Introducción
La litiasis vesicular es uno de los padecimientos más frecuentes de la vesícula y vías biliares. En nuestro país se considera que aproximadamente 9% de la población adulta padece la enfermedad.1 La mayoría de los pacientes son asintomáticos, sin embargo, en estudios de seguimiento a largo plazo, 50% desarrollan alguna sintomatología y 20% presentan complicaciones. Las complicaciones más frecuentes son la colecistitis aguda y crónica, y la coledocolitiasis. Las complicaciones más raras que necesitan alto índice de sospecha son el íleo biliar y el síndrome de Mirizzi.
El íleo biliar se presenta en 0.06% de los casos de litiasis vesicular como resultado de una fístula colecistoentérica. De los pacientes con diagnóstico de fístula colecistoentérica únicamente del 1 al 15% desarrollan íleo biliar.2 La presentación clínica más habitual es la obstrucción intestinal que generalmente va precedida por un episodio de cólico biliar. El tamaño del lito y la presencia de estenosis en el intestino son factores que predisponen la impactación. La mayoría de los autores reportan que los litos menores de 2-2.5 cm pasan espontáneamente a través del tracto gastrointestinal anatómicamente normal. Sin embargo, los litos mayores de 5 cm tienden a impactarse. El sitio más frecuente de obstrucción es el íleon terminal en 73%. El diagnóstico preoperatorio se lleva a cabo en sólo 40% de los casos.3
Se presenta el caso de una paciente con obstrucción intestinal secundaria a un lito gigante impactado en el yeyuno proximal.
Reporte del caso
Se trata de una paciente del sexo femenino de 47 años de edad con antecedentes heredofamiliares positivos para diabetes mellitus, hipertensión arterial sistémica e hipotiroidismo. La paciente tiene hipotiroidismo tratado con levotiroxina y es obesa.
Inició su padecimiento con un episodio de dolor en epigastrio, tipo ardoroso, así como distensión abdominal. Tomó AINE y antiespasmódico durante 10 días, sin presentar mejoría. Se agregó náusea y vómito, por lo que acudió a un hospital privado en donde le administraron soluciones tipo Hartmann por vía intravenosa, así como inhibidores de bomba de protones, metoclopramida y butilhioscina con mejoría parcial. Se le realizó una endoscopia, la cual reportó úlcera duodenal penetrada hacia el páncreas.
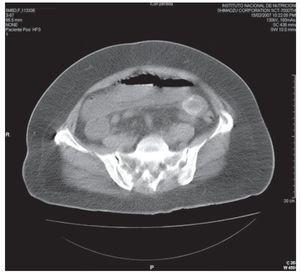
Ingresó al Instituto Nacional de Ciencias Médicas y Nutrición por dolor abdominal de características ya descritas. A la exploración física con dolor abdominal difuso a la palpación profunda y peristalsis disminuida. Los exámenes de laboratorio con 12,000/mm3, neutrófilos de 85%, pruebas de función hepática normales. Se le realizó una placa simple de abdomen con dilatación de asas de intestino delgado y aire en la vesícula biliar (Figura 1). Se le realizó una tomografía computada (TC), la cual mostró dilatación de asas de intestino delgado proximal, imagen hiperdensa intraluminal y zona de transición a este nivel (Figura 2). Se realizó laparotomía exploradora en la cual se evidenció un lito gigante de aproximadamente 6 cm de diámetro en el yeyuno proximal, se le realizó enterotomía con extracción del lito y cierre primario en dos capas (Figura 3).
Figura 1. Placa simple de abdomen con dilatación de asas de intestino delgado y aire en la vesícula biliar
Figura 2.Tomografía computada que muestra dilatación de asas de intestino delgado proximal, imagen hiperdensa intraluminal y zona de transición a este nivel
Figura 3. Zona de transición. Laparotomía exploradora en la cual se evidenció un lito gigante de aproximadamente 6 cm de diámetro en el yeyuno proximal
Discusión
El íleo biliar fue descrito por primera vez por Bartolin en 1654 como una enfermedad de personas de edad avanzada y debilitadas. En 1890, Courvoisier describió 131 casos con una mortalidad quirúrgica cercana al 50%.4 En 1896, Bouveret describió el síndrome de obstrucción gástrica secundaria a un lito biliar impactado en el bulbo duodenal después de haber migrado a través de una fístula colecistoduodenal.
Generalmente, se presenta en pacientes de edad avanzada, tiene un pico de incidencia entre los 65 y 75 años de edad. Existe una predominancia por el sexo femenino. Es una enfermedad rara en la población en general, sin embargo, representa 25% de las obstrucciones intestinales no estranguladas en pacientes mayores de 65 años.5 Habitualmente el íleo biliar es precedido por un episodio de colecistitis aguda. La inflamación y adherencias secundarias facilitan la erosión del lito a través de la pared de la vesícula para formar una fístula cole-cistoentérica y permitir el paso del lito hacia la luz intestinal. El sitio más común de la fístula es hacia el duodeno, aunque puede ocurrir en cualquier parte del tracto gastrointestinal. El íleon terminal y la válvula ileocecal son los sitios más frecuentes de impactación debido a su estrechez y menor peristalsis. Otras localizaciones menos comunes son el íleon proximal, yeyuno, estómago y duodeno. La obstrucción intestinal es la presentación clínica habitual. Sin embargo, los síntomas pueden ser intermitentes debido al paso del lito en diferentes niveles del intestino. Los signos radiológicos clásicos en la placa simple fueron descritos por Rigler, Borman y Noble en 1941, incluyen obstrucción intestinal, pneumobilia e imagen radioopaca. La presencia de dos de los tres signos radiológicos es patognomónico y ocurre en 40-50% de los casos.6 En 1978, Baltazar y Schechter sugirieron que la presencia de dos niveles hidroaéreos adyacentes en el cuadrante superior derecho es un signo adicional útil.7 El ultrasonido puede detectar la fístula y el lito impactado, así como la presencia de cole-litiasis residual o coledocolitiasis. La TAC puede identificar litos grandes, presencia de obstrucción intestinal y el nivel de ésta.8
El principal objetivo del tratamiento es la corrección de la obstrucción intestinal, sin embargo, antes se debe estabilizar al paciente con reposición hidroelectrolítica y controlar las enfermedades concomitantes. Posteriormente, se debe realizar una laparotomía exploradora, se identifica el sitio de la obstrucción y se realiza una enterotomía previa al sitio de la obstrucción lo suficientemente grande para poder extraer el lito.9 Los sitios más frecuentes de impactación son: íleon terminal (73%), íleon proximal y yeyuno (20-40%) y duodeno en menos del 10%. En nuestro caso, el sitio de impactación fue el yeyuno proximal.
El abordaje quirúrgico sigue siendo tema de controversia. La principal pregunta va enfocada a si la cirugía de la vía biliar se debe llevar a cabo en el mismo procedimiento para la obstrucción intestinal (cirugía en un tiempo), si se debe realizar después (cirugía en dos tiempos) o si no se debe realizar.
Los autores que recomiendan la cirugía en un tiempo, argumentan que la morbilidad de la patología biliar justifica el procedimiento.
La mayoría de los autores recomiendan de primera instancia la resolución de la obstrucción por medio de la enterotomía, ya que de realizar en la misma cirugía la corrección de la fístula con cole-cistectomía, el tiempo quirúrgico aumenta, y por lo general, son pacientes de edad avanzada lábiles al tiempo anestésico y a la mayor disección de tejido aunado a las complicaciones quirúrgicas.10
Otro tema de controversia es la cirugía electiva posterior para la realización de colecistectomía y cierre de la fístula. Algunos autores refieren que la cirugía se debe realizar para evitar recurrencias y complicaciones. Otros autores defienden que si el paciente no presenta cuadros de agudización de la colecistitis, ictericia, colangitis o recidiva del íleo biliar, no es necesaria la cirugía.5,9,10
La morbilidad y mortalidad son variables de acuerdo con la serie revisada y generalmente dependen del tratamiento quirúrgico realizado al inicio. Si se trata de primera intención la extracción del lito y corrección de la fístula, se puede elevar hasta 33 a 75%, por el contrario, de ser tratada únicamente la obstrucción intestinal la morbilidad es baja y la mortalidad es casi nula.3,9
Conclusiones
El íleo biliar es una complicación rara de una enfermedad común. Es el resultado de la impactación de un lito en el tracto gastrointestinal a través de una fístula colecistoentérica. Es importante tenerlo en cuenta en pacientes mayores con obstrucción intestinal mecánica. El tratamiento de primera instancia debe estar encaminado a la resolución de la obstrucción intestinal por medio de la enterotomía proximal y extracción del lito. La morbilidad y mortalidad son altas aunque ha mejorado en los últimos años.
Correspondencia:
Sandra García Osogobio.
Departamento de Cirugía. Instituto Nacional de Ciencias Médicas y Nutrición "Salvador Zubirán". Vasco de Quiroga #15, Sección XVI, Del. Tlalpan C.P. 14000, Tel. 54870900, ext. 2133.
Correo electrónico:sandragaos@yahoo.com
Fecha recibido: 23 marzo 2007
Fecha aprobado: 06 marzo 2008





