.2 (IC 95%, 0.906-5.4)* |
| Dosis de IBP >20mg | 50/92 | 12/30 | 1.7 (IC 95%, 0.773-4.127)* |
El uso de uno o más IBP por más de un año estuvo asociado con el desarrollo de pólipos gástricos epiteliales.
Prueba t de Student.
El fenotipo de PGF estuvo asociado más frecuentemente con el uso de IBP (p<0.042) y estuvo claramente asociado con el uso de IBP por más de un año (p<0.003) en pacientes jóvenes sin atrofia o gastritis (tabla 2). Los pólipos hiperplásicos fueron observados principalmente en pacientes mayores con infección por H. pylori (p<0.018) y con gastritis atrófica (p<0.044). En la figura 2 se muestra la asociación temporal de los fenotipos de pólipos gástricos, demostrando un incremento continuo en la prevalencia de los PGF a partir del año 2000 (p=0.017 para la tendencia).
Fenotipo de pólipo gástrico y sus asociaciones en 133 pacientes
| Pólipo hiperplásico (n=31) | Pólipo de glándulas fúndicas (n=102) | Valor de p | |
|---|---|---|---|
| Edad (promedio) | 64 | 58 | 0.058 |
| Sexo (M/F) | 8/23 | 27/75 | 0.570 |
| Uso de IBP | 17/31 | 75/102 | < 0.042 |
| Uso de >1 IBP | 3/17 | 21/75 | 0.103 |
| Dosis de IBP >20mg | 9/17 | 41/75 | 0.142 |
| Atrofiaa | 6 | 3 | 0.044* |
| H. pyloria | 7 | 3 | 0.018* |
El uso de dosis mayores de 20mg de un IBP por más de un año estuvo asociado con el desarrollo de pólipo de glándulas fúndicas. La infección por H. pylori y la atrofia de la mucosa gástrica circundante estuvieron significativamente asociadas con los pólipos hiperplásicos.
La prevalencia de los pólipos gástricos epiteliales ha cambiado a lo largo de las 3 décadas pasadas en muchas poblaciones debido a la erradicación de H. pylori y al uso de IBP6. La presencia de la bacteria o su erradicación estuvo asociada respectivamente a pólipos hiperplásicos antrales o a la regresión de PGF esporádicos en la mucosa oxíntica10. El uso a largo plazo de IBP estuvo asociado con los PGF11,12.
En el presente estudio se identificó un incremento en la prevalencia de pólipos gástricos con una variación significativa en la tendencia a lo largo del tiempo en casos observados antes y después de la introducción de los IBP en el mercado nacional (Principios de los 1990. Luis Uscanga-Domínguez, comunicación personal). A partir de ese momento, la mayoría de los pólipos epiteliales observados fueron PGF, excediendo la prevalencia de los pólipos hiperplásicos en los años analizados (fig. 2). En la presente muestra, se recetó IBP como tratamiento para la dispepsia, hemorragia gastrointestinal superior, anemia, disfagia y síntomas de reflujo gastroesofágico, entre otras manifestaciones (tabla 1).
Se identificó un pólipo gástrico con una frecuencia de más de 7 veces en pacientes que usaban IBP (RM 7.7; intervalo de confianza 95%, 4.4-13.3) en comparación con pacientes que no lo usaban, y el fenotipo de PGF se observó principalmente en pacientes que usaban al menos un IBP (p<0.042) o en pacientes que los usaron por más de un año (p=0.003). Estos hallazgos coinciden con los resultados de 2 metaanálisis previamente publicados que incluyen los hallazgos en 127,542 pacientes10,11. Ambos estudios mostraron una asociación entre los PGF y el uso de IBP (RM 2.45; intervalo de confianza 95%, 1.24-4.83 y OR 2.46, intervalo de confianza 95%, 42-4.27, respectivamente).
El tiempo de uso de IBP estuvo relacionado con el desenlace reportado. Las asociaciones más fuertes se han observado en casos de uso de IBP por 12 meses o más. Sin embargo, el tiempo de exposición para el desarrollo de PGF es variable, con algunos estudios que muestran que el uso de IBP durante 6 meses fue suficiente para el desarrollo de pólipos11. Además de la asociación de los IBP con PGF confirmada en el presente estudio, el uso de IBP se ha relacionado con enfermedades asociadas a Clostridium difficile, enteritis por Campylobacter, osteoporosis, nefritis intestinal aguda y fractura de cadera12,13. Aunque la presencia de factores confusos puede dificultar la definición de una relación causal, una preocupación adicional es que los IBP se han usado excesivamente en distintos contextos14,15.
Además de la exposición a los IBP y el tiempo de uso, no pudimos encontrar una asociación con la administración de un IBP a una dosis de más de 20mg. Sin embargo, el diseño retrospectivo del estudio limitó la evaluación de la adherencia de los pacientes al tratamiento. Por otro lado, es necesario relacionar prospectivamente un umbral morfológico para identificar cambios mínimos (expansión de foveolas, dilatación de glándulas y protuberancias citoplásmicas) como un pólipo en la mucosa oxíntica, con la apariencia endoscópica de la mucosa gástrica, para evitar el sobrediagnóstico.
En resumen, los pólipos gástricos estuvieron asociados con el uso de IBP en dosis regulares y se observó el fenotipo de glándula fúndica en pacientes con una historia de uso de al menos un IBP durante un año, con un incremento en la prevalencia a partir del año 2000.
FinanciaciónNo se recibió patrocinio de ningún tipo para llevar a cabo este artículo/estudio.
Conflicto de intereses.Los autores declaran no tener ningún conflicto de intereses.






