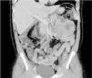
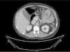
Varón de 49 años con extirpación de melanoma nodular estadio IIA en el brazo izquierdo hace 2 años. Acude por dolor abdominal epigástrico de 2 semanas de evolución, fiebre nocturna y síndrome constitucional. Analíticamente destaca anemia microcítica: hemoglobina 8.9g/dl, volumen corpuscular medio 73.7fl; elevación de proteína C reactiva: 220mg/l. La tomografía computarizada (TC) abdominal describe dilatación aneurismática intestinal junto a múltiples adenopatías regionales mesentéricas (figs. 1 y 2). Ante los hallazgos se realiza enteroscopia con doble balón donde se aprecia masa ulcerada, friable y dura a la toma de biopsias en primera porción yeyunal (fig. 3). En el diagnóstico diferencial también incluimos el linfoma primario intestinal, el tumor estromal gastrointestinal (GIST), el leiomiosarcoma y el adenocarcinoma. El estudio histopatológico concluye como metástasis intestinal de melanoma (figs. 4 y 5). Se realiza resección intestinal del segmento afecto y posterior inmunoterapia con nivolumab. La mayoría de los melanomas intestinales son metástasis de un melanoma cutáneo primario, con mejor pronóstico. En este caso, los antecedentes, los hallazgos endoscópicos y el análisis histopatológico aclararon el diagnóstico definitivo.
Los autores declaran que para esta investigación no se han realizado experimentos en seres humanos ni en animales, y han seguido los protocolos de su centro de trabajo sobre la publicación de datos de pacientes. Declaran que en este artículo se ha preservado en todo momento el anonimato del paciente, y el consentimiento informado no se solicitó para la publicación de este caso, porque en el presente artículo no se publican datos personales que permita identificar al paciente.
FinanciaciónLa presente investigación no ha recibido ayudas específicas provenientes de agencias del sector público, sector comercial o entidades sin ánimo de lucro.
Conflicto de interesesLos autores declaran que no existen conflictos de intereses.







