¿ Introducción
El vólvulo gástrico es una condición caracterizada por una rotación anormal de más de 180º de una porción del estómago sobre sí mismo.1,2 Existen tres tipos de vólvulo gástrico de acuerdo a esta rotación anómala: mesentero-axial, órgano-axial y una combinación de ambos tipos. El cuadro clínico puede ser agudo o crónico con síntomas intermitentes. El vólvulo gástrico agudo es una emergencia, ya que puede haber compromiso vascular y necrosis gástrica que requiere tratamiento inmediato.3 El vólvulo gástrico crónico debe de corregirse para evitar las complicaciones agudas. Los principios básicos de tratamiento del vólvulo gástrico incluyen descompresión y devolvulación gástrica así como fijación para prevenir la recurrencia. Las técnicas de mínima invasión ofrecen menor morbilidad y periodos de recuperación más cortos por lo que son sugeridas ampliamente para el tratamiento de esta entidad en pacientes de edad avanzada.4
¿ Casos clínicos
Caso 1
Hombre de 64 años que ingresó al servicio de urgencias con un cuadro caracterizado por evacuaciones melénicas y síntomas típicos de reflujo gastroesofágico de dos meses de evolución. Los estudios laboratorio mostraron anemia grave (Hb 5.6 g/dL). Se realizó endoscopia de tubo digestivo alto la cual mostró una imagen sugestiva de vólvulus gástrico y una úlcera con sangrado reciente (Figura 1) en el segmento intra-torácico. Se practicó una colonoscopia que mostró divertículos no sangrantes en sigmoides. Se complementó el estudio con una serie esófago-gastroduodenal corroborando el diagnóstico de vólvulo gástrico órgano-axial.
¿ Figura 1. Gastroscopia que muestra una gran hernia hiatal con parte del estómago dentro del tórax.
La condición hemodinámica del paciente fue optimizada con el uso de soluciones intravenosas y productos sanguíneos y fue programado para corrección quirúrgica del vólvulo gástrico. Durante el procedimiento quirúrgico se realizó detorsión y reducción del estómago hacia el abdomen, resección del saco herniario, plastía diafragmática y funduplicatura tipo Nissen por laparoscopia con fines de fijación y para tratar los síntomas de reflujo.
Caso 2
Hombre de 75 años con historia de dolor abdominal inespecífico crónico que ingresó a urgencias con un cuadro de pocas horas de evolución caracterizado por dolor torácico y epigástrico intenso, irradiado hacia la espalda y asociado a náusea sin vómito. Al examen físico se encontró dolor abdominal en epigastrio sin datos de alarma. Los estudios de sangre fueron normales. En la radiografía de tórax se encontró una imagen de nivel hidroaéreo en el hemitórax izquierdo. El protocolo de estudio se completó mediante una endoscopia y serie esófago-gastroduodenal en la cual se confirmó el diagnóstico de vólvulo gástrico órgano-axial (Figuras 2 y 3). El paciente fue llevado a la sala de operaciones para la realización de devolvulación y reducción gástrica hacia el abdomen, plastía diafragmática y funduplicatura tipo Toupet por laparoscopia.
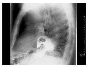
¿ Figura 2. Serie gastroduodenal en que la flecha horizontal indica la localización de la unión gastro-esofágica. La flecha curva muestra el desplazamiento del estómago en su eje longitudinal.
¿ Figura 3. Serie gastroduodenal proyección lateral que muestra la torsión gástrica en sentido anteroposterior.
En ambos casos los pilares diafragmáticos se encontraron de buena calidad y una vez concluido su afrontamiento se veían libres de tensión por lo que no consideramos colocar ningún material protésico como complemento de la plastía diafragmática. Se emplearon puntos separados de poliéster (Ethibon 00) con felpas de PTFE para el cierre de los pilares (seis puntos en total). La funduplicatura se realizó con la misma sutura en puntos separados y con fijación al pilar derecho, pilar izquierdo y un punto retrogástrico con fijación al hiato ya cerrado.
En ambos pacientes se realizó un esofagograma con material de contraste hidrosoluble el día siguiente a la operación, en donde se corroboró la adecuada posición del estómago y la ausencia de fuga por lesión gastroesofágica. En los dos casos se inició la dieta líquida en el segundo día postoperatorio y egresaron cinco días después de la operación con dieta en papillas. Una semana después, se hizo progresión a dieta blanda con buena tolerancia. El primer paciente ha sido seguido por cinco años y el segundo paciente por dos años, tiempo en el que ambos se han mantenido asintomáticos y sin evidencia de recurrencia del vólvulo es estudios contrastados de tubo digestivo alto de control.
¿ Discusión
El vólvulo gástrico se puede definir como la rotación anormal del estómago sobre sí mismo,1-4 que ocasiona una obstrucción en asa ciega5 y cuando se presenta de manera aguda puede ocasionar compromiso vascular e infarto.1-4 Cuando el estómago rota sobre su eje longitudinal encontrando la unión gastroesofágica con el píloro se genera un vólvulo órgano-axial que es el tipo más común.4-7 Cuando rota sobre un eje que junta ambas curvaturas y posiciona el antro hacia la porción superior se genera un vólvulo mesentero-axial.3,6 También se puede presentar una combinación de ambos o incluso un tipo no clasificado.8 El vólvulo se presenta de manera primaria en 30% de los casos debido a la laxitud de los ligamentos fijadores del estómago (gastrocólico y gastroesplénico). De manera secundaria, se presenta en 70% de los casos, ya sea por una hernia hiatal paraesofágica, bridas, adherencias o como secuela tardía de trauma torácico o abdominal contuso.2-4,6,8 En las formas crónicas los ligamentos estabilizantes se encuentran alargados.7 En los casos presentados, dichos ligamentos se observaron elongados durante el procedimiento quirúrgico.
Los síntomas del vólvulo gástrico agudo son dolor intenso en epigastrio con distensión y vómito. Es frecuente encontrar dificultad para insertar una sonda nasogástrica. Este espectro de manifestaciones es conocida como triada de Borchardt y es prácticamente diagnóstica del vólvulo gástrico, aunque sólo se presenta en un bajo porcentaje de pacientes.3,4,6,9
El diagnóstico de vólvulo gástrico crónico puede ser difícil ya que los síntomas pueden ser variados y vagos, simulando otras condiciones del abdomen superior como dolor, disfagia, reflujo, vómito y disnea.2-4,7 En ocasiones el vólvulo se presenta como hallazgo incidental en estudios radiológicos. Una radiografía de tórax con doble nivel hidro-aéreo, uno retrocardiaco y otro a nivel del fondo gástrico es altamente sugerente del diagnóstico.5,10 Cuando la mucosa del estómago torcido se ulcera puede ocasionar sangrado y perforación.10 El primer paciente de nuestro informe se presentó con un sangrado crónico manifestado por melena, el cual pudo haber sido secundario a una ulceración de la mucosa gástrica del segmento volvulado. El vólvulo gástrico crónico debe diagnosticarse oportunamente y tratarse endoscópica o quirúrgicamente para evitar las complicaciones de la presentación aguda. Dichas complicaciones incluyen ulceración, estrangulación, necrosis y choque hipovolémico con una mortalidad de 30% a 50%.2-3,6
El estudio preoperatorio incluye una serie esófago-gastro-duodenal y endoscopia de tubo digestivo alto que permitan identificar un esófago corto.4,6,7 El resultado de la determinación del pH intra-esofágico de 24 horas no es un factor determinante para la selección de la técnica quirúrgica. Sin embargo, la manometría debe considerarse como parte del protocolo de estudio para detectar alteraciones de motilidad esofágica.7 La realización de una tomografía computarizada con reconstrucción multiplanar puede ser útil para el diagnóstico de vólvulo gástrico.11
El tratamiento quirúrgico del vólvulo crónico incluye alternativas agresivas como la gastropexia con sección del ligamento gastro-cólico (operación de Tanner), gastrectomía, gastro-yeyuno anastomosis y anastomosis fundo-antral (operación de Opolzer) entre otras.2 El consenso general actual es que se debe corregir la posición del estómago para posteriormente fijarlo en su posición normal y reparar el defecto diafragmático asociado.1-4,7 La escisión del saco herniario y la lisis de adherencias son fundamentales para evitar la recurrencia. No se requiere colocar una malla diafragmática al menos que haya agenesia de las cruras.7
La tendencia actual es a utilizar técnicas menos invasivas tanto endoscópicas, laparoscópicas y mixtas. Se puede reducir el vólvulo mediante endoscopia y fijar el estómago con una gastrostomía percutánea.2,3 Se han descrito gastrostomías de fijación múltiples para prevenir la recurrencia pero no funcionan como tratamiento definitivo.1,4 Las técnicas endoscópicas y combinadas son una opción para pacientes de alto riesgo que no pueden tolerar tiempos quirúrgicos prolongados o procedimientos extensos. Algunos autores han reducido el estómago laparoscópicamente para posteriormente fijarlo mediante una gastrostomía endoscópica percutánea.1,6 Mangray y colaboradores,12 han sugerido fijar el cuerpo y antro del estómago al mesocolon a través de una ventana mesocólica.
Los dos pacientes que presentamos en este trabajo mostraron un vólvulus órgano-axial secundario a una hernia hiatal gigante. La decisión de realizar un procedimiento anti-reflujo aunado a la reducción del vólvulus se basó en el hecho que 60% de los pacientes con hernia para-esofágica tienen reflujo gastro-esofágico y 18% presentaría reflujo después de la corrección quirúrgica simple. Asimismo, la funduplicatura fija el estómago y disminuye la posibilidad de recurrencia.2 Debido a la urgencia por la hemorragia del primer paciente y al dolor intenso en el segundo enfermo, no realizamos manometría esofágica preoperatoria. En el primer caso, el paciente manifestaba pocos síntomas de reflujo de tan sólo dos meses de evolución por lo cual consideramos que la motilidad esofágica difícilmente podría estar afectada y se decidió realizar un procedimiento antireflujo de 360º. En el segundo paciente se optó por un procedimiento anti-reflujo de 270º debido a que los tejidos peri-esofágicos mostraban datos inflamatorios graves de aspecto crónico y consideramos que la motilidad esofágica podría estar afectada a pesar de que el paciente no refería síntomas de reflujo. No detectamos morbilidad peri-operatoria alguna, corroborando que la cirugía laparoscópica es una opción segura para corregir el vólvulus gástrico crónico en el paciente añoso por lo que sugerimos ampliamente la realización de estos procedimientos en este tipo de pacientes.
En conclusión, el vólvulus gástrico crónico es causa de morbilidad y puede acarrear complicaciones graves e incluso la muerte si no se corrige adecuadamente. Una vez hecho el diagnóstico, el procedimiento correctivo ideal debe ser seguro, debe prevenir los síntomas asociados y la recurrencia. Las técnicas de mínima invasión son una opción terapéutica atractiva especialmente en el paciente de edad avanzada, debido a la reducción de tiempos quirúrgicos y convalecencia más corta. La cirugía laparoscópica es una opción factible y segura para corregir el vólvulo gástrico crónico en el anciano. Para aumentar las posibilidades de éxito del procedimiento electivo, es fundamental el entrenamiento en cirugía laparoscópica avanzada. El adecuado estudio preoperatorio, así como la optimización nutricional y funcional contribuyen a la mejor evolución y reducción de la morbi-mortalidad.
Correspondencia: Dr. Miguel Ángel Sánchez Pérez.
Carlos Graef Fernández N°154-515, Col. Tlaxala, CP 05300, México, D. F.
Teléfono/Fax: (5255) 1664 7164.
Correo electrónico: wfrguitarma@hotmail.com





