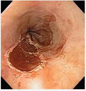
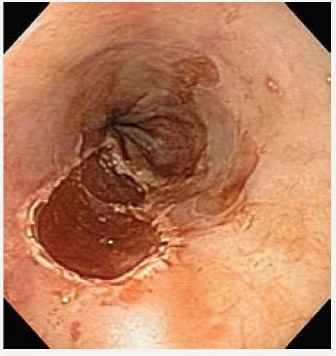
Paciente masculino de 55 años de edad, con enfer-fue sometido a mucosectomía endoscópica con medad por reflujo gastroesofágico. Se realizó pa-técnica de ligadura (figura 2). La endoscopia de nendoscopia, identificándose esófago de Barrett de control mostró tejido esofágico de características segmento largo. La cromoendoscopia digital con normales con signos de cicatrización en el sitio de imagen de banda estrecha (NBI) y magnificación, la mucosectomía (figura 3). El paciente continúa reveló zonas con un patrón tipo Pit IV de la clasi-en protocolo de vigilancia de displasia y con trataficación de Endo1 (figura 1). Las biopsias revelaron miento con inhibidor de bomba de protones. un foco de displasia de alto grado y el paciente
Estudios de imagen:Figura 1. Cromoendoscopia digital con NBI y magnificación en esófago de Barrett, se observa patrón tipo Pit IV.
Figura 2. Imagen endoscópica posterior a mucosectomía esofágica en la zona correspondiente a displasia de alto grado en esófago de Barrett.
Figura 3. Endoscopia de control a los 2 meses, se observa mucosa esofágica normal en la zona de mucosectomía.





