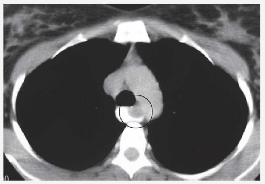
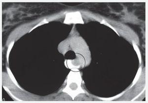
Mujer de 34 años sin antecedentes personales patológicos, quien consulta con historia de 3 meses de evolución de disfagia progresiva. Estudio baritado esofágico reveló compresión extrínseca en tercio medio (Imagen 1). La endoscopia alta mostró una lesión que ocluía 50% de la luz esofágica con mucosa intacta. La tomografía axial computada con contraste esofágico reveló una lesión intramural, no adherida a planos adyacentes a nivel de la pared esofágica lateral derecha en el tercio medio, cercano al cayado aórtico (Imagen 2). A la paciente se le realizó enucleación toracoscópica con abordaje lateral derecho de tumoración esofágica en tercio medio sin complicaciones (Fotos 1 y 2). El informe histopatológico reportó GIST (Gastrointestinal Stromal Tumor) esofágico CD117 (+). Estudio contrastado de control sin estrecheces ni escape. Fue dada de alta al cuarto día posoperatorio.
Imagen 1. Estudio de contraste del esofágico. Evidencia de compresión extrínseca en tercio medio.
Imagen 2. TAC de esófago con contraste. Lesión intramural.
Foto 1. Enucleación toracoscópica de la tumoración esofágica.
Foto 2. Pieza quirúrgica.
Los GIST comprenden menos del 5% del total de los tumores esofágicos. La enucleación del tumor es el tratamiento definitivo para todo tumor compresivo benigno esofágico y los abordajes convencionales son toracotomía derecha o izquierda. Los avances en la cirugía mínimamente invasiva han hecho posible realizar este procedimiento utilizando técnicas toracoscópicas. Se han documentado en la literatura solamente 3 casos de abordajes toracoscópicos derechos para enucleación de tumoraciones esofágicas.
Correspondencia:
Dr. Homero A. Rodríguez-Zentner.
Servicio de Cirugía General. Complejo Hospitalario Metropolitano "Dr. Arnulfo Arias Madrid". Panamá, Panamá.
Correo electrónico:drhomerorodriguez@gmail.com
Fecha recibido: 17 julio 2008
* Fecha aprobado: 29 enero 2009






