Journal Information
Clinical image in Gastroenterology
Full text access
Available online 27 October 2025
Bouveret’s syndrome: A rare cause of gastric outlet obstruction by an impacted gallstone via a cholecystoduodenal fistula
Síndrome de Bouveret: una causa rara de obstrucción de salida gástrica por cálculo biliar impactado a través de una fístula colecistoduodenal
Visits
22
M. Nagahamaa, T. Chibanaa, A. Hokamab,
a Departamento de Cirugía, Hospital de la Ciudad de Naha, Naha, Okinawa, Japan
b Departamento de Control Médico, Hospital de la Ciudad de Naha, Naha, Okinawa, Japan
This item has received
Article information
Full Text
Download PDF
Statistics
Figures (2)
Full Text

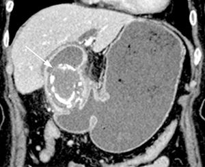
A 78-year-old woman presented with 2 days of postprandial vomiting. Physical examination revealed normal vital signs and a non-tender abdomen. Computed tomography scans identified a 3 cm calcified mass embedded in the first portion of the duodenum, causing gastric outlet obstruction (Fig. 1). Upper endoscopy confirmed a large stone impacted in the duodenum (Fig. 2). Based on the diagnosis of Bouveret’s syndrome, the patient underwent open enterolithotomy, cholecystectomy, and cholecystoduodenal fistula repair. The postoperative course was uneventful. Bouveret’s syndrome, first described in 1896 by the French physician Leon Bouveret, is characterized by the presence of a large stone obliterating the duodenal lumen or pylorus due to the formation of a bilioenteric fistula. Attachment of the inflamed gallbladder to the gastrointestinal tract, followed by an ischemic rupture and mechanical stress from gallstones, may cause the fistula. Although endoscopic electrohydraulic lithotripsy has been used worldwide, most cases require surgical intervention. The present case highlights the importance of early recognition of Bouveret’s syndrome to improve outcomes and reduce the associated high mortality.

Figure 1.

A coronal CT scan shows the impacted stone (arrow) in the first portion of the duodenum and the marked gastric distension.

Figure 2.

Endoscopic appearance of the impacted gallstone in the first portion of the duodenum, resulting in complete gastric outlet obstruction.

Ethical considerations

The authors declare that no experiments were performed on humans or animals in this study. The authors have treated all patient data with confidentiality and anonymity. Informed consent was obtained from the patient.

Financial disclosure

No financial support was received in relation to this article.

Declaration of competing interest

The authors declare that there is no conflict of interest.

Copyright © 2025. Asociación Mexicana de Gastroenterología
Download PDF
Idiomas
Revista de Gastroenterología de México
Article options
Tools