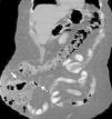
Spigelian hernia is a defect in the union of the lateral edge of the rectus abdominis muscle and the medial edge of the transverse abdominal muscle. Adriaan van den Spieghel (1578-1625) described the semilunar line that now bears his name, as well as its relation to the lateral edge of the rectus abdominis muscle (Spigelian fascia). The surgeon is occasionally confronted with “unusual hernias”, referred to as such for their low incidence and uncommon content. They include the Petit, Grynfeltt, Busoga, Richter, Spigelian, Romberg, Littre, Amyand, de Garengeot, Bullhorn, and Handlebar hernias. Spigelian hernias represent 1 to 2% of all hernias. Their most frequent content is the small bowel and omentum. The cecal appendix inside the hernial sac has not often been described. A 63-year-old woman with a history of morbid obesity and ventral mesh repair for a Spigelian hernia that recurred 2 years prior was admitted to our service due to a complicated abdominal wall hernia. The topogram showed a ventral hernia and probable wall abscess (fig. 1). The tomography scan revealed acute appendicitis within the hernial sac (figs. 2 and 3). A complicated, recurrent Spigelian hernia, a hernial sac containing a perforated cecal appendix with a 300ml abscess, and necrotizing fasciitis of the abdominal wall were identified during the surgery. The abscess was drained, the tissue was debrided, and the previous mesh was removed. Appendectomy and wall repair with no mesh were performed and a vacuum-assisted closure system was placed for 2 weeks. The patient's postoperative progression was satisfactory.
The authors declare that the procedures followed were in accordance with the regulations of the relevant clinical research ethics committee and with those of the Code of Ethics of the World Medical Association (Declaration of Helsinki).
Confidentiality of dataThe authors declare that no patient data appear in this article.
Right to privacy and informed consentThe authors declare that no patient data appear in this article.
Conflict of interestThe authors declare that there is no conflict of interest.
Please cite this article as: Ramírez-Ramírez MM, Villanueva-Sáenz E. Hernias infrecuentes con contenido atípico. A propósito de una hernia de Spiegel con apendicitis aguda. Revista de Gastroenterología de México. 2017;82:181–182.





