Klebsiella pneumoniae (K. pneumoniae) es un bacilo gramnegativo causante de infecciones nosocomiales como neumonías e infecciones intraabdominales y urinarias1. Los abscesos hepáticos en pacientes infectados con K. pneumoniae se describieron por primera vez en Taiwán en 1980. Los abscesos hepáticos por K. pneumoniae generalmente se presentan con complicaciones extrahepáticas como bacteriemia, sepsis, metástasis al CNS, endoftalmitis y fascitis necrosante, comprendiendo un síndrome clínico ya definido como síndrome de absceso hepático invasivo2. La tasa de infección metastásica oscila entre el 3.5 y 20% y la tasa de mortalidad entre 2.8 y 10.8%3. Se han identificado serotipos hipervirulentos como el K1 y K2 siendo hipercapsulares y con gran expresión de sideroforas que empeoran el cuadro clínico. K. pneumoniae hipervirulento presenta un fenotipo mucoide y los genes asociados incluyen un fenotipo regulador mucoide fenotipo A (rmpA), mpA2, gen asociado a mucosidad A (magA) que incrementa la producción capsular4.
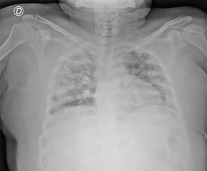
Presentamos el caso de una paciente de sexo femenino de 23 años con antecedente de diabetes mellitus tipo 2 que ingresa a urgencias por presentar dolor abdominal difuso, náuseas, vómito y fiebre de 3 días de evolución. El dolor se intensifica, irradiándose a epigastrio e hipocondrio derecho. Presentaba signos vitales de 131 latidos por minuto, 24 respiraciones por minuto, tensión arterial de 110/60mmHg y 38.6 ̊C de temperatura. A la exploración física presentaba ruidos crepitantes bibasales, abdomen con dolor difuso a la palpación abdominal con datos de irritación peritoneal. Los análisis de laboratorio reportaron una leucocitosis de 19,280cel/mm3 con neutrófilos de 79.8%. La glucosa al ingreso fue de 489mg/dl. El resto de los análisis de laboratorio eran normales. Se solicitó una radiografía de tórax, la cual reportó múltiples infiltrados bilaterales (fig. 1). Se realizó una tomografía computarizada simple de tórax y abdomen, en donde se reportó un grande absceso hepático roto de 6×7.1×3cm, formador de burbujas de gas en el lóbulo hepático derecho, sin presentar rotura diafragmática o datos de continuidad a tórax, además de neumoperitoneo con líquido libre en ambas correderas parietocólicas (fig. 2a). En el tórax se reportaron múltiples nódulos pulmonares cavitados compatibles con embolismos sépticos (fig. 2b). La paciente no había sido atendida previamente, por lo que se comenzó con administración de antibióticos de amplio espectro; sin embargo, el cuadro clínico empeoró de forma rápida, instaurándose un choque séptico que requirió vasopresores. Se llevó a la paciente a quirófano donde se realizó laparotomía de urgencia, encontrándose aproximadamente 1l de material purulento en la cavidad abdominal del cual se tomaron cultivos. Se tomó biopsia hepática para descartar malignidad. Se drenó el absceso identificado en el segmento iv y la paciente pasó en estado crítico a terapia intensiva. La paciente falleció 10h posteriores a su procedimiento quirúrgico. El resultado del cultivo reportó K. pneumoniae y la biopsia hepática reportó material fibrinopurulento.
En las últimas décadas, K. pneumoniae ha ganado reconocimiento por la asociación con un síndrome invasivo complejo, identificado como síndrome de absceso hepático invasivo, el cual está emergiendo como una enfermedad globalmente prevalente, además de verse aumentada la frecuencia de K. pneumoniae en abscesos hepáticos piogénicos en las últimas 3 décadas en Taiwán2. Se presenta en pacientes con inmunocompromiso siendo la diabetes mellitus el factor con mayor predisposición5. En pacientes con diabetes mellitus con estricto control glucémico se ha observado una disminución de la presentación metastásica6. Cuando se presenta de esta forma, está asociado con un cuadro clínico severo con alta mortalidad. Chang et al.3 reportaron que el absceso hepático unilocular es más virulento que el multilocular, y los pacientes jóvenes y con un sistema inmunológico más fuerte presentan un cuadro clínico más agresivo, esto debido a su hallazgo de mayor puntuación de APACHE II, choque séptico, infección metastásica, falla respiratoria aguda y formación de gas en el absceso reportado por imagen7.
Una de las complicaciones poco estudiadas son el embolismo séptico pulmonar descrito por Chou et al.7 quienes reportaron una tasa del 4.5% y un total de 14 casos, de los cuales el 83% presentaron diabetes mellitus y donde los síntomas prevalentes fueron fiebre y disnea. Solo un paciente en su serie presentó dolor abdominal en la admisión. De igual manera, los mismos autores consideraron que cuando un paciente diabético se presenta con fiebre, disnea y una radiografía de tórax con anormalidades que revelen múltiples opacidades y patrones infiltrativos, se debe de solicitar un ultrasonido de abdomen para descartar absceso hepático.
Es importante recordar que los abscesos hepáticos piogénicos suman el 75% de los abscesos hepáticos en países industrializados, pero solo el 66% de los patógenos bacterianos son identificados. En Estados Unidos sugieren que el incremento de la frecuencia de casos de abscesos hepáticos por K. pneumoniae se debe a un incremento en su población asiática y por el serotipo hipervirulento no antes reportado8. En nuestro conocimiento este es el primer caso reportado en América Latina de un paciente con síndrome de absceso hepático invasivo. Es importante sospechar este síndrome cuando se presente un paciente inmunocomprometido, con infiltrados en la radiografía de tórax y con imagen sugestiva de absceso hepático, para poder tratar al paciente a tiempo para evitar la alta mortalidad que este síndrome conlleva.
Responsabilidades éticasLos autores declaran que para esta investigación no se han realizado experimentos en seres humanos o animales. Que han seguido sus protocolos de sus centros de trabajo sobre la publicación de datos de pacientes, preservado en todo momento su anonimato, sin la necesidad de conseguir el consentimiento informado del paciente referido en el artículo.
FinanciaciónEste estudio no recibió ningún apoyo específico por parte de agencias de fondos, en el sector público, comercial o sin fines de lucro.
Conflicto de interesesLos autores declaran no tener conflicto de intereses en la redacción de este manuscrito.




