La tuberculosis intestinal supone el 2% de los casos de tuberculosis a nivel mundial. Puede presentarse de forma totalmente asintomática o con escasos síntomas1 y simular otras enfermedades abdominales2,3, por lo que su diagnóstico es un reto, con tasas de errores diagnósticos de hasta un 50-70%, incluso en países donde la tuberculosis es endémica.
Presentamos el caso de un varón de 67 años, sin antecedentes de interés ni contacto previo con enfermos de tuberculosis que, estando incluido en el programa de cribado poblacional de cáncer colorrectal, realizó un test de sangre oculta en heces que resultó positivo. El único síntoma referido eran episodios de dolor cólico abdominal ocasionales.
Siguiendo el protocolo, se realizó colonoscopia diagnóstica, en la que se observó en el ángulo hepático una estenosis ulcerada que no permitía el paso del endoscopio (fig. 1) sugestiva de neoformación, con toma de biopsias y tatuaje en sentido distal. En el resto de la exploración solo se objetivaron divertículos no complicados.
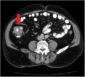
Ante estos hallazgos, se realizó estudio de extensión con TC toracoabdominal, en el que se describió en el colon ascendente, hacia el ángulo hepático, un engrosamiento asimétrico en un segmento aproximado de 8cm, con probable afectación de la válvula ileocecal, compatible con neoplasia primaria sin adenopatías, enfermedad a distancia ni signos de obstrucción intestinal (fig. 2).
En el análisis anatomopatológico de la biopsia endoscópica se describió una inflamación granulomatosa necrosante sin evidencia de malignidad. A pesar de ello, con imágenes endoscópica y radiológica sospechosas de neoplasia primaria, el paciente fue operado de una hemicolectomía derecha laparoscópica con anastomosis extracorpórea, con buena evolución.
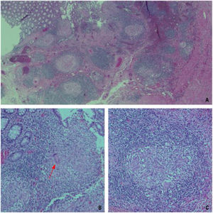
En el resultado del estudio realizado por el patólogo de la pieza quirúrgica se describía nuevamente inflamación granulomatosa necrosante (fig. 3) sin evidencia de malignidad. Se planteó así el diagnóstico diferencial entre enfermedad de Crohn con patrón estenosante y tuberculosis intestinal. Se solicitó PCR de Mycobacterium tuberculosis en la pieza quirúrgica, que resultó positiva, lo que confirmó que los hallazgos endoscópicos y radiológicos estaban en relación con una tuberculosis intestinal: se inició tratamiento antituberculoso.
Imágenes microscópicas de varios cortes de la pieza quirúrgica. A) Imagen 2.5x en la que se objetiva la mucosa ulcerada y la presencia de granulomas en lámina propia de la mucosa. B) Imagen 10x en la que se señala (flecha roja) la presencia de una célula gigante o de Langhans con sus característicos múltiples núcleos dispuestos en la periferia. C) Imagen 20x de un granuloma tuberculoso en el que se diferencia el collarete linfocitario que rodea a las células epitelioides.
La tuberculosis intestinal es una forma de presentación de la afectación abdominal por Mycobacterium tuberculosis, con una prevalencia muy inferior al modo más habitual de manifestación de la infección, el pulmonar, pero que puede asociar una elevada morbimortalidad por su difícil diagnóstico. Puede presentarse de forma asintomática4, como el caso que presentamos, o con escasos síntomas, como dolor abdominal, pérdida de peso o fiebre5-8: en estos, casos, resulta indiferenciable de otras enfermedades abdominales, como la enfermedad inflamatoria intestinal o los cuadros de etiología maligna. Actualmente la combinación de la clínica, la endoscopia, los estudios radiológicos y los hallazgos patológicos son la clave para su diagnóstico3,5.
Afecta de forma predominante a la región ileocecal (64%)5,9,10. Se describe afectación aislada del colon en aproximadamente el 10.8% de los casos, con mayor incidencia en pacientes inmunocomprometidos. El área más habitualmente afectada es el ciego8,9 por su contigüidad con la región ileocecal.
Durante la colonoscopia, el hallazgo más frecuente es el de una mucosa irregular, nodular, eritematosa y edematosa con áreas de ulceración5,7,9, hallazgos que contrastan con los típicamente observados en la enfermedad de Crohn, en los que la mucosa que rodea a las úlceras suele presentar un aspecto normal.
Desde el punto de vista radiológico, en la TC abdominal, los hallazgos de tuberculosis intestinal incluyen el engrosamiento mural de un tramo del intestino, adenopatías abdominales con necrosis central, colecciones intraabdominales o inflamación peritoneal. Los más frecuentes, en el caso de afectación colorrectal, son las estenosis, los signos de colitis o las lesiones polipoides. Ante estos hallazgos, entidades como la colitis amebiana, isquémica o pseudomembranosa, así como la enfermedad maligna, constituyen el diagnóstico diferencial de la afectación tuberculosa colorrectal. Por ello, el diagnóstico debe basarse en una alta sospecha y debe demostrarse con la presencia de granulomas caseificantes en las biopsias intestinales tomadas en los estudios endoscópicos8,9, punto diferencial en el diagnóstico con la enfermedad de Crohn, junto con un frotis o cultivo positivo para bacilos acidorresistentes7,8. Sin embargo, la respuesta clínica y endoscópica al tratamiento antituberculoso es todavía necesaria en algunos casos para establecer el diagnóstico5,7.
Como se menciona previamente, el tratamiento de elección es la terapia antituberculosa durante al menos 6 meses, incluyendo en el régimen terapéutico 2meses iniciales de isoniacida, rifampicina, pirazinamida seguidos de 4 meses con isoniacida y rifampicina. La respuesta al tratamiento médico suele ser buena; la cirugía se reserva para casos sin respuesta o con complicaciones asociadas. Si bien, incluso en casos de estenosis, el manejo médico resultará en una significativa resolución de los síntomas en la mayoría de los pacientes6-9. Por este motivo, ya que la mayoría de los pacientes presentan resolución de las lesiones colónicas con el tratamiento médico, no se requiere colonoscopia de seguimiento si están asintomáticos tras él.
Por lo tanto, la tuberculosis intestinal es una enfermedad de difícil diagnóstico, con una presentación clínica inespecífica y que puede llevar a equívoco con otras entidades, como las neoplasias o la enfermedad de Crohn. La combinación de los estudios endoscópicos y la histología son fundamentales para alcanzar el diagnóstico correcto e iniciar un tratamiento farmacológico precoz que evite posibles complicaciones y suponga la curación en la mayoría de los casos.
FinanciaciónNo existió financiamiento con relación a este artículo.
Conflicto de interesesLos autores declaran no tener ningún conflicto de intereses.
Consideraciones éticasNo se realizaron experimentos en humanos para este estudio. Los autores confirmamos que hemos seguido los protocolos de nuestro centro de trabajo con relación a la publicación de los datos del paciente y que no fue necesaria la autorización del comité de ética de la institución, ya que se mantuvo en todo momento la confidencialidad y anonimato del paciente. Los autores declaran que este artículo no contiene información personal que pueda identificar al paciente. El consentimiento informado fue solicitado al paciente para la intervención quirúrgica e incluye un apartado donde se informa de la posibilidad de utilización de imágenes o datos clínicos con fines científicos.





