Introducción
Las duplicaciones intestinales son raras, pero las rectales lo son mucho más, los primeros reportes de esta patología datan del año 1885 por Middeldorf y en 1937 por Ladd y Gross,1 de los casi 80 reportes en la literatura mundial de duplicaciones rectales, la mayoría se han descrito sobre la pared posterior y espacio retrorrectal, siendo muy pocos los descritos sobre la pared anterior del recto. Aproximadamente 95% de los reportes han sido de población pediátrica, siendo muy escasos los casos en población adulta (menos de 10). Las duplicaciones intestinales son lesiones de origen congénito que pueden existir desde la base de la lengua hasta el conducto anal, siendo más frecuente en el íleon (22%) mientras que en el recto alcanza 5% aproximadamente.2-4 En México, Ramírez-Reséndiz A. y cols., han reportado un caso de duplicación rectal como causa de prolapso rectal en una niña de 11 meses de edad,5 siendo nuestro objetivo el informar este caso como el primero en un adulto en la literatura nacional.
Informe del caso
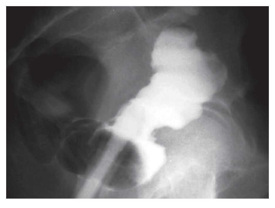
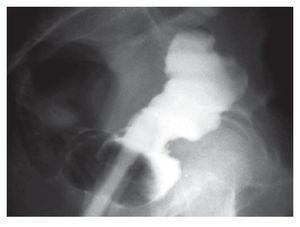
Paciente masculino de 43 años de edad, quien acude a urgencias del Hospital Escandón de Tacubaya, México, D.F., abril del 2003 por datos de estreñimiento crónico, dolor anorrectal intenso, tenesmo, sangrado transrectal escaso e imposibilidad para la defecación. Al examen físico mostraba fascie dolorosa, dolor abdominal sin datos de irritación peritoneal, abdomen distendido y al tacto rectal masa grande, la radiografía simple de abdomen mostró datos de impactación fecal importante, se realiza la desimpactación mecánica bajo sedación, luego mediante rectosigmoidoscopia (RSC) rígida se logra detectar doble lumen rectal (anterior y posterior) por encima del anillo anorrectal con úlcera fibrosa de aspecto nacarado fibrinoide de aproximadamente 3 cm de longitud por 1 cm de ancho, sobre la base del septum que separa ambos lúmenes (Imagen 1), sitio de donde se toman biopsias, posteriormente se realiza colon por enema con material hidrosoluble (Imagen 2) y se realiza colonoscopia sin encontrar patología asociada, se toman biopsias en mucosa del fondo del saco atrófico, no detectando ectopia gástrica ni displasia. Se plantea al paciente tratamiento quirúrgico; resección de saco con anastomosis coloanal a efecto de evitar nueva obstrucción intestinal a futuro, pero cuando se le informa al paciente la pequeña posibilidad del riesgo de lesión de fibras nerviosas entre las posibles complicaciones posoperatorias, se rehúsa completamente a cualquier opción quirúrgica y dado que con dieta rica en fibra notó mejoría sintomática importante sin obstrucción hasta la fecha (contacto telefónico, ya que el paciente por su propia voluntad interrumpió el seguimiento hospitalario).
Imagen 1. Rectosigmoidoscopia
Imagen 2. Colon por enema. Se aprecia llenado de la duplicación rectal pared anterior del tipo "sacular".
Discusión
Las duplicaciones del tracto intestinal son lesiones congénitas muy raras y en el recto alcanzan cerca del 5% de las veces, éstas pueden ser de dos tipos: tubular y quísticas. Cuando son tubulares dan el aspecto de doble cañón de escopeta, bien sea en el colon o en el recto. Las duplicaciones quísticas tienen aspecto saculares como divertículos grandes y pueden llegar a terminar en duplicación anal inclusive. En el recto generalmente parten de la pared posterior y ocupan el espacio retrorrectal y pueden estar asociados en estos casos a malformaciones neurológicas y musculoesqueléticas, mientras que los de la pared anterior son mucho más raros, generalmente quísticos (saculares) y de éstos en población adulta sólo se han descrito menos de 12 casos en la literatura mundial,6-8 dando problemas obstructivos no sólo intestinal o rectal, sino urinarios (vejiga y riñón) y a vagina. En este caso la clínica coincide con los escasos reportes en adultos, es decir, patrón obstructivo y de forma quística o sacular, el hospital en mención abarca población de nivel socioeconómico bajo y se carece de IRM, por lo que el paciente fue estudiado de la manera descrita.
Su etiología se atribuye a defectos en el desarrollo embrionario, hay dos teorías al respecto: a) la expansión de un divertículo de la 8a. a 9a. semana de vida embrionaria y b) debido a un defecto en la fusión intestinal caudal aproximadamente a la 5a. semana (embrión de 10 mm).9-11 La teoría expuesta por Veenklass12 para explicar las duplicaciones de la pared posterior del recto con base en la existencia de un divertículo de tracción de la notocorda, no explica el por qué coexistan simultáneamente 2 o más casos de duplicación en un mismo paciente o justifique sobre la pared anterior.13 Ladd y Gross, propusieron tres características a cumplirse para casos de duplicaciones, muy aplicables hasta la actualidad: 1) continuidad y adherencia firme hacia alguna parte del intestino, generalmente en sentido proximal, 2) cubierta de músculo liso (usualmente de 2 capas) y 3) epitelio mucoso consistente en uno o más tipos celulares del aparato digestivo (células cilíndricas, glándulas, etc.).
El cuadro clínico es variable y depende tanto de la ubicación (anterior o posterior), como de su tamaño, así como de la presencia o no de complicaciones. Algunos casos son asintomáticos y sólo son detectados por hallazgos incidentales radiográficos o transoperatorios. Los síntomas más comunes son estreñimiento progresivo, tenesmo, dolor rectal, obstrucción y prolapso de la mucosa anorrectal, pudiendo llegar a ser detectados en un examen proctológico de rutina cuando se trata de una masa sintomática presacra al tacto rectal. Tanto Jewell y cols.,14 como Monek y cols.,13 han reportado casos de grandes masas extraperitoneales de duplicaciones rectales tubulares a manera de hernias hacia abdomen y región glútea izquierda, respectivamente. Se han reportado otras presentaciones clínicas como las asociadas a fístulas perineales en 20% de los casos,11,15 fístula rectovaginal,16 infección del quiste o saco del 20 al 49% de los casos,8 hemorragia por ulceración o por mucosa gástrica ectópica,2,11,17 obstrucción vesical con hidronefrosis en un neonato16 y se ha llegado a reportar también degeneración maligna,18-20 pero hasta el momento esto ha sido descrito sólo en población adulta. De las duplicaciones rectales, 20% tienen comunicación proximal muy estrecha con el colon sigmoides.
El diagnóstico se realiza con base en la exploración proctológica adecuada que incluye una inspección perineal, tacto rectal, anoscopia y rectosigmoidoscopia (donde se comprueba el doble lumen), complementando siempre con examen vaginal. El diagnóstico se corrobora mediante colon por enema (CxE), tomografía axial computada (TAC) y actualmente el uso de imagen por resonancia magnética (IRM),6,21 ha sido de gran utilidad y según Amjadi y cols.,15 es el más preciso para esta patología.
El diagnóstico diferencial está orientado a descartar patologías del espacio retrorrectal o presacro como lo son los teratomas sacrococcígeos, mielomeningocele, quistes dermoides, cordomas, leiomiosarcomas rectales, neurofibromas, sarcoma osteogénico y carcinomas cloacogénicos. Causas ginecológicas como hidrosalpinx, hidrometrocolpos e hidrocolpos deberán ser considerados, así como también, la enfermedad de Crohn perianal para casos de fístulas recurrentes.
El tratamiento de la duplicación rectal es quirúrgico, dependiendo de los síntomas se decidirá la técnica, con base en los síntomas asociados (urinarios, ginecológicos y neurológicos). Es importante tener presente que las duplicaciones están en íntima relación con un segmento intestinal y por ende compartirán un mismo riego sanguíneo y parte de la pared rectal, lo que separarlos preservando la pared intestinal o rectal es casi imposible, recomendándose así la resección en bloque.22
La vía perineal se recomienda para los casos locales en que la duplicación rectal no exceda de la segunda vértebra sacra. En casos de una duplicación quística simple el abordaje recomendado es el posterior (transcoccígeo) o por vía transanal.2,3,11,22-24 La resección abdominoperineal rara vez es requerida, se ha reportado en casos de degeneración maligna con ubicación muy baja. Siempre que coexistan alteraciones urinarias éstas deberán ser tratadas en el mismo acto quirúrgico.25 En la actualidad el método sugerido por McLeod y cols.,22 como de elección es la protectomía total con engrapadoras y la realización de reservorio coloanal en "J", con la intención de disminuir el daño a nervios pélvicos. Existen escasos reportes de abordajes laparoscópicos para duplicaciones quísticas grandes con resultados óptimos en la resección y daño mínimo.27
La resección simple de la duplicación quística con cierre primario de la fístula puede terminar en recurrencia, lo cual desencadena reintervenciones múltiples, mismas que requerirán de una resección completa. Cuando se presenten casos de duplicación con sepsis local, primero se tendrá que manejar el adecuado drenaje seguido de resección curativa.12 El hallazgo de adenocarcinoma en duplicación rectal por Ballantyne en 1932 sugiere una conducta más agresiva, aunque esos hallazgos fueron en adultos y muy escasos pacientes. Un reporte hecho por Shivnani y cols.,20 menciona la posibilidad de adenocarcinoma hasta del 20% en casos de duplicación rectal, por lo que sugiere un manejo multidisciplinario antes de cualquier tratamiento quirúrgico, sin embargo, en ausencia de mucosa gástrica ectópica o displasia, la resección simple es recomendada. Aunque Holcomb y cols.,28 recomiendan que "el procedimiento quirúrgico no debe ser más radical de lo necesario como para eliminar los malestares del paciente y prevenir futuras recurrencias", éste siempre deberá ser definitivo y sin posibles recaídas.
Correspondencia:
Dr. Javier Rodríguez Cabrera.
Hospital Español, Torre de Consultorios PB 1-C, Av. Ejército Nacional # 617, Col. Granada, C.P. 11520, Delegación Miguel Hidalgo. México, D.F.
Teléfonos y Fax: 52506022, 52506404, 52506206.
Correo electrónico:jrodriguezcabrera@hotmail.com
Fecha de recibido: 24 agosto 2007
* Fecha aprobado: 27 febrero 2009




