Paciente de 48 años con dolor abdominal en epigastrio, aumento del perímetro abdominal, saciedad temprana, plenitud posprandial y disnea de medianos esfuerzos. El examen físico: T/A: 140/100 IMC: 24.3kg/m², área hepática de 22 cm y hepatodinia. Química sanguínea: Creatinina: 1.06 mg/dL, ALT: 65 UI/L, AST: 28 UI/L, bilirrubina total: 0.67 mg/dL; directa: 0.07 mg/dL. Fosfatasa Alcalina: 60 UI/L.
Ultrasonido y tomografía con evidencia de enfermedad poliquistica del adulto. Se realizó fenestración laparoscopica de los quistes hepáticos, con adecuada evolución.
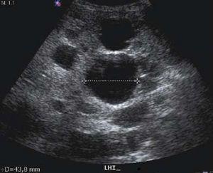
Figura 1. USG hígado: lóbulo hepático izquierdo.
Figura 2. USG renal: riñón derecho.
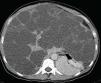
Figura 3. Quistes hepáticos sin complicación.
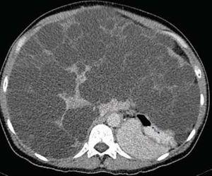
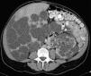
Figura 4. Enfermedad poliquística renal y hepática.






