¿ Caso clínico
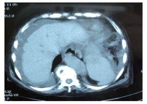
Varón de 35 años con estado de choque y dolor abdominal. La tomografía computarizada de abdomen mostró líquido libre en cavidad peritoneal y una lesión de naturaleza mixta sólidoquística en intestino delgado (Figura 1). La laparotomía confirmó una lesión yeyunal extra-mucosa con componente quístico multilocular (Figuras 2 y 3), asociado a hemoperitoneo. Se realizó resección yeyunal con anastomosis primaria. El estudio histológico mostró una lesión estromal con transformación multiquística, con expresión de c- KIT y CD34.
¿ Figura 1. TAC abdominal que demuestra líquido libre compatible con hemoperitoneo.
¿ Figura 2. Lesión yeyunal exofítica.
¿ Figura 3. Lesión con componente quístico multilocular y hemorragia.
El tumor estromal gastrointestinal (GIST) es la neoplasia mesenquimatosa más común del tracto digestivo y representa 0.1% a 3% de las neoplasias gastrointestinales; derivan de las células de Cajal y hasta en 30% a 40% de los casos, se originan en intestino delgado.
La patología demuestra un compromiso de la muscular propia de la pared intestinal, con crecimiento exofítico. Son bien delimitados con áreas internas de hemorragia, necrosis y componente quístico. Algunas manifestaciones clínicas son hemorragia digestiva, dolor abdominal, masa palpable, pérdida de peso, náusea y vómito. Una complicación importante aunque infrecuente de estos tumores es la ruptura espontánea del mismo ocasionando un hemoperitoneo. Hasta 40% de los pacientes con GIST, pueden presentar hemorragia o sangrado a la cavidad abdominal particularmente asociado a tratamiento sistémico.
El tratamiento actual para los tumores GIST localizados es la resección quirúrgica. Como estos tumores tienen un patrón exofítico de crecimiento y no tienden a infiltrar, la resección segmentaria del intestino es considerada como el tratamiento de elección. En los casos en que el tumor primario comprometa mesenterio u omento, el procedimiento debe ser la resección en bloque. En el caso de tumores GIST irresecables o metastásicos, la terapia con imatinib, inhibidor de tirosíncinasa activada por la mutación en el gen c-KIT, es la terapia de elección.
Correspondencia: Dr. Valdemir José Alegre Salles.
Rua José Bonani, 199 Taubaté, San Pablo, Brasil CEP: 12031-260.
Teléfono: 55(12)36813888. Fax: 55(12)36316061.
Correo electrónico: vjasia@gmail.com
Recibido el 11 de mayo de 2010;
aceptado el 13 de mayo de 2010.





