Una mujer de 70 años con antecedente de carcinoma neuroendocrino de células grandes y pequeñas con componente focal de adenocarcinoma de endometrio metastásico a pulmón y antecedente de hernia hiatal grande (>5cm) (fig. 1), ingresó a urgencias por un dolor torácico opresivo, irradiado a cuello y exacerbo con la ingesta de alimentos. Los laboratorios a su ingreso reportaron leucocitos 21.3 ×109/L, neutrófilos 18.3 ×109/L, proteína C reactiva 37.8mg/dL, deshidrogenasa láctica (DHL) 241 UI/L y lactato 2.7 mmol/L; la evaluación de cardiaca sin alteraciones y angiotomografía negativa para tromboembolia pulmonar, sin embargo, se evidenció una hernia hiatal en posición de espejo (fig. 2). Se descomprimió con sonda nasogástrica y ante la sospecha de estrangulación gástrica fue sometida a reducción de hernia hiatal y gastropexia laparoscópica, con mejoría sintomática del dolor. Las hernias del hiato se dividen en cuatro tipos, siendo las más complejas las paraesofágicas (tipo III y IV) que representan el 5-10% (fig. 3). Este tipo de hernias pueden llegar a contener además del estómago, otras vísceras abdominales como el colon, el intestino delgado, el páncreas o el bazo. Las complicaciones agudas como estrangulación o isquemia ameritan descompresión inmediata.
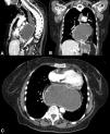
Tomografía computarizada multidetector con contraste intravenoso y reconstrucción multiplanar. Se identifica la presencia del fondo y cuerpo del estómago a nivel intratorácico secundario a hernia para esofágica con importante distensión de la cámara gástrica y del esófago (A) reconstrucción sagital; B) reconstrucción coronal; C) corte axial).
No se obtuvo financiación para realización del articulo.
Conflicto de interesesLos autores declaran no tener ningún conflicto de intereses.





