¿ Presentación del caso
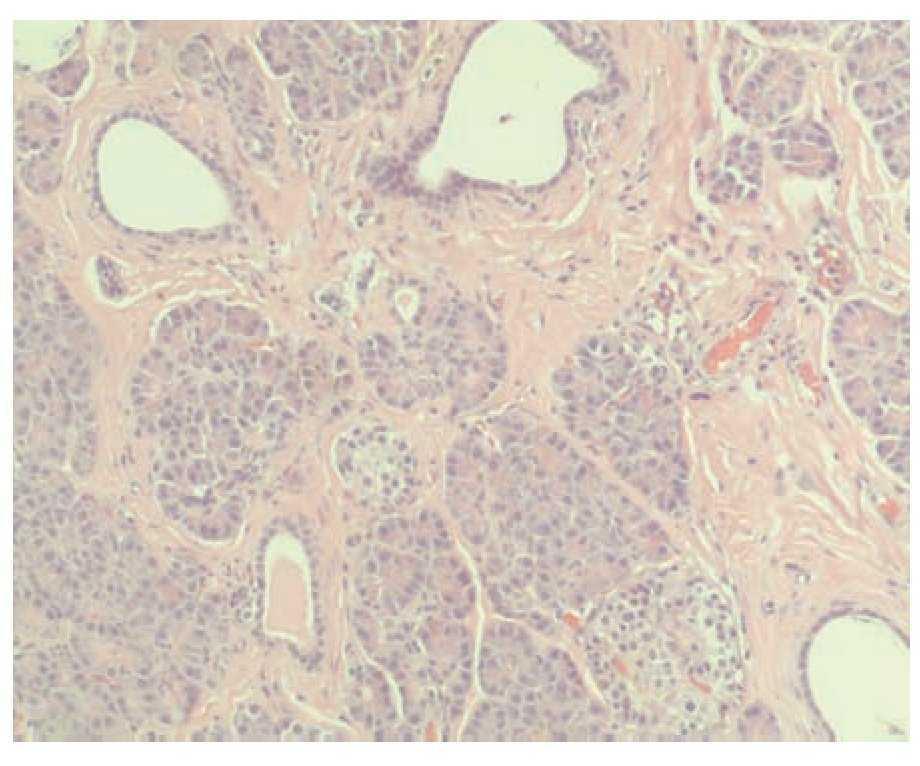
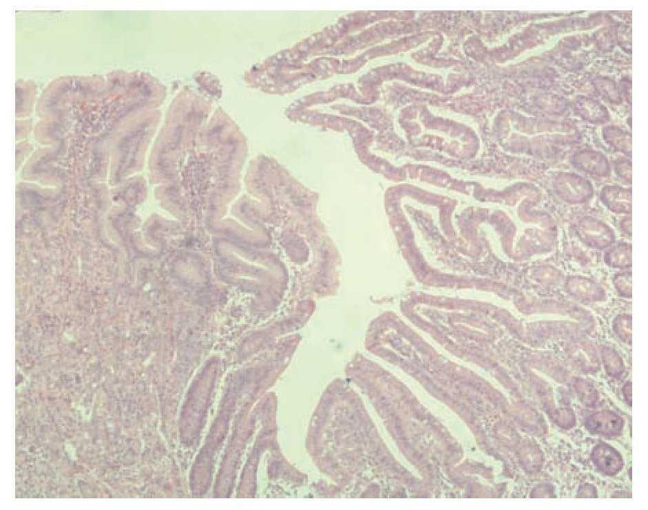
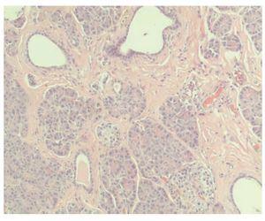
Hombre de 47 años de edad, sin antecedentes familiares o personales relevantes, con padecimiento de un día de evolución con dolor abdominal generalizado, vómito de contenido gastrobiliar y constipación. A la exploración física se encontró con FC 110 x', temperatura 38.5 °C, distensión abdominal importante, disminución de la peristalsis y signo de rebote presente. En los exámenes de laboratorio se encontró leucocitos de 10 700 / mm3, neutrofilia de 82% y bandemia de 7%. El paciente presentó deterioro clínico, con mayor distensión y dolor abdominal por lo que se decidió operarlo con diagnóstico probable de obstrucción intestinal. Se realizó laparotomía exploradora, encontrando torsión de un divertículo de Meckel ubicado a 60 cm de la válvula ileocecal, de 11 cm de longitud y 5.5 cm de diámetro, con pared de 0.3 centímetros de grosor (Figuras 1 y 2). Se encontraron datos de sufrimiento intestinal por lo que se realizó resección y anastomosis termino-terminal. En el examen microscópico, se observó un divertículo verdadero cubierto por mucosa normal del íleon, alternando con zonas de mucosa gástrica heterotópica (Figura 3). Las glándulas gástricas se encontraban rodeadas por linfocitos. En el fondo del divertículo se observó tejido pancreático heterotópico, compuesto por ductos, acinos e islotes de Langerhans de características histológicas normales (Figura 4). El paciente presentó evolución clínica satisfactoria en el postoperatorio y egresó sin complicaciones.
¿ Figura 1. Divertículo de Meckel ubicado a 60 cm de la válvula ileocecal, con datos de sufrimiento intestinal.
¿ Figura 2. Resección intestinal para anastomosis término-terminal.
¿ Figura 3. Divertículo verdadero, cubierto por mucosa normal del íleon, alternando con zonas de mucosa gástrica heterotópica.
¿ Figura 4. En el fondo del divertículo, se observó tejido pancreático heterotópico, compuesto por ductos, acinos e islotes de Langerhans de características histológicas normales.
El divertículo de Meckel es una de las anomalías congénitas más frecuentes del tubo digestivo que se localiza en el borde antimesentérico del íleon, a una distancia que oscila entre los 40 y 90 cm de la válvula ileocecal. El tamaño promedio es de tres centímetros de longitud y dos centímetros de diámetro; 90% de ellos, tiene entre uno a 10 cm, aunque se ha informado sobre uno de hasta 100 cm. Su incidencia es de 2% a 4%, se presenta con mayor frecuencia en niños menores de tres años, con una relación en el género masculino:femenino de 2:1. La mayoría son asintomáticos y de 4% a 40% se complican. Las manifestaciones clínicas más frecuentes son sangrado gastrointestinal, obstrucción intestinal (más frecuente en adultos), intususcepción, neoplasias, ulceración e inflamación aguda con o sin perforación.
Correspondencia. Dr. Mario Aurelio Martínez Jiménez.
Venustiano Carranza 2395, Col Universitaria, 78290 San Luis Potosí, San Luis Potosí, México.
Teléfono: (444) 834 2773, extensión 510. Fax: (444) 813 5620.
Correo electrónico: dr.mamj@hotmail.com
Recibido el 16 de marzo de 2010;
aceptado el 22 de julio de 2010.






