La fístula aortoentérica (FAE) está asociada con una tasa de mortalidad alta, de aproximadamente el 77%, y es fatal sin tratamiento1,2. La FAE es una conexión anormal entre la aorta y el tracto gastrointestinal3 y es comúnmente causada por una fuga anastomótica y formación de úlcera péptica4.
Un hombre de 42 años con historia de hipertensión y enfermedad cardiaca isquémica reportó dificultad para deglutir y pérdida de 10kg en los 4 meses anteriores. Tres meses antes se había sometido a la colocación de un stent cardiaco tras un infarto de miocardio (IM). En una esofagogastroduodenoscopia (EGD) se encontró un tumor friable y ulcerado, a 36cm de los incisivos, extendiéndose hasta 41cm, afectando la unión gastroesofágica (UGE). El tumor afectaba predominantemente el cardias gástrico y la curvatura menor a lo largo de la UGE. La biopsia demostró adenocarcinoma moderadamente diferenciado (Siewert tipo iii). En una tomografía computarizada (TC) del abdomen y pecho se observó afectación de nódulo linfático. Una TC PET confirmó el diagnóstico de adenocarcinoma de la UGE, con ganglios gastrohepáticos ávidos de 18F-fluorodesoxiglucosa, pero sin metástasis distantes, resultando en una estadificación T3N1M0. No se encontraron metástasis hepáticas, ascitis o células malignas (citología de fluidos) en la laparoscopia de estadificación. Después de los regímenes de quimioterapia neoadyuvante con fluorouracilo, leucovorina, oxaliplatino y docetaxel (FLOT 4), la masa tumoral se resecó con éxito con márgenes limpios (histopatología) por medio de esofagectomía mínimamente invasiva de 2 pasos (laparoscopia abdominal y cirugía toracoscópica asistida por vídeo).
No se insertó tubo nasogástrico de acuerdo con la práctica de rutina del centro. Desde el primer día postoperatorio se comenzó con alimentación líquida; al sexto día postoperatorio una TC de contraste mostró ausencia de fugas y el paciente fue dado de alta.
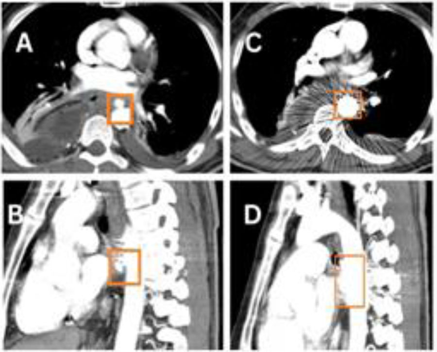
Desafortunadamente, 17 días después de la cirugía, en el día Eid (día festivo nacional), el paciente llegó a la sala de urgencias, habiendo presentado de 6 a 8 episodios de hematemesis. El paciente fue resucitado con productos sanguíneos, ácido tranexámico y vitaminaK. Su hemoglobina cayó de 7.7 a 5.6 en las siguientes 20h. Con una TC se encontró un aneurisma al nivel de T6 en el aspecto anterior de la aorta, con dimensiones de 10×7mm, con conexión fistulosa al sitio anastomótico (figs. 1A-C). No había fuga pleural ni comunicación con la cavidad torácica. La endoscopia reveló un coágulo adherente grande en el sitio anastomótico. Los intentos endoscópicos de cerrar la fístula con endoclips (fig. 1D) no tuvieron éxito. Se realizó la colocación de stent de aorta de urgencia, y una angiografía TC de seguimiento mostró que el stent (2.9cm de largo) cubrió parcialmente la comunicación fistulosa (figs. 2A y B). La recolocación de un stent de 4.6cm cubrió por completo la fístula (figs. 2C y D). El paciente fue extubado y se insertó un tubo nasoyeyunal. Fue dado de alta al décimo día, con antibióticos orales de largo plazo. El estado de rehabilitación del paciente es bueno y está en vigilancia regular.
Vista axial (A) y sagital (B) de la TC inicial, mostrando comunicaciones fistulosas entre la aorta y el conducto gástrico. C) Imagen endoscópica que muestra un hematoma (flecha roja) y algo de sangrado activo en el sitio de la fístula. D) Imagen endoscópica que muestra el intento de colocación de endoclip (clips blancos).
Vista axial (A) y sagital (B) del aortograma con TC posterior a la primera colocación de stent en la aorta, mostrando la cobertura parcial de la comunicación fistulosa. Vista axial (C) y sagital (D) del aortograma con TC posterior a la segunda colocación del stent en la aorta, mostrando la cobertura total de la comunicación fistulosa.
El manejo de la FAE se enfoca en evitar la hemorragia por rotura aórtica y la sepsis debida a la perforación esofágica2. Las fístulas primarias se desarrollan sin intervenciones quirúrgicas o lesiones previas en la aorta, mientras que las fístulas secundarias surgen a continuación de una cirugía de reparación de aorta5. En nuestro caso el paciente presentó una fístula aortoentérica primaria.
La reparación endovascular (EVAR) se utiliza frecuentemente para aneurismas de aorta con FAE. Estudios han reportado que la tasa de mortalidad para métodos de cirugía abierta fue del 33.9%, mientras que para EVAR fue solamente del 7%6,7. En nuestro caso la colocación de stent EVAR se realizó 2 veces.
La FAE es una urgencia quirúrgica y requiere de intervención inmediata, ya que la tasa de mortalidad es casi del 100% sin tratamiento8. La resucitación óptima oportuna y la angiografía con TC son cruciales para confirmar el diagnóstico. La colocación de stent EVAR es un tratamiento seguro y efectivo para esta condición altamente mórbida y mortal.
El presente reporte de caso destaca el manejo oportuno de la FAE utilizando procedimientos mínimamente invasivos. También muestra que se pueden obtener resultados gratificantes con la combinación de recursos limitados y un abordaje multidisciplinario.
FinanciamientoNo se recibió financiamiento con relación al presente artículo.
Consideraciones éticasSe obtuvo el consentimiento informado de los pacientes, al igual que la aprobación de la junta institucional de revisión (JIR) de la institución (SKMCH).
Contribuciones de los autores- •
Concepción y diseño de análisis: Tanees Asim y Zubair Shabbir Khanzada.
- •
Recolección de datos: Tanees Asim y Muhammad Waqas.
- •
Contribuyeron a datos o herramientas de análisis: Tanees Asim, Mahnoor Asim y Zubair Shabbir Khanzada.
- •
Borrador del artículo y revisiones: Tanees Asim y Zubair Shabbir Khanzada.
- •
Dio la aprobación final de la versión a ser enviada: Zubair Shabbir Khanzada.
Los autores declaran que no existe conflicto de intereses.




