¿ Imagen clínica
La presencia de "aire libre" en el espacio subfrénico derecho, en la radiografía póstero-anterior (PA) del tórax y en bipedestación, ha sido empleada rutinariamente como evidencia diagnóstica de neumoperitoneo; éste se manifiesta con una imagen radiolúcida, subdiafragmática y su extensión está directamente relacionada con la cantidad de aire liberado al interior del abdomen.
En los pacientes sin antecedentes de procedimiento endoscópico o de intervención quirúrgica reciente, el neumoperitoneo puede tener diversos orígenes; la perforación de víscera hueca es el más frecuente (Figura 1) y puede ser evidente en la radiografía de tórax hasta en 70% de los casos. Sin embargo, otras entidades clínicas pueden inducir la formación de imágenes radiológicas similares a la del neumoperitoneo: los abscesos hepáticos formadores de gas y las colecciones subfrénicas derechas (Figura 2), así como el signo y el síndrome de Chilaiditi (Figura 3). Se denomina signo de Chilaiditi a la interposición intestinal (usualmente el ángulo hepático del colon), asintomática, entre el hígado y el hemidiafragma derecho. El síndrome de Chilaiditi es cuando este signo se acompaña de dolor abdominal, constipación, vómitos u obstrucción intestinal. En conjunto, el examen clínico y los estudios de imagen, contribuirán a establecer el diagnóstico y a definir la conducta terapéutica en estos pacientes.
¿ Figura 1. A y B. Neumoperitoneo por perforación de úlcera péptica; C. Perforación de colon sigmoides por cuerpo extraño.
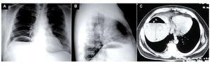
¿ Figura 2. Absceso hepático formador de gas en segmentos posteriores: A. Radiografía PA; B. Lateral; C. TC abdominal.
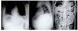
¿ Figura 3. Paciente con Síndrome de Chilaiditi: A. Radiografía PA; B. Lateral; C. TC abdominal.
Correspondencia: Dr. Freddy Pereira Graterol.
Centro Day Hospital. Av. Principal de Lechería, diagonal al hotel Teramún. Lechería-Anzoátegui,
Venezuela. CP: 6016.
Teléfono (+58) 4166138797.
Correo electrónico: freddypereiragraterol@gmail.com
Recibido el 25 de febrero de 2010;
aceptado el 9 de marzo de 2010.





