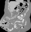
La hernia de Spiegel es un defecto en la unión del borde lateral del músculo recto del abdomen y el borde medial del transverso del abdomen. Adriaan van den Spiegel (1578- 1625) describió la línea semilunar que ahora lleva su nombre, así como su relación con el borde lateral del músculo recto abdominal (fascia de Spiegel). Eventualmente, el cirujano se enfrenta a las llamadas «hernias raras», denominadas así por su baja incidencia y su inusual contenido. Dentro de estas se incluyen las hernias de Petit, Grynfeltt, Busoga, Richter, Spiegel, Bullhorn, Handlebar, Romberg, Littre, Amyand y Garengeot. La hernia de Spiegel representa del 1 al 2% de todas las hernias; su contenido más frecuente es el intestino delgado y el epiplón. El apéndice cecal dentro del saco herniario ha sido poco descrito hasta el momento. Femenino de 63 años con antecedente de obesidad mórbida y plastia ventral con malla por hernia de Spiegel con recidiva desde hace 2 años. Ingresada a nuestro servicio por hernia de pared complicada. El topograma mostró hernia ventral y probable absceso de pared (fig. 1). La tomografía reveló apendicitis aguda complicada dentro del saco herniario (figs. 2 y 3). Durante la cirugía se identificó hernia de Spiegel recidivante complicada, saco herniario con apéndice cecal perforado con absceso de 300ml y fascitis necrosante de la pared abdominal. Se realizó drenaje de absceso, desbridación de tejido, retiro de malla previa, apendicetomía, plastia de pared sin malla y colocación de sistema de cierre asistido por vacío durante 2 semanas. La evolución posquirúrgica fue adecuada.
Los autores declaran que los procedimientos seguidos se conformaron a las normas éticas del comité de experimentación humana responsable y de acuerdo con la Asociación Médica Mundial y la Declaración de Helsinki.
Confidencialidad de los datosLos autores declaran que en este artículo no aparecen datos de pacientes.
Derecho a la privacidad y consentimiento informadoLos autores declaran que en este artículo no aparecen datos de pacientes.
Conflicto de interesesLos autores declaran no tener ningún conflicto de intereses por la realización de este trabajo.





