Adequately preserved slides and tissue blocks in pathology archives, when re-reviewed and associated with patient charts, are important tools to further assess prevalence changes and associations of certain pathologies. Our aim was to identify whether proton-pump inhibitor (PPI) use, dose, and duration of use were associated with gastric polyps and their phenotypes in a case-control study.
MethodsThe slides from patients with a morphologic diagnosis of either hyperplastic polyps or fundic gland polyps were retrieved from the 1980, 1990, 2000, 2010, and 2016 surgical pathology files at a tertiary care hospital in Mexico City and re-evaluated. Cases were paired by age and sex with patients that underwent endoscopy and gastric mucosa biopsy in the same year, with no evidence of polyps.
ResultsA total of 133 (3.8%) patients with gastric polyps were identified from 3,499 gastric biopsies taken in the abovementioned years and compared with 133 paired controls. Dyspepsia was more prevalent in the controls (p=0.002) and abdominal pain was more prevalent in the patients with gastric polyps (p=0.001). PPI use (OR 7.7, 95% confidence interval, 4.4-13.3) and taking more than one PPI medication (OR 4.9, 95% confidence interval, 1.09-22.3) were significantly associated with the presence of gastric polyps. The fundic gland phenotype in the oxyntic mucosa was more frequently associated with PPI use (p<0.042), with a continuous increase in its prevalence starting in the year 2000 (p=0.017 for trend).
ConclusionPPI administration for at least one year was associated with gastric fundic gland polyps.
Los archivos de bloques y laminillas de los laboratorios de patología, cuando son adecuadamente preservados, re-revisados y asociados con los expedientes clínicos, son herramientas importantes para evaluar los cambios en la prevalencia de ciertas patologías. Nuestro objetivo fue identificar si el uso, dosis y tiempo de administración de inhibidores de bomba de protones (IBP) se asocian con el desarrollo y fenotipo de pólipos gástricos en un estudio de casos y controles.
MétodosSe obtuvieron y revisaron del archivo de patología quirúrgica las laminillas de pacientes con diagnóstico de pólipos gástricos hiperplásicos o de tipo fúndico de los años 1980, 1990, 2000, 2010 y 2016 en un hospital de tercer nivel de la Ciudad de México. Los casos fueron pareados por edad y sexo con pacientes sometidos a endoscopia y biopsias de mucosa gástrica durante el mismo año, sin evidencia de pólipos.
ResultadosSe identificaron 133 pacientes con pólipos gástricos en 3,499 biopsias de los años mencionados (3.8%) y fueron comparados con 133 controles. Se identificó una presencia de dispepsia significativamente mayor entre los controles (p=0.002) y dolor abdominal entre los pacientes con pólipo gástrico (p=0.001). El uso de IBP (OR 7.7, intervalo de confianza 95%, 4.4-13.3) y la administración de más de un IBP (OR 4.9, intervalo de confianza 95%, 1.09-22.3) estuvieron asociados significativamente con la presencia de pólipos gástricos. El fenotipo de pólipo asociado al uso de IBP fue el de glándulas fúndicas en la mucosa oxíntica (p<0.042), con incremento en la prevalencia a partir del año 2000 (tendencia p=0.017).
ConclusiónLa administración de IBP por al menos un año se asocia con pólipos gástricos de glándulas fúndicas.
Any protrusion on the surface of the gastrointestinal mucosa observed at endoscopy can be considered a polyp. Those lesions may be heterotopias, lymphoid tissue, stromal lesions, malignant neoplasms, or true epithelial polyps. The three most frequently recognized gastric polyp subtypes are hyperplastic polyps, fundic gland polyps (FGPs), and gastric adenomas.
In suspicious endoscopies, a histologic diagnosis of the polyp is necessary for adequate treatment and follow-up and lesions larger than 10mm have shown a distinct capacity to progress to adenocarcinoma.1 Since the introduction of omeprazole for the treatment of dyspepsia in different parts of the world, a rising prevalence of gastric polyps has been described.2 The most frequent gastric polyp subtype before the introduction of proton pump inhibitors (PPIs) was the hyperplastic polyp, usually located in the antrum and associated with Helicobacter pylori (H. pylori) infection. Its prevalence then declined and a rise in FGPs located in the oxyntic mucosa was described in developed countries.1,3 There is little information in Mexico on gastric polyps that describes the histologic subtype of the lesion.4,5 In 2 published studies, hyperplastic polyps and gastric adenomas were the most prevalent lesions. However, in a recent study on that population, FGP was described as the most frequent type of gastric polyp, with a rising trend in its prevalence of 1,400% over a 46-year study period.6 That change in prevalence of hyperplastic and fundic gland polyps has been described in other series,7–9 and prompted us to investigate the clinical and epidemiologic factors associated with trend modifications in a Mexican case-control study. Our aim was to identify whether PPI use, dose, and administration duration were associated with the presence of gastric polyps and to determine which subtypes.
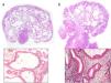
Materials and methodsPatients with a morphologic diagnosis of hyperplastic polyp or FGP in biopsy specimens were retrieved from the 1980, 1990, 2000, 2010 and 2016 surgical pathology files at a tertiary care hospital in Mexico City. Hyperplastic lesions had increased surface epithelial cells, dystrophic goblet cells with cystic dilatation, and infolding of glands and foveolae in non-oxyntic mucosa (fig. 1a), whereas FGPs had a microcystic configuration lined with flattened parietal and chief cells in oxyntic mucosa. Habitually dense inflammatory infiltrates admixed with edema and congestive vessels were observed in the hyperplastic polyps but were scant or absent in the lamina propria of the FGPs (fig. 1b). Cases were paired by age and sex with patients that underwent endoscopy and gastric mucosa biopsy in the same year, with no evidence of polyps. For comparative purposes, the patients with upper gastrointestinal symptoms at endoscopy were considered the controls. Slides were re-evaluated by an experienced gastrointestinal pathologist (A G-D) and two medical students (M V-D, C L-D) that codified the microscopic findings and the type of gastric polyp.
Microscopic features of pedunculated gastric polyps. Cystic dilatation of glands and foveolar expansion is observed in both polyps, but inflammation is abundant in the hyperplastic polyp (a). Parietal and chief cells lining the dilated gland is a hallmark of fundic gland polyps (b). Hematoxylin and eosin stain, x20 and x400.
The demographic information, clinical data of upper gastrointestinal tract symptoms, medical treatments, PPI use, and number of medications, dose, and treatment duration were retrieved from the clinical charts. The variables were codified in electronic files and analyzed using the SPSS version 23 software (SPSS, Chicago, IL). The trend analysis was performed on a time series using the non-parametric Mann-Kendall test (XLSTAT software for Excel). Differences were estimated with a two-sided p value < 0.05.
Ethical disclosuresThe present work was based on an archive review. No experimental tests were performed and statements of informed consent were not requested for the publication of this project because no personal data that could identify patients appear in our article.
The present project was carried out according to the Declaration of Helsinki.
ResultsIn a tertiary care setting, 133 patients with gastric polyps were identified from 3,499 gastric biopsies (3.8%) taken in 1980, 1990, 2000, 2010, and 2016 and compared with 133 paired controls that also underwent upper gastrointestinal endoscopy and gastric mucosal sampling (Table 1). Nonsignificant differences in the demographic and clinical characteristics were observed, with the exception of greater prevalence of dyspepsia in the controls (p = 0.002) and of abdominal pain in the patients with gastric polyps (p = 0.001). PPI use (OR 7.7, 95% confidence interval, 4.4-13.3) and taking more than one PPI medication (OR 4.9, 95% confidence interval, 1.09-22.3) were significantly associated with the presence of gastric polyps. A nonsignificant trend in the presence of gastric polyps (either hyperplastic or the fundic gland type) was observed in PPI use longer than one year (OR 2.2, 95% confidence interval, 0.906-5.4) or PPI dose administration of 20mg or more (OR 1.7, 95% confidence interval, 0.773-4.127).
Comparison of the demographic and clinical data and proton-pump inhibitor exposure information between patients with and without gastric polyps.
| Case n = 133 | Control n = 133 | p value | |
|---|---|---|---|
| Body mass index | 25 | 27 | 0.384 |
| Dyspepsia | 10 | 27 | 0.002 |
| Upper GI bleeding | 15 | 24 | 0.082 |
| Gastroesophageal reflux | 23 | 20 | 0.370 |
| Dysphagia | 4 | 6 | 0.375 |
| Anemia | 19 | 11 | 0.087 |
| Weight loss | 4 | 1 | 0.188 |
| Early satiety | 5 | 1 | 0.107 |
| Vomiting | 6 | 1 | 0.060 |
| Abdominal pain | 13 | 1 | 0.001 |
| 1 PPI medication taken | 92 | 30 | 7.7 (IC 95%, 4.4-13.3)* |
| > 1 PPI medication taken | 24/92 | 2/30 | 4.9 (IC 95%, 1.09-22.3)* |
| PPI intake duration > 1 year | 73/92 | 19/30 | 2.2 (IC 95%, 0.906-5.4)* |
| PPI dose >20mg | 50/92 | 12/30 | 1.7 (IC 95%, 0.773-4.127)* |
The intake of one or more than one PPI medication for less than one year was associated with gastric epithelial polyp development.
Student's t test.
The fundic gland phenotype was more frequently associated with PPI use (p < 0.042) and was clearly associated with PPI prescription for more than one year (p < 0.003) in younger patients with no atrophy or gastritis (Table 2). Hyperplastic polyps were mainly observed in older patients with H. pylori infection (p < 0.018) and with atrophic gastritis (p < 0.044). Figure 2 shows the temporal association of the gastric polyp phenotypes, demonstrating a continuous increase in the prevalence of FGPs starting in the year 2000 (p = 0.017 for trend).
Gastric polyp phenotypes and their associations in 133 patients.
| Hyperplastic polypn = 31 | Fundic gland polypn = 102 | p value | |
|---|---|---|---|
| Age (median) | 64 | 58 | 0.058 |
| Sex (M/F) | 8/23 | 27/75 | 0.570 |
| PPI use | 17/31 | 75/102 | < 0.042 |
| > 1 PPI medication taken | 3/17 | 21/75 | 0.103 |
| PPI dose > 20mg | 9/17 | 41/75 | 0.142 |
| Atrophya | 6 | 3 | 0.044* |
| H. pyloria | 7 | 3 | 0.018* |
Gastric polyp phenotype. Ingestion of a PPI dose above 20mg for longer than one year was associated with fundic gland polyp development. H. pylori infection and atrophy of the surrounding gastric mucosa were significantly associated with hyperplastic polyps.
The prevalence of epithelial gastric polyps has changed over the last three decades in many populations due to H. pylori eradication and PPI intake.6 The presence of the bacterium or its eradication was associated with antral hyperplastic polyps or the regression of sporadic fundic gland polyps in the oxyntic mucosa,10 respectively. Long-term PPI use was associated with FGPs.11,12
In the present study, an increase in the prevalence of gastric polyps was identified with a significant time trend variation in cases observed before and after the introduction of PPIs onto the national market (Early 1990s. Luis Uscanga-Domínguez, personal communication). Thereafter, most of the epithelial polyps observed were FGPs, exceeding the prevalence of hyperplastic polyps in the years analyzed (fig. 2). In the present sample, PPIs were prescribed as treatment for dyspepsia, upper gastrointestinal bleeding, anemia, dysphagia, and gastroesophageal reflux symptoms, among other manifestations (Table 1).
A gastric polyp was identified more than seven times in patients taking a PPI (OR 7.7, 95% confidence interval, 4.4-13.3), compared with those that did not, and the fundic gland phenotype was mainly observed in patients taking at least one PPI medication (p < 0.042) or in patients taking them for longer than one year (p = 0.003). Those findings concur with the results of two recently published meta-analyses summarizing the findings in 127,542 patients.10,11 Both studies showed an association between FGPs and PPI use (OR 2.45, 95% confidence interval, 1.24-4.83 and OR 2.46, 95% confidence interval, 1.42-4.27, respectively).
The duration of PPI ingestion was related to that reported outcome. The strongest associations have been observed in cases of PPI intake for 12 months or more. However, exposure time for FGP development is variable, with some studies showing that six months of PPI use was sufficient for polyp development.11 In addition to the association of PPIs with FGPs confirmed herein, PPI ingestion has been related to Clostridium difficile-associated disease, Campylobacter enteritis, osteoporosis, acute interstitial nephritis, and hip fracture.12,13 Although confounding factors could make it difficult to define a causal relationship, an additional concern is that PPIs are commonly overprescribed in different settings.14,15
Aside from exposure to PPIs and administration duration, we could not find an association with the prescription of a PPI at a dose of more than 20mg. However, the retrospective design of the study limited the evaluation of patient compliance. Additionally, a morphologic threshold for identifying minute changes (expansion of foveolae, gland dilatation, and cytoplasmic protrusion) as a polyp in the oxyntic mucosa needs to be prospectively related to the endoscopic appearance of the gastric mucosa to prevent overdiagnosis.
In summary, gastric polyps were associated with PPI intake at regular doses and the fundic gland phenotype was observed in patients with a history of at least one PPI prescription for one year, with an increasing prevalence starting at the year 2000.
Financial disclosureNo financial support was received in relation to this article.
Conflict of interestThe authors declare that there is no conflict of interest.
Please cite this article as: Velazquez-Dohorn M, López-Durand CF, Candanedo-González F, Araujo-Villalvazo EA, Gamboa-Domínguez A. Análisis de casos y controles de pólipos de glándulas fúndicas e inhibidores de bomba de protones. La perspectiva de un patólogo. Revista de Gastroenterología de México. 2019. https://doi.org/10.1016/j.rgmx.2019.02.007.






