¿ Antecedentes
El síndrome del intestino irritable (SII), es un trastorno funcional digestivo caracterizado por malestar abdominal y alteraciones en los hábitos de la defecación en ausencia de enfermedad orgánica.1
Dos estudios realizados en población abierta en México, han demostrado que la prevalencia del SII es de 16% y la diarrea es la manifestación clínica de 15% a 30% de estos enfermos.2,3 El diagnóstico del SII se basa en la presencia de síntomas característicos y la aplicación de criterios clínicos como los de Roma III.4 Aunque éstos son frecuentemente aplicados para identificar a los pacientes con SII en estudios de investigación, su utilidad en la práctica clínica diaria es incierta y se acepta que su sensibilidad y especificidad es de 70% y 87%, respectivamente.5
La colitis microscópica (CM) es una causa reconocida de diarrea crónica que se caracteriza por preservar el aspecto macroscópico normal de la mucosa intestinal.6 La CM comprende dos subtipos: la colitis linfocítica (CL), caracterizada por la infiltración de linfocitos intraepiteliales, y la colitis colagenosa (CC), caracterizada por la presencia de una banda de colágena subepitelial.7 La prevalencia de CM en pacientes con diarrea crónica se ha informado de 2% a 16%8-12 y al menos un estudio en México, la determinó en 11%.13
Así, el SII con predominio de diarrea (SII-D) y la CM, tienen una forma de presentación clínica y endoscópica similar, con afectación grave a la calidad de vida de quienes las padecen. A pesar de esto, existen pocos estudios que hayan explorado la sobreposición de ambas enfermedades, lo que es particularmente importante debido a que el tratamiento y el pronóstico son diferentes para cada trastorno.
¿ Objetivos
a. Conocer la prevalencia de colitis microscópica en pacientes con criterios de Roma III para SIII-D
b. Comparar dicha prevalencia con la de aquellos sujetos con criterios de Roma III para SII con predominio de estreñimiento (SII-E).
¿ Métodos
Todos los pacientes con sospecha clínica de SII atendidos en forma consecutiva en la consulta de gastroenterología de uno de los investigadores (RCS) en el Hospital Ángeles-CMP de la ciudad de San Luis Potosí, fueron considerados para participar en el estudio que se llevó a cabo en entre enero de 2008 a agosto de 2010.
Se incluyeron todos los pacientes mayores de 18 años de edad, con criterios diagnósticos de Roma III para SII, con predominio de diarrea o estreñimiento4 y que aceptaran la realización de colonoscopia con toma de biopsias.
Se excluyó a los sujetos con sospecha de enfermedad orgánica o datos de alarma, como pérdida de peso involuntaria significativa (>10% de su peso basal en los seis meses previos), anemia, datos clínicos de hemorragia del aparato digestivo o malaabsorción y antecedente de cirugía rectal o colónica de cualquier tipo. También se excluyeron todos los enfermos con SII-mixto o SII-no clasificable (Roma III) y aquellos que tuvieran contraindicaciones para la colonoscopia o toma de biopsias.
A todos los pacientes se les elaboró historia clínica completa, que incluyó los datos demográficos, antecedentes médicos y consumo de fármacos. Además se les pidió que contestaran un cuestionario (auto-administrado) para conocer el uso de recursos de salud durante el año previo a la entrevista. También se les solicitó que contestaran el cuestionario modular de Roma III para conocer la presencia de criterios diagnósticos de Roma III para síndrome de intestino irritable (SII), estreñimiento funcional (EF) y distensión funcional (DF) previamente traducido y validado.14-16 A todos se les practicaron biometría hemática completa (BHC), velocidad de sedimentación globular, sangre oculta en heces, análisis coproparasitoscópico en serie de tres muestras y determinación de hormona estimulante de la tiroides. Se realizó colonoscopia con intubación del ciego por un mismo operador (RCS) y se tomaron biopsias para análisis histopatológico (dos de colon transverso y dos de sigmoides) en todos los casos, aún en presencia de mucosa de aspecto normal. Siempre que fue posible, se tomaron dos biopsias de colon ascendente, trasverso, descendente y recto-sigmoides, así como biopsias complementarias de todas las lesiones y zonas del colon que mostraron anormalidades durante el examen. Se consideró normal la presencia de mucosa de superficie lisa y regular, color rosado, con patrón vascular fino, ramificado y visible, con conservación de pliegues en todos los segmentos.17
Se eliminó a todos los sujetos con cualquier alteración de los exámenes de laboratorio, a quienes no se les pudo observar ciego y a los que su limpieza intestinal fue inadecuada.
Todas las biopsias fueron analizadas por dos patólogos en forma independiente, que desconocían el cuadro clínico del paciente y utilizaron las siguientes definiciones operativas para el análisis histopatológico de las muestras,18-21 emitiendo un diagnóstico de común acuerdo:
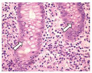
a. Colitis linfocítica: Aumento en los linfocitos intra-epiteliales (≥ 20 linfocitos por cada 100 células epiteliales), con infiltrado inflamatorio mononuclear o mixto incrementado en la lámina propia sin destrucción de las criptas, sin incremento en engrosamiento de colágena subepitelial (Figura 1).
¿ Figura 1. Biopsia del colon que muestra los datos histopatológicos que definen a la colitis linfocítica: ≥ 20 linfocitos intraepiteliales (flechas) por cada 100 células epiteliales, con infiltrado inflamatorio mononuclear o mixto incrementado en la lámina propia, sin destrucción de las criptas, sin incremento en engrosamiento de colágena subepitelial.
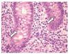
b. Colitis colagenosa: Los hallazgos de la colitis linfocítica más un engrosamiento en la banda de colágena subepitelial mayor de 10 μm en parches y con elongación de la misma con atrapamiento de capilares. La morfología de criptas debe ser normal (Figura 2).
¿ Figura 2. Biopsia del colon que muestra los datos histopatológicos que definen a la colitis colagenosa: los hallazgos de la colitis linfocítica más un engrosamiento en la banda de colágena subepitelial mayor de 10 μm (flechas) en parches y con elongación de la misma con atrapamiento de capilares. La morfología de criptas debe ser normal.
La presencia de otras colitis fue definida por el patólogo de acuerdo con criterios ya establecidos y aceptados. De acuerdo con las recomendaciones actuales, la infiltración de células inflamatorias en bajo grado, sin patrón específico ni daño estructural, fue considerada como mucosa normal.22 La presencia de otras colitis fue definida por el patólogo de acuerdo con los criterios aceptados previamente establecidos.
Análisis estadístico: Los datos fueron capturados y analizados mediante el programa Statview (BrainPower Inc. Calabazas, CA). Los datos descriptivos son expresados mediante porcentajes, promedios y rangos. Para el análisis estadístico se utilizaron las pruebas de Ji cuadrada, exacta de Fisher y t de Student. También se calculó el riesgo relativo (RR) con intervalos de confianza de 95% (IC) utilizando el programa EBM Calculator versión 1.1 para PalmOS. Todo valor de p >0.05, se consideró como no significativo (p = NS).
¿ Resultados
Se incluyeron en el análisis final a 300 pacientes: 155 con SII-D y 145 con SII-E (52 vs. 48% respectivamente). Ambos grupos fueron similares con respecto a la frecuencia de enfermedades crónicas concomitantes (38% SII-D vs. 36% SII-E; p = NS), los antecedentes de cirugías abdominales (40% SII-D vs. 43% SII-E; p = NS), el uso de benzodiacepinas o antidepresivos (30% SII-D vs. 34% SII-E; p = NS), el índice de masa corporal promedio (26.4 SII-D vs. 26.8 SII-E; p = NS) y el tiempo promedio de evolución de la enfermedad (55.3 meses SII-D vs. 57.1 meses SII-E; p = NS). La proporción de mujeres fue mayor en el grupo con SII-E (74% vs. 81%; p = NS) al igual que el promedio de edad (55.5 años vs. 58.2 años; p = NS) sin alcanzar diferencia significativa entre ambos grupos. Los detalles se muestran en la (Tabla 1).
La colonoscopia mostró hallazgos similares en ambos grupos. No se encontraron anormalidades mediante este estudio en 82 pacientes con SII-D y en 80 con SII-E (53% vs. 55%, respectivamente), se observó eritema en algunos segmentos intestinales en 23 pacientes con SII-D y en 16 con SII-E (15% vs. 11%, respectivamente), divertículos en 46 pacientes con SII-D y en 47 con SII-E (30% vs. 32%, respectivamente) y otros hallazgos en cuatro pacientes con SII-D y en dos con SII-E (3% vs. 1%, respectivamente). Los detalles se muestran en la (Tabla 2). Durante la colonoscopia se tomaron biopsias de sigmoides y transverso en todos los enfermos de ambos grupos, aún en presencia de mucosa normal. Fue posible realizar un muestreo más amplio tomando dos biopsias de colon ascendente, trasverso, descendente y recto-sigmoides en 71 pacientes con SII-D y 64 con SII-E (46% vs. 42% respectivamente, p = NS).
La colitis microscópica se detectó en 28 pacientes con SII-D y en un paciente con SII-E (18.0% vs. 0.7% respectivamente, p < 0.0001, RM 31.74, IC 95% 4.25-236.68). Entre los pacientes con SIID, se encontraron 14 casos de colitis linfocítica y 14 de colitis colagenosa (Figuras 1 y 2). El único caso de CM detectado entre los pacientes con SII-E, correspondió a CL. Entre los 29 pacientes con CM, la colonoscopia mostró mucosa de aspecto normal en 20 casos (69%), diverticulosis en cinco (17%) y eritema segmentario en cuatro (14%).
Otras colitis fueron detectadas en ambos grupos: colitis isquémica en cuatro enfermos con SIID y ocho con SII-E (2.6% vs. 5.5%, respectivamente, p = NS), colitis eosinofílica en un paciente con SII-D (0.64%) y colitis amebiana en un paciente con SII-D (0.64%).
Al analizar sólo a los pacientes con diarrea y comparar las características clínicas, no se encontraron características que permitieran diferenciar a aquellos con SII-D de quienes tuvieron CM. Ambos grupos fueron similares con respecto al promedio de edad (55.3 años SII-D vs. 56.4 años CM; p = NS), a la proporción de mujeres (72% SII-D vs. 79% CM; p = NS), la frecuencia de enfermedades crónicas concomitantes (37% SII-D vs. 43% CM; p = NS), los antecedentes de cirugías abdominales (48% SII-D vs. 43% CM; p = NS), el uso de benzodiacepinas o antidepresivos (29% SII-D vs. 32% CM; p = NS), el índice de masa corporal promedio (26.7 SII-D vs. 27.7 CM; p = NS) y el tiempo promedio de evolución de la enfermedad también (53.2 meses SII-D vs. 58.6 meses CM; p = NS).
¿ Discusión
Nuestro estudio demuestra que la prevalencia de colitis microscópica (CM) en pacientes con criterios clínicos de SII con predominio de diarrea, es de 18%, significativamente mayor en comparación con la observada en pacientes con SII-E. El riesgo de tener CM es 31 veces mayor en un paciente con SII-D, en comparación con otro con SII-E. Esto puede justificar la toma sistemática de biopsias en aquellos enfermos con SII-D, más aún si consideramos que el aspecto de la mucosa es normal en la mayoría de los pacientes con CM.
Actualmente se recomienda que el diagnóstico del SII sea positivo y no por exclusión.5 Los criterios clínicos de Roma han sido ampliamente difundidos y empleados para establecer el diagnóstico del SII y otros trastornos funcionales digestivos en estudios de investigación,4 pero su utilidad en la práctica clínica diaria aún es incierta. La sensibilidad de los criterios de Roma es relativamente baja y su especificidad no supera 90%.5 Un estudio reciente demostró que 10.1% de los pacientes con SII por criterios de Roma III tienen lesiones colónicas orgánicas.23 Asumiendo entonces que los criterios clínicos pueden fallar, existe la posibilidad de que alguna enfermedad orgánica o estructural sea la causa de los síntomas en una proporción variable de pacientes con trastornos funcionales. Esta posibilidad podría ser mayor en padecimientos con manifestaciones clínicas y presentación endoscópica similar como es el caso del SII-D y CM.
La CM es una causa de diarrea crónica en sujetos con colonoscopia normal24-26 que ha sido cada vez más reconocida en México.27-29 A pesar de lo anterior, la posible sobre-posición entre CM y SIID ha sido poco estudiada. Un pequeño estudio de casos y controles informó la presencia de CL en 23% de pacientes con SII.30 En una publicación reciente, 466 pacientes con SII (Roma II) sin estreñimiento fueron estudiados mediante colonoscopia y biopsias de recto-sigmoides con el fin de conocer la prevalencia de enfermedades orgánicas o estructurales y encontraron que la prevalencia de CM fue de 1.5% en el grupo general y se elevó a 2.3% en mayores de 45 años.31
La posibilidad de que los pacientes con CM se manifiesten con criterios clínicos de SII también ha sido poco estudiada. Limsui y colaboradores32 estudiaron a más de 130 pacientes con CM confirmados mediante análisis histológico y observaron que 33% habían sido diagnosticados como SII: 41% tenían criterios de Manning, 53% cumplía con criterios de Roma I y 56% tenía criterios de Roma II para este trastornos funcional digestivo. En el presente estudio demostramos que la prevalencia de CM en pacientes con criterios de Roma II de SII-D es de 18%: la mitad de ellos corresponden a CL y la otra mitad a CC. El hecho de que la colonoscopia haya sido normal en la mayoría de estos enfermos refuerza la necesidad de realizar biopsias del colon en forma sistemáticas aún en este grupo de pacientes. En nuestro conocimiento, este es el primer estudio al respecto en México.
En este estudio destacan algunos hallazgos interesantes que conviene comentar. El promedio de edad de los pacientes incluidos supera los 50 años en ambos grupos y esto puede influir en una mayor prevalencia de CM entre los pacientes con diarrea.33 Una tercera parte de los enfermos incluidos en cada grupo, tenía diverticulosis pero en ningún caso se detectaron complicaciones asociadas. Los criterios de Roma III aclaran que la diverticulosis no cambia el diagnóstico del SII y no debe considerarse como una enfermedad "oculta" en estos pacientes.4 Un paciente con SII-E presentó CL, contrario al patrón habitual de evacuaciones que se atribuye a esta enfermedad. Esto no sorprende si consideramos que algunos trabajos han informado que no todos los pacientes con CM presentan diarrea al momento del diagnóstico34 e incluso se ha informado estreñimiento en algunos de ellos.35
En el presente estudio establecimos la comparación entre dos grupos de pacientes con SII definido mediante criterios bien establecidos y universalmente aceptados, a todos se les realizaron los exámenes mínimos indispensables recomendados5 y se tomaron biopsias de colon independientemente del aspecto de la mucosa que fueron observadas por dos patólogos, empleando criterios histopatológicos estrictos.18-21 Estas características le dan fuerza a nuestra investigación que, sin embargo, tiene defectos metodológicos. Los pacientes fueron reclutados en forma consecutiva y de acuerdo con la aceptación de cada enfermo para someterse a los estudios propuestos lo que implica la posibilidad de un sesgo de selección. Aunque todos los sujetos fueron estudiados con biopsias de sigmoides y colon transverso, sólo se realizó un muestreo amplio del colon en poco menos de la mitad de los enfermos, lo que podría suponer un sub-diagnóstico de la CM. Aunque la toma de biopsia en forma amplia y aleatoria ha sido recomendada por algunos autores,36 no existe un acuerdo general acerca de qué segmentos del colon proporcionan mayor posibilidad de diagnóstico en CM. Algunos estudios han demostrado que la colitis microscópica afecta por igual a los diferentes segmentos y la toma de muestras de todo el colon no es necesaria.37,38 Una revisión reciente de 76 pacientes con CM demostró que casi la totalidad de las biopsias de sigmoides permitieron establecer el diagnóstico, lo que sugiere que el obtener biopsias sólo de esta zona podría ser suficiente con una excelente capacidad de diagnóstico.39 En nuestra investigación no se realizaron tinciones especiales a las biopsias en forma rutinaria. Sin embargo, cabe recordar que el diagnóstico de la CM no se basa en tinciones especiales, sino en la detección de sus características más distintivas que son la linfocitosis intra-epitelial en un ambiente de inflamación crónica de la lámina propia con respeto a la arquitectura de las criptas, visibles con las tinciones habituales.40
A pesar de lo anterior, consideramos que nuestro estudio destaca la alta prevalencia de la CM en pacientes con criterios clínicos de SII-D, apoya la toma sistemática de biopsias de colon en este grupo de pacientes aún en presencia de mucosa normal y alerta al médico para que considere a la CM entre los diagnósticos diferenciales como una entidad cada vez más reconocida en nuestro medio.
Concluimos que la prevalencia de colitis microscópica en pacientes con criterios clínicos de síndrome del intestino irritable con predominio de diarrea es de 18%, significativamente mayor en comparación con la observada en pacientes con síndrome del intestino irritable con predominio de estreñimiento. De acuerdo con nuestros resultados, el riesgo de tener colitis microscópica es 31 veces mayor en un paciente con síndrome del intestino irritable con predominio de diarrea en comparación con otro con estreñimiento. La mucosa del colon es de aspecto normal en la mayoría de los pacientes con colitis microscópica, por lo que la toma sistemática de biopsias es recomendable en aquellos enfermos con diarrea aun cuando el aspecto endoscópico del colon sea normal.
Correspondencia: Ramón Carmona-Sánchez.
Antonio Aguilar 155-510, Col. Burócratas del Estado, CP 78200, San Luis Potosí, S. L. P. México.
Teléfono y Fax: 01 444 834 0552
Correo electrónico: rcarmonas1@prodigy.net.mx
Recibido el 21 de septiembre de 2010;
aceptado el 11 de noviembre de 2010.






