Introducción
El pólipo fibroide inflamatorio gástrico (PFIG), es un tumor raro benigno que se localiza principalmente en el antro y se presenta como una masa submucosa en el estudio endoscópico.1 El tamaño de presentación habitual reportado se sitúa en un rango entre 1 y 5 cm. Si bien la mayoría son asintomáticos, se han reportado casos que se presentan con dolor abdominal, náusea y anemia secundaria a hemorragia del tubo digestivo.2,3 En este manuscrito se presenta el caso del PFIG de mayor tamaño reportado en la literatura y con una localización poco frecuente.
Reporte del caso
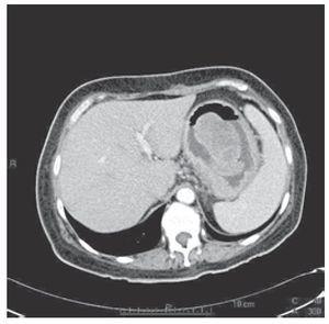
Paciente femenino de 51 años de edad, con diagnóstico de diabetes mellitus de varios años de evolución que inició su padecimiento un año previo al ingreso a nuestra institución con dolor epigástrico urente de moderada intensidad que remitía parcialmente a la administración de inhibidores de la bomba de protones. Un mes previo a su ingreso se agregó al cuadro anterior evacuaciones melénicas y en un estudio endoscópico se documentó tumoración gástrica, razón por la cual fue referida a nuestra institución. A su ingreso se documentó anemia microcítica hipocrómica con cifras de hemoglobina de 8.8 g/dL. Se le realizó una tomografía axial computada que reportó una lesión pediculada de centro hipodenso, dependiente del fondo gástrico con diámetro mayor de 7 cm (Figura 1). Una nueva evaluación endoscópica complementada con ultrasonido endoscópico, documentó una masa hipoecoica heterogénea de bordes discretamente irregulares de 5x8 cm dependiente de la capa muscular de la mucosa del cuerpo alto y fondo gástricos, respetando la muscular propia.
Figura 1. Tomografía axial computada que muestra la lesión pediculada de centro hipodenso dependiente del fondo gástrico.
Se tomaron múltiples biopsias que demostraron gastritis crónica y aguda intensa ulcerada. Debido a esto la paciente se llevó a cirugía donde se encontró un gran tumor gástrico en el fondo que requirió gastrectomía total con esófago yeyuno anastomosis en Y de Roux. El reporte final de patología fue pólipo fibroide inflamatorio de 9.1x6.3 cm fascina (+), ciclina D1 (+), c-kit (-), CD34 (-) (Figuras 2-4). La evolución posoperatoria fue satisfactoria, siendo egresada la paciente después de 10 días de estancia hospitalaria.
Figura 2. Corte longitudinal de la lesión polipoide localizada en el fondo gástrico, en la cual se observa que está confinada a la pared gástrica.
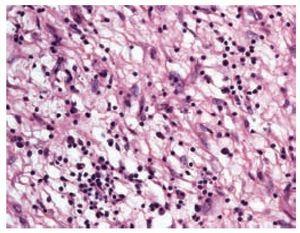
Figura 3. Proliferación de células fusiformes de aspecto fibroblástico sin atipia que alternan con linfocitos, células plasmáticas y algunos eosinófilos. Se observa acentuado edema del estroma (40X).
Figura 4. Las células neoplásicas son positivas para el anticuerpo ciclina D1.
Discusión
Los pólipos fibroides inflamatorios son un tipo raro de tumor mesenquimatoso no neoplásico del tracto gastrointestinal. Ocurren principalmente en el estómago como pólipos localizados, y menos frecuente en el intestino delgado, colon y esófago en orden decreciente.4 Esta entidad fue descrita por primera vez en 1949 por Vanek como "un granuloma gástrico submucoso con infiltración eosinofílica".5 Microscópicamente está constituido por células estromales fusiformes con abundantes vasos sanguíneos pequeños con un infiltrado inflamatorio dominado por eosinófilos. Debido a la naturaleza polipoide y la disposición característica de elementos fibrosos y vasculares, Helwig y Ranier fueron los primeros en usar el término de PFIG.6 El origen celular no está totalmente esclarecido, aunque la hipótesis más aceptada es que se origina de células dendríticas debido a su perfil inmunohistoquímico, donde siempre son positivos para CD34, fascina y ciclina-D1, así como la ausencia de c-kit confirma su no asociación con los tumores del estroma gastrointestinal (GIST).7
La mayor parte de los casos han sido descritos como reportes de pacientes aislados. Existen algunas series reportadas como la de Matsushita et al., que describen 13 pacientes con PFIG con un tamaño promedio de 1.3 cm (rango 0.7-2.5 cm), todos ellos localizados en el antro o región prepilórica.8 En forma similar, en la serie de 14 pacientes reportada por Pantanowitz et al., el tamaño promedio del tumor fue de 1.3 cm, con un rango entre 0.4 y 2.5 cm, localizándose 12 en el antro y en 2 casos no se reporta la localización de la lesión.7
Otros casos reportados en forma aislada, han demostrado tumores con tamaños de 3.5 y 4.5 cm, este último con presentación clínica como hemorragia masiva del tracto digestivo,9,10 ambos casos se localizaban en el antro gástrico. Otros pólipos gástricos que pueden llegar a alcanzar un tamaño como el de nuestra paciente son los hiperplásicos o los adenomatosos, aunque por lo general suelen ser menores a 2 cm.4
En cuanto al diagnóstico diferencial con otros tumores mesenquimatosos como los GIST, leiomiomas y lipomas, debido a su característica submucosa, es difícil lograr un diagnóstico histológico durante una biopsia endoscópica. Por tomografía es complicado distinguir qué tipo de tumor submucoso se trata, y lo que da más información es el patrón por ultrasonido endoscópico, que suele describirse como una lesión homogénea hipoecoica, localizada hacia la segunda y/o tercera capa sonográfica sin involucro de la cuarta.11 Llama la atención que en nuestro caso se describió como una lesión hipoecoica, pero heterogénea, cuestión que se podría deber al mayor tamaño. Una vez que la sospecha es alta de que se trata de un PFIG, reuniendo las características usuales de un pólipo pequeño hacia el antro con los patrones ultrasonográficos descritos, el tratamiento de elección es la resección endoscópica, dejando el abordaje quirúrgico para lesiones mayores. Debido a que esta lesión no tiene potencial maligno, no se requiere ningún tipo especial de seguimiento.11
En resumen, el caso presentado es el de mayor tamaño reportado hasta el momento en la literatura, con una localización muy poco usual que requirió la realización de gastrectomía total para su erradicación. El PFIG, debe tenerse en mente en el diagnóstico diferencial de masas submucosas en el estómago, la mayoría de las cuales corresponden a tumores del estroma gastrointestinal.
Correspondencia:
Dr. Heriberto Medina Franco. Departamento de Cirugía. Instituto Nacional de Ciencias Médicas y Nutrición "Salvador Zubirán". Vasco de Quiroga #15, Sección XVI, Del. Tlalpan. C.P. 14000, Tel. 54870900, ext. 2133.
Correo electrónico: herimd@hotmail.com
Fecha recibido: 02 mayo 2007
Fecha aprobado: 24 septiembre 2008






