¿ Presentación del caso
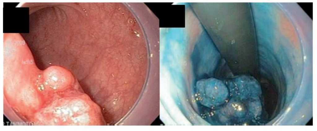
Hombre de 74 años, a quien se realizó colonoscopia por la presencia de sangre oculta en heces. Durante el procedimiento se observó una lesión en colon sigmoides, a 30 cm del margen anal, seudopediculada de base ancha y de aproximadamente 4 cm (Figura 1). Las biopsias informaron adenoma túbulovelloso con displasia de alto grado. Se le propuso cirugía para resección de dicha lesión pero el paciente rehusó este procedimiento y decidió buscar otras alternativas terapéuticas. Después de explicarle los riesgos-beneficios de la disección endoscópica aceptó el procedimiento. Se le solicitaron exámenes de laboratorio, estudios de extensión y valoración preoperatoria con resultados normales-negativos. Se le realizó disección endoscópica de la submucosa con la navaja flexible (Flex-knife), en 60 minutos y sin complicaciones (Figura 2). La pieza obtenida midió cuatro por tres centímetros (Figura 3). Después de 24 horas de hospitalización posprocedimiento, fue dado de alta sin complicaciones.
Figura 1. Lesión en colon sigmoides.
¿ Figura 2. Disección endoscópica de la submucosa con la navaja flexible.
¿ Figura 3. Resección del adenoma túbulovelloso.
Agradecimientos
A Olympus Japan/America y Olymex por la donación de las navajas para DESM y unidad electro-quirúrgica ESG100 al centro de entrenamiento de la WGO en el INCMNSZ; a la Fundación Clínica Médica Sur por todas las facilidades para el uso de estos dispositivos para la DESM; a JICA por el entrenamiento en Japón 1999-2001.
Correspondencia. Dr. Miguel Ángel Tanimoto.
Saturno No. 52 Col. Hacienda de San Juan CP 14370, Delegación Tlalpan.
Correo electrónico: matanimoto@hotmail.com
Recibido el 16 de junio de 2010;
aceptado el 10 de agosto de 2010.





