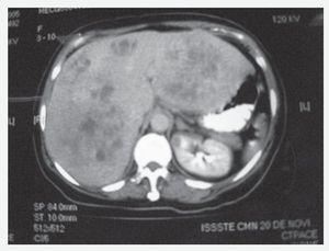
Resumen clínico. Femenino de 51 años de edad, con dolor abdominal de 3 años de evolución en cuadrante superior derecho, náusea, vómito, diarrea, diaforesis, palpitaciones y enrojecimiento facial. La tomografía axial (Figuras 1 y 2), mostró múltiples masas en ambos lóbulos del hígado; los niveles urinarios de ácido 5-hidroxiindolacético fueron normales. Se diagnosticó TCMH basado en octreótide marcado con Indio 111 (Figura 3), laparotomía exploradora sin encontrarse lesión primaria y la biopsia hepática, con tinción de grimelius y cromogranina A positiva para tumor carcinoide (Figura 4). La paciente recibió octreotide LAR controlándose los síntomas de síndrome carcinoide, y posteriormente fue sometida a hemipatectomía izquierda. Actualmente, se encuentra en control de su sintomatología con octreótide LAR y en lista de espera de trasplante hepático de donador cadavérico.
Figura 1. TAC contrastada con múltiples lesiones hipodensas.
Figura 2. Hepatomegalia con lesiones multicéntricas bilobulares.
Figura 3. Hipercaptación de la glándula hepática con ocreótide marcado con Indio 111.
Figura 4. Células neoplásicas con tinción positiva a grimelius y cromogranina A.
Correspondencia: Alex Arturo de la Cruz Guillén. Ejército Nacional 617-304, Col. Granada C.P.11520 México, D.F. Tel. (55) 52005003 ext. 14291 o cel. 044(55)23541285.
Correo electrónico: delacruzalex77@hotmail.com.
Fecha recibido: 29 mayo 2008 Fecha aprobado: 15 diciembre 2008






