Introducción
La colangitis esclerosante primaria (CEP), se considera una enfermedad poco frecuente y de etiología desconocida, que se caracteriza por inflamación y destrucción segmentaria y fibroobliterativa de los conductos biliares, para la cual el estudio diagnóstico de elección es la colangiopancreatografía retrógrada endoscópica (CPRE). Su variante de pequeños conductos se presenta en aproximadamente 5.8% de los casos1 y requiere, además, de biopsia hepática para su diagnóstico. La CEP se asocia a enfermedad inflamatoria intestinal (EII) en 50 al 75% de los casos, de éstos, la mayoría (87-98%) corresponden a colitis ulcerativa crónica inespecífica (CUCI) y la minoría (1.3-18%) a enfermedad de Crohn.2 La gastroenteritis esosinofílica comprende un grupo heterogéneo de padecimientos, que se caracterizan por una inflamación segmentaria y limitada al tubo digestivo, predominantemente por eosinófilos.3 La asociación de CEP de pequeños conductos y gastroenteritis eosinofílica (GE) con involucro ileocolónico, no ha sido reportada previamente en la literatura. Se describe el caso de un hombre joven con CEP de pequeños conductos y GE con afección a intestino delgado y colon.
Caso clínico
Masculino de 27 años, se le refirió con diagnóstico de CUCI desde los 15 años de edad, realizado en otro hospital y con irregular respuesta al tratamiento. Se admitió en nuestro hospital por diarrea sanguinolenta de larga evolución, síndrome anémico, hipoalbuminemia y pérdida de peso. A su ingreso se encontró delgado, con palidez generalizada, abdomen con aumento de ruidos peristálticos y hepatomegalia no dolorosa. Laboratorios a su ingreso: BH: leucocitos 7 100 cel/µL (diferencial: nt 77%, linf 16.5%, mono 6.4%, baso 0.1%), Hb 8.4 g/dL, VCM 52 fl, plaquetas 775 000/µL; PFH: ALT 128 U/L, AST 122 U/L, BT 0.8 mg/dL, GGT 346 U/ L, FA 2112 U/L, Alb 2.9 g/dL, Glob 4.3 g/dL; Perfil de hierro: ferritina 15.4 ng/mL, hierro sérico 6 mcg/dl, capacidad de fijación de hierro 463 mcg/ dL, índice de saturación 1.2.
Se realizaron marcadores serológicos para virus de hepatitis B, virus de hepatitis C, virus de inmunodeficiencia humana, anticuerpos antinucleares, antimitocondriales y anticitoplasma del neutrófilo central y periféricos (VHB, VHC, HIV, ANAs, AAM, cANCA y pANCA) los cuales fueron negativos. El estudio de heces demostró sangre oculta ++++ y los coproparasitoscópicos seriados3 fueron negativos. Los siguientes estudios paraclínicos demostraron Tránsito intestinal: datos compatibles con malabsorción intestinal (Figura 1). Panendoscopia: pangastritis no erosiva leve, esofagitis aguda grado I (Savary-Miller), duodenitis leve. Las biopsias de duodeno mostraron infiltración eosinofílica y la colonoscopia demostró pancolitis e ileítis activa con erosiones lineales y eritema de la mucosa (Figura 2) con afección predominante en el íleon distal. Múltiples biopsias de íleon distal, hasta recto, con infiltrado eosinofílico predominante (>80%), en número de 18-22 células por campo de alto poder (Figura 3). Estudios complementarios confirmaron ausencia de eosinofilia periférica, niveles normales de IgE y ecocardiograma transtorácico normal.
Figura 1. Tránsito intestinal: tránsito rápido con contraste en estómago e íleon de manera simultánea, evidencia de engrosamiento de pliegues de intestino delgado y fragmentación del medio de contraste
Figura 2. Colon ascendente: Pérdida de la trama vascular normal de la mucosa, eritema, friabilidad, erosiones y ulceraciones lineales.
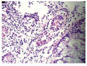
Figura 3. Sigmoides 20X, lámina propia con infiltrado en 80% por eosinófilos, con zonas de erosión en el epitelio de superficie.
Con el diagnóstico de enterocolitis eosinofílica se manejó con prednisona 50 mg/día, con rápida resolución total de los síntomas gastrointestinales y normalización de los parámetros bioquímicos; sin embargo, por persistencia de alteraciones en las pruebas de funcionamiento hepático caracterizadas por un patrón colestásico, se realizó USG abdominal con hepatomegalia como único hallazgo y se realizó colangiorresonancia magnética nuclear (CRMN), la cual fue normal (Figura 4). Finalmente, se le sometió a biopsia hepática percutánea, la cual permitió demostrar CEP (Figura 5). A 3 años de seguimiento, el paciente se encuentra bajo manejo con prednisona a dosis de 25 mg diarios con adecuado control de su padecimiento gastrointestinal, con recaída si se disminuye esta dosis. En cuanto al padecimiento hepático, recibe dosis altas de ácido ursodeoxicólico, con persistencia del patrón colestásico hepático, aunque sin deterioro de su función hepática.
Figura 4. Colangioresonancia Magnética Nuclear. Se aprecia el árbol biliar intra y extrahepático de características normales, así como la vesícula biliar
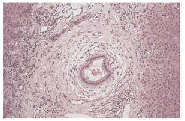
Figura 5. Conducto biliar obtenido mediante biopsia hepática percutánea con evidencia del clásico aspecto en tela de cebolla de la colangitis esclerosante primaria.
Discusión
La CEP es una enfermedad colestásica crónica de etiología probablemente autoinmune; presenta alta frecuencia de asociación con otras enfermedades autoinmunes, autoanticuerpos e hipergammaglobulinemia.4 Se desconoce su prevalencia en México, aunque existen reportes de series de casos.5 La presencia de EII en pacientes con CEP va de 20 a 80%, mientras que la prevalencia de CEP en EII es de 2.4 a 14%.6 Predomina en el sexo masculino entre los 25 y 45 años de edad. Los síntomas incluyen fatiga, prurito, ictericia y dolor abdominal, en fases avanzadas las complicaciones de cirrosis y/o colangiocarcinoma pueden ser la manifestación inicial. Bioquímicamente se caracteriza por una elevación importante de la fosfatasa alcalina y aminotransferasas discretamente elevadas, con hipergammaglobulinemia. De los autoanticuerpos, los pANCA son positivos hasta en 80%. También pueden detectarse ANAs y AML a títulos bajos. La evolución natural de la enfermedad es difícil de predecir; se calcula en 10 a 12 años a partir del diagnóstico, debido a progresión de la enfermedad.7-9
El diagnóstico requiere datos clínicos, de laboratorio, colangiográficos, histopatológicos y serológicos compatibles. Tradicionalmente, la visualización directa del árbol biliar mediante CPRE demuestra estenosis multifocales de los conductos biliares, intra y extrahepáticos; aunque la CRMN es igualmente efectiva para el diagnóstico con un perfil de costo y seguridad excelente.10,11 El hallazgo histológico patognomónico es el de una colangitis fibroobliterativa, denominada habitualmente "en tela de cebolla", y se observa en 10% de los especímenes obtenidos mediante biopsia percutánea12 y 40% en especímenes quirúrgicos.13 Alrededor del 5% de los pacientes presentan datos clínicos, bioquímicos, serológicos e histológicos sugerentes de CEP, pero sin alteraciones en la CPRE y/o CRMN, y existe la duda si este tipo de pacientes corresponde a una fase inicial de la CEP o debe considerarse como una entidad independiente.14 Diferentes investigadores han estudiado la evolución natural de esta variante en pequeños grupos,1,15,16 dado la rareza del padecimiento, y en general, los hallazgos coinciden con la misma edad de aparición que la CEP clásica, de asociación con EII, de autoanticuerpos, incluyendo los pANCA, aunque mayor prevalencia en mujeres, evolución más benigna con superviviencia promedio de 17 a 29 años y menor evolución a cirrosis y colangiocarcinoma: un pequeño porcentaje de estos pacientes evoluciona a CEP clásica.
En relación con su padecimiento gastrointestinal, indudablemente la sospecha inicial fue de una EII, aunque el reporte histopatológico refirió un infiltrado predominantemente dado por eosinófilos. Si bien es normal encontrar esonófilos en la superficie de la mucosa gastrointestinal, no existe consenso en cuanto al número, ya que éste varía por múltiples factores, como el sitio (ciego > rectosigmoides), el género, la edad, la región geográfica y el periodo estacional, entre otros.17 En este caso, el infiltrado predominante por eosinófilos, con invasión a capas profundas de la lámina propia, infiltración focal del epitelio de las criptas sin destrucción de las mismas y sin evidencia de granulomas o disminución en la producción de moco o atrofia, nos permite descartar EII y apoyar el diagnóstico de GE. Aunque otros autores denominan este padecimiento como "trastornos gastrointestinales eosinofílicos primarios";18 gastroenteritis eosinofílica es el término más utilizado en la actualidad.3 La etiología se desconoce, aunque en niños es frecuente y se asocia a alergias a ciertos alimentos. En los adultos es extremadamente rara, fue descrita en 1937 por Kaijer y cols.,19 y hasta el 2003 había alrededor de 300 casos publicados en la literatura médica,20 aunque en la última década parece haber un aumento en la incidencia, particularmente de la variante que afecta el esófago (esofagitis eosinofílica).21 En cuanto a la etiología que afecta el intestino, parecen verse involucrados ciertos trastornos alérgicos poligénicos primarios, que desencadenan respuestas inmunes mediadas por IgE y tardías tipo Th2 y se ha demostrado un papel importante en su fisiopatología a la Interleucina-5 (IL-5) y a una subfamilia de citocinas denominadas eotaxinas.22,23 En la actualidad los criterios diagnósticos aceptados incluyen: a) síntomas gastrointestinales presentes, b) infiltración predominantemente eosinofílica en una o más áreas del aparato gastrointestinal, demostrada mediante biopsias, c) ausencia de infiltración a otros órganos y d) ausencia de infección parasitaria. La presencia de eosinofilia periférica no se considera un criterio diagnóstico, pues alrededor del 20% de estos pacientes no la presentan. De acuerdo a la clasificación de Klein,24 las manifestaciones clínicas dependen básicamente de la localización del infiltrado inflamatorio. En nuestro caso tal infiltración se localizó a la capa mucosa del ileocolon, siendo la presentación más frecuente,25 y las manifestaciones incluyeron diarrea, dolor abdominal, pérdida de peso, malabsorción y hematoquezia, cuando la infiltración abarca la capa muscular, la dismotilidad y/u obstrucción predominan, y por último, cuando existe infiltración de la subserosa, puede darse el desarrollo de ascitis rica en eosinófilos. No existe consenso en cuanto al tratamiento, aunque los esteroides y aminosaliciatos son empleados comúnmente con resultados aceptables. Algunos autores han descrito el uso de estabilizadores de la membrana de los mastocitos como el cromoglicato sódico y antagonistas selectivos de los receptores de leucotrienos, como montelukast, con la intención de usarlos como agentes ahorradores de esteroides, todo ello con diversos resultados.26,27
Se describe el caso de un paciente con CEP de pequeños conductos y gastroenteritis eosinofílica, que si bien existe el reporte en la literatura de un caso de CEP clásica con GE,28 no encontramos publicaciones de la asociación de CEP de pequeños conductos con GE, ambos padecimientos, posiblemente de origen autoinmune.x
Correspondencia:
María Saraí González Huezo. Depto. de Gastroenterología, Centro Médico ISSEMYM. Av. Baja Velocidad 284, Col. San Jerónimo Chicahualco, Metepec, Estado de México C.P. 52140. Tel. 01 722 275 63 00, exts. 2109, 3101. Fax. 01 722 275 63 50.
Correo electrónico: saraigh69@yahoo.com.
Fecha recibido: 03 mayo 2007
Fecha aprobado: 07 febrero 2008







