¿ Presentación de caso
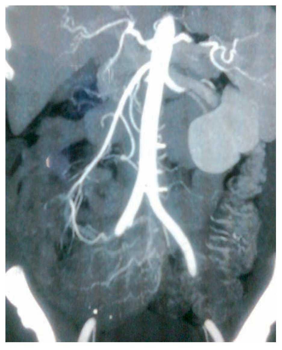
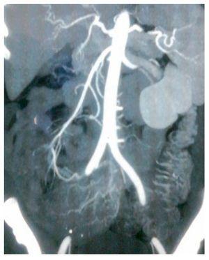
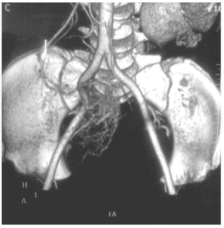
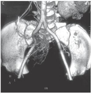
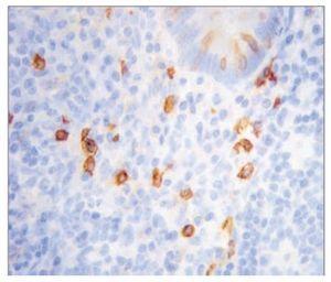
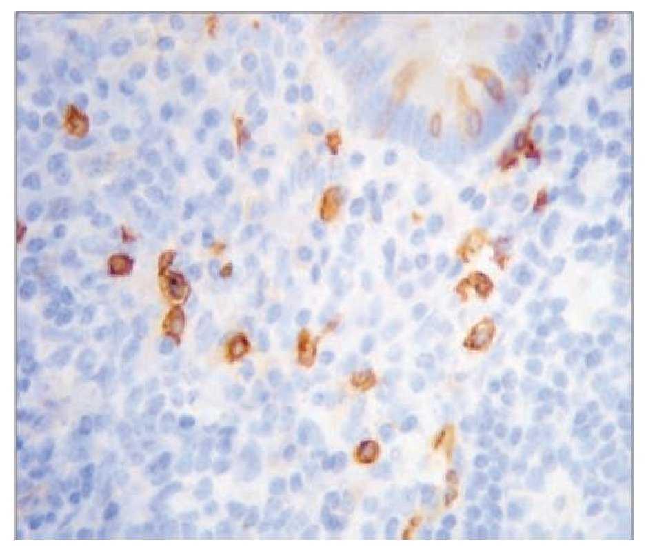
Mujer de 47 años, diabética e hipertensa de larga evolución, con antecedente de nefrectomía derecha por donación cinco años antes. Su padecimiento se inició a fines de 2008 con presencia de evacuaciones hematoquézicas y melena, por lo que requirió múltiples transfusiones. La endoscopia alta y colonoscopia no detectaron el sitio de hemorragia. En agosto de 2009 presentó choque hipovolémico secunadario a hematoquezia (hemoglobina de 3.5 g/dL) que requirió de transfusión de siete paquetes globulares. Se realizaron nuevamente endoscopia alta y colonoscopia que no detectaron en sitio de hemorragia. El gammagrama con eritrocitos marcados mostró concentración anormal del radioisótopo en la flexura hepática. Una enteroscopia no mostró sangrado evidente. Se practicó una angiografía selectiva de arteria mesentérica superior (AMS) en fase arterial (Figura 1), que mostró vasos de neoformación tortuosos e irregulares a nivel de íleon, sin retorno venoso temprano. La angio-tomografía computarizada (angioTC) con reconstrucción coronal y proyección de máxima intensidad (Figura 2), detectó una imagen hipodensa, con vasos tortuosos de neoformación que nacían de la AMS. La angioTC en 3D (Figura 3) reveló múltiples vasos de neoformación dependientes de la AMS localizados en íleon que demuestran una tumoración con gran vascularidad. Se realizó laparotomía exploradora encontrando un tumor a 90 cm de la válvula ileocecal (Figura 4). El análisis histopatológico determinó tumor estromal de alto grado con bordes quirúrgicos libres de lesión, con inmunohistoquímica para CD117 (Figura 5) y S100 positivos.
¿ Figura 1. Angiografía selectiva de arteria mesentérica superior en fase arterial. Se aprecian vasos de neoformación tortuosos e irregulares a nivel de íleon, sin retorno venoso temprano.
¿ Figura 2. AngioTC, con reconstrucción coronal y proyección de máxima intensidad. Se aprecia una imagen hipodensa, con vasos tortuosos de neoformación con origen en la AMS.
¿ Figura 3. AngioTC 3D. Se evidencian vasos de neoformación dependientes de la AMS.
¿ Figura 4. Pieza quirúrgica.
¿ Figura 5. Análisis histopatológico que determinó tumor estromal de alto grado con bordes quirúrgicos libres de lesión, con inmunohistoquímica para CD117.
La angiografía es un estudio rápido, que permite identificar la localización y el tamaño de la lesión, así como orientar acerca de su posible naturaleza maligna. Es especialmente útil en pacientes que refieren melena y tienen una endoscopia alta negativa. Sin embargo, es un estudio que no se recomienda de rutina por ser invasivo, tener una técnica complicada y usar medio de contraste que puede producir alérgia o nefrotoxicidad.
Correspondencia: Dra. Xochiquetzal Sánchez Chávez.
Avenida Félix Cuevas, Col. del Valle 540. Delegación Benito Juárez, México, D. F. CP. 03229.
Teléfono: (55) 500 3100. Extensión 14291.
Correo electrónico: quetzi80@yahoo.com
Recibido el 21 de julio de 2010;
aceptado el 10 de agosto de 2010.







