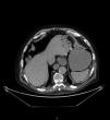
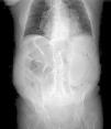
Varón de 82años con distensión y dolor abdominal generalizado, acompañado de vómitos oscuros de aspecto retencionista y deposiciones diarreicas. En radiografía simple de abdomen (fig. 1) existe aire en pared gástrica y dilatación de asas intestinales, por lo que se solicita TC abdominal (fig. 2) donde se observa gas intramural asociado a dilatación gástrica, neumoperitoneo (fig. 3) y gas en vena porta (fig. 4). Se realiza laparotomía exploradora y se observa un estómago distendido con burbujas de gas en su serosa, sin signos de necrosis transmural ni perforación. La gastroscopia intraoperatoria muestra una mucosa necrótica-ulcerada sin sangrado espontáneo en cara posterior, cuerpo y curvatura mayor. Dados estos hallazgos se opta por no realizar ningún acto quirúrgico más. Se aísla Lactobacillus jensenii en hemocultivos y se trata con meropenem+linezolid. El paciente evoluciona favorablemente con mejoría en TC abdominal de control, recibiendo el alta hospitalaria. La gastritis enfisematosa es una patología rara producida por la translocación de microorganismos productores de gas dentro de las paredes gástricas. Hasta en un 42.4%1 de los casos no es posible aislar el causante y conlleva una mortalidad de hasta el 60%2. El TC es la prueba diagnóstica de elección, siendo fundamental el diagnóstico precoz y un tratamiento de soporte vital con antibioterapia de amplio espectro. Se reserva la cirugía cuando existe falta de respuesta al tratamiento conservador, sepsis severa o perforación gástrica3.
Los autores declaran que para esta investigación no se han realizado experimentos en seres humanos ni en animales, y se han seguido los protocolos de su centro de trabajo sobre la publicación de datos de pacientes y que se ha preservado en todo momento su anonimato haciendo valer que el artículo presentado no contiene información personal que permita identificar a los pacientes. Los autores han obtenido el consentimiento informado del paciente referido en el artículo. Este documento obra en poder del autor de correspondencia. Asimismo, la investigación cumple con la normativa vigente en investigación bioética, se ha actuado atendiendo a los protocolos y de acuerdo con el paciente y su familia.
FinanciaciónEl presente manuscrito no ha sido sometido a financiación por parte de ninguna entidad.
Conflicto de interesesLos autores declaran no encontrarse bajo ningún conflicto de intereses.






