¿ Introducción
El divertículo colónico gigante es una entidad patológica rara y así se cataloga cuando mide más de 4 cm de diámetro.1 Existen pocos informes en la literatura y su fisiopatología es aún incierta, siendo la más aceptada la dilatación progresiva debida a un mecanismo de válvula unidireccional que impide la salida de aire a través de su comunicación con la luz intestinal.1 Presentamos un caso de divertículo colónico gigante con una presentación clínica in-usual y realizamos una revisión de la literatura.
¿ Caso clínico
Hombre de 67 años con antecedente tabaquismo intenso: 45 cajetillas mensuales por 40 años y consumo de una botella de vino diaria. Se le habían realizado cinco cateterismos cardiacos; dos de ellos con colocación de stent y angioplastia 20 años antes. Hernioplastía inguinal hace 15 años. Transfusiones en dos ocasiones. Esclerosis de varices esofágicas 10 años antes. Colelitiasis como hallazgo ultrasonográfico. Estreñimiento crónico con diverticulosis colónica con 10 años de diagnóstico, con tres cuadros de diverticulitis en el último año, tratados médicamente. Tres semanas previas a su ingreso presentó dificultad progresiva para evacuar y dolor abdominal bajo, que aumentó en intensidad y frecuencia, acompañado de disminución del calibre de las evacuaciones y fiebre intermitente hasta de 40°C. El paciente acudió a consulta en dos ocasiones, prescribiéndose tratamiento médico a base de antibióticos y antiinflamatorios sin mejoría de los síntomas. Expresamente se había negado la opción quirúrgica debido al alto riesgo por lo que acudió a nuestra consulta en busca de una solución definitiva a su padecimiento. A la exploración física lo encontramos con signos vitales normales, ruidos cardiacos con soplo holosistólico, campos pulmonares sin anormalidades, abdomen globoso a expensas de panículo adiposo, sin signos de hipertensión portal o insuficiencia hepática. En el flanco derecho se palpó una masa redonda de aproximadamente 18 cm de diámetro, dolorosa, fija a planos profundos, con bordes regulares, sin irritación peritoneal. La peristalsis se encontró disminuida. El resto de la exploración no mostró datos significativos.
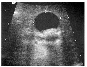
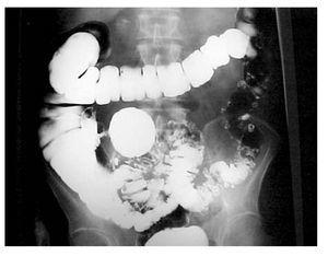
Se realizó un ultrasonido abdominal que informó la presencia de imagen hipoecoica de 15 cm por 10 cm en el cuadrante inferior derecho (Figura 1). El colon por enema reveló enfermedad diverticular con presencia de una imagen esférica adyacente al ciego, con aire en su interior en la etapa inicial del estudio y que fue ocupada por bario posteriormente dando la impresión de estar pediculado con comunicación al ciego, estableciéndose el diagnóstico como divertículo colónico gigante (Figura 2). La tomografía abdominal corroboró el diagnóstico. Se le realizó un ecocardiograma con dobutamina que fue positivo para isquemia aunque la evaluación cardiólogica no contraindicó el procedimiento quirúrgico planeado el cual se llevó a cabo con vigilancia transoperatoria por cardiólogo. Se realizó laparotomía exploradora en donde se encontró divertículo gigante, único, dependiente de colon sigmoides, adherido al mesenterio, colon ascendente e intestino delgado, con el apéndice cecal estrechamente adherido a su pared y con enfermedad diverticular en sigmoides y colon descendente. El divertículo se resecó en su totalidad, en conjunto con el sigmoides y parte distal del colon descendente que tenía la afección descrita y estenosis secundaria (Figura 3). Se complementó el procedimiento con apendicectomía por encontrarse este órgano íntimamente adherido a la pared del divertículo y colecistectomía por colelitiasis. Finalmente se concluyó con una anastomosis colónica término-terminal. Durante el período transoperatorio no hubo complicaciones quirúrgicas ni incidentes cardiovasculares adversos.
¿ Figura 1. Ultrasonido abdominal.
¿ Figura 2. Colon por enema.
¿ Figura 3. Pieza quirúrgica para envío a patología: divertículo gigante.
El análisis histopatológico informó colon con enfermedad diverticular complicada a consecuencia de divertículo gigante, con ulceración de la mucosa, inflamación crónica agudizada y pared fibrosa gruesa, peritonitis crónica fibroplástica con adherencias y apéndice cecal con adherencias y peri-apendicitis crónica. La vesícula biliar con colecistitis crónica litiásica. Su recuperación fue satisfactoria egresando a los dos días de la unidad de cuidados intensivos donde se mantuvo debido a los antecedentes de coronariopatía. En su postoperatorio mediato presentó celulitis de la herida quirúrgica que respondió al tratamiento con antibióticos. Toleró la alimentación oral al cuarto día y fue dado de alta dos días después en buenas condiciones.
¿ Discusión
La diverticulosis del colon es una patología frecuente en los países industrializados, atribuida principalmente a la baja ingesta de fibra en la dieta.2 Una presentación rara de esta entidad es el divertículo colónico gigante que fue descrito por primera vez en Francia en 1946, por Bonvin y Bonte.3 Se realizó una revisión de la bibliografía, consultando las bases de datos Medline y Pubmed, utilizando los artículos de mayor impacto del año 2000 a la fecha, empleando el término "divertículo colónico gigante" e incluyendo los artículos publicados en inglés y español. Bajo dichos criterios de búsqueda, se obtuvieron 45 referencias bibliográficas: 43 casos clínicos, dos series de casos y una revisión de la literatura. Cincuenta años después de su descripción original sólo se habían publicado 70 casos y alrededor de 100 reportes en la literatura internacional hasta 2004. La gran mayoría son informes de casos. Su presentación es poco frecuente, si consideramos que alrededor de un tercio de la población occidental mayor de 65 años es portadora de divertículos colónicos.4 Hasta donde sabemos, el único informe mexicano obtenido en dichas bases de datos fue hecho como reporte de imagen clínica por Ibargüen-Salazar en el 2007 de un divertículo colónico gigante que se presentó como hallazgo incidental en una obstrucción intestinal.5 La incidencia de enfermedad diverticular en nuestro país se estima de 4.1%.5 Se define como divertículo gigante cuando el diámetro es de 4 cm o más, habiéndose descrito hasta de 33 cm.6 Generalmente son únicos pero pueden ser múltiples.7 Las edades de presentación fluctúan entre los 30 y los 95 años,8 la mayoría se da entre los 60 y 79 años.9 En la revisión de Steenvoorde,7 el sitio más frecuente es el colon sigmoides en 81%, casi siempre se presenta en el borde antimesentérico y 90% se asocian a diverticulosis colónica.7 Se han hecho diversas clasificaciones de este tipo de lesiones y las más difundidas se muestran en la Tabla 1.10,11 En nuestro caso, el análsis histopatológico fue tejido fibroso con remanente de mucosa intestinal, lo cual corresponde al tipo I propuesto por McNutt.
De acuerdo con la literatura, el síntoma predominante es dolor abdominal inespecífico (68%). La revisión efectuada por Camgemi,12 menciona que puede acompañarse de otros síntomas como estreñimiento en 12% de los casos, vómito en 8%, o aumento de volumen abdominal, tenesmo, alteración del hábito intestinal o abdomen agudo por perforación del divertículo. Nano13 lo describió como un tumor fantasma debido a que su tamaño puede variar dependiendo de la cantidad de gas que entra de forma intermitente por el ostium del divertículo.
Steenvoorde7 analizó los estudios de imagen de 135 pacientes con divertículo colónico gigante y encontró que de 104 casos que tenían radiografías de abdomen, en casi todas se observó una estructura de tipo ovoidea conteniendo gas, que se considera característica de divertículo gigante. En 8% de los casos evidenció aire libre o neumomesenterio debido a perforación del divertículo. El diagnóstico definitivo se realizó en su mayoría mediante estudios contrastados como en el caso que presentamos. La tomografía abdominal también fue de utilidad para demostrar el divertículo y evidenció comunicación con el intestino.14 Según Steenvorde,7,15 en 64% de 111 pacientes a los que se practicó colon por enema se demostró la comunicación con el colon pero su uso está contraindicado cuando se sospecha perforación La colonoscopia no ha demostrado gran utilidad para el diagnóstico ya que en la mayoría de los casos el ostium es demasiado pequeño y no permite diferenciar entre una diverticulosis y un divertículo gigante y puede favorecer la perforación.16
Las complicaciones se han descrito en 28% de los casis siendo las más frecuentes la perforación, la infección o la formación vólvulo.17 Algunas series reportan que 2% se pueden asociar a lesiones malignas.7 La morbilidad reportada es de 9%, mientras que la mortalidad general es de 5%. Sin embargo, si existen complicaciones, la mortalidad se eleva hasta el 20%. Ha sido descrito el manejo conservador o la aspiración del divertículo con aguja fina18 y la resolución espontánea del mismo,19 pero la cirugía continúa siendo la opción más recomendada en cuyo caso la técnica se deberá individualizar.12,16
En el caso que informamos, el paciente tenía múltiples enfermedades sistémicas asociadas que le condicionaban un riesgo quirúrgico alto, pero con una vida social y familiar muy activa que se deterioró en forma importante por su padecimiento. Por esta razón, al evaluar el riesgo beneficio de la cirugía en forma conjunta se estimó que las posibilidades reales de éxito serían mayores que los riesgos. En el paciente el divertículo era sigmoideo, situado en un segmento amplio con enfermedad diverticular complicada y estenosis, lo que condicionó una resección extensa del colon izquierdo. La apendicectomía fue necesaria dada la intensa reacción inflamatoria y adherencias al divertículo. Consideramos que en casos como éste la evaluación integral por un equipo multidisciplinario puede disminuir los riesgos y permitir un tratamiento definitivo aún en pacientes de alto riesgo quirúrgico.
Concluimos que el divertículo colónico gigante es una complicación rara de la enfermedad diverticular. Por el alto índice de complicaciones y mortalidad asociada, se recomienda efectuar el tratamiento quirúrgico. El manejo multidisciplinario es la mejor opción para disminuir los riesgos existentes en pacientes de alto riesgo.
Correspondencia: Dr. Carlos Bravo Torreblanca.
Hospital Ángeles Lomas. Vialidad de la Barranca S/N, Consultorio 410, Colonia Valle de las Palmas,
CP 52763. Huixquilucan, Edo de México, México. Teléfono y Fax: 52469527.
Correo electrónico: carlosb240@yahoo.com






