Endoscopic retrograde cholangio pancreatography (ERCP) is the procedure of choice for biliary decompression in individuals with obstructive jaundice with a 90%-95% success rate in expert hands.1,2 In few cases ERCP may fail; this is usually related to endoscopist inexperience, anatomic variants, peri-ampullary diverticulum, tight stenosis, tumor invasion. When ERCP fails, the alternatives are to refer the case to a highly specialized center and repeat the procedure, or decompress the bile ducts either percutaneously or surgically. The proximity of the endoscopic ultrasound (EUS) probe from the stomach and duodenum to the hepatobiliar system and pancreatic tissue allows a more detailed and close assessment of these structures, as well as perform numerous interventional procedures such as endosonographic-guided access into the bile and pancreatic ducts.3,4 Several case reports and case series have described transgastric and transduodenal anterograde cannulation and drainage of obstructed pancreatic and bile ducts using EUS guided access.5,6 We present what to our knowledge is the first description in Mexico of a therapeutic interventional EUS guided cholangiography.
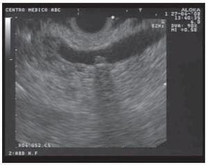
CaseA 58 year-old female was admitted with acute abdominal pain. Abdominal ultrasound reported chronic cholecystitis, cholelithiasis and intra and extra hepatic bile duct dilation; Common bile duct (CBD) measured 9 mm. Liver function tests were within normal range. A cholangio-MRI showed dilated CBD and images suggestive of choledocolithiasis. A laparoscopic cholecystectomy was scheduled. Prior to surgery the patient underwent an ERCP. During the endoscopic procedure the papilla was localized within a duodenal diverticulum. After several attempts the bile duct could not be accessed; the pancreatic duct was cannulated several times instead; a single flap pancreatic stent was placed and the procedure was aborted. The day after, a EUS exam using a linear array echoendoscope (GF-UC140P-AL5;Olympus) showed a dilated CBD measuring up to 9 mm as well as a single stone within its distal portion. (Figure 1)
Figure 1. Endoscopic ultrasound image from the second portion of the duodenum showing a small biliary stone within the common bile duct.
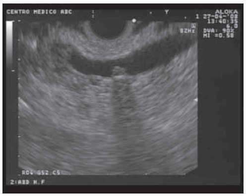
The echoendsocope was placed in the duodenum and was oriented to visualize the extreahepatic biliar system. Color Doppler was used to identify regional vasculature. CBD was punctured under continuous endosonographic guidance using a 22- Gauge needle (Echo tip Ultra; Cook Medical Inc. Winston-Salem NC). To confirm successful biliary access, bile was aspirated through the needle followed by biliary opacification instilling contrast under fluoroscopy. (Figure 2). A 0.018 inch guide wire (Glidewire; Microinvasive Endoscopy, Boston Scientific Corp) was inserted through the EUS needle and advanced in an antegrade fashion, into the duodenum across the papillary orifice.
Figure 2. Fluoroscopic image showing opacification of the common bile duct after gaining access into the common bile duct under continuous endosonographic guidance using a 22-Gauge needle.
Once the wire was into the duodenal lumen several loops were formed (Figure 3) in order to avoid loosing access at the time endoscope exchange during the rendezvous procedure that was performed as previously described. (Figure 4 A-C). Using a duodenoscope (TJF-160F, Olympus) we observed that the bile duct drained from an independent and different orifice than the pancreatic duct within the ampulla. Access and drainage of the bile duct was performed sliding the duodenoscope over the guide wire; during the procedure, self-limited blood oozing occurred after biliary sphincterotomy. The patient underwent surgery next day and was discharged in good conditions.
Figure 3. Fluroscopic image showing a 0.018 inch guide wire inserted through the needle and advanced in an antegrade fashion, into the duodenum across the papillary orifice.
Figure 4. Endoscopic view of the papilla of Vater showing a guide wire coming out thru the papliary orifice (A). A 7cm 10F plastic biliary stent is being advanced over the guide wire (B). Fluoroscopic view showing a standard duodenoscope used to palce the plastic biliary stent. (C) The duodenoscope was exchanged after inserting the guide wire into de common bile duct under endosonographic guidance.
DiscussionERCP remains the method of choice to treat obstructive jaundice, however in a small percentage of cases it may fail. In this scenario the patient and physician must decide to either surgically or percutaneously drain the biliary system. These 2 methods are more invasive and carry significant morbidity to the patient.7,8 Our case, besides presenting an independent drainage for both the pancreatic and biliary ducts, initial ERCP was more challenging that usual since the papilla was contained with in a duodenal diverticulum and covered by multiple mucosal folds. Also, both pancreatic and biliary outlet orifices were in a sharp angle precluding its retrograde access, leading to a failed ERCP. In an attempt to avoid surgical bile duct exploration, we decided to perform an interventional EUS guided cholangiography (IEUC) using a rendezvous technique. Both IUEC and EUS guided rendezvous technique have been describe elsewhere.4 The procedure consists in placing a linear array echoendoscope within either the stomach or duodenum and localize the bile duct. A 19- or 22- Gauge needle is then advanced through either the gastric or duodenal wall into the bile duct. Before puncturing the bile duct, the needle should be both, preflushed and preloaded with contrast medium and a hydrophilic guide wire. Guide wires can be loaded into the needle through the main channel or through a side arm Y adapter that facilitates contrast injection. Before advancing the guide wire, confirmation of successful access into the bile duct is mandatory and usually achieved by obtaining bile after gentle aspiration immediately after the puncture is done. Once validation that the needle is within the bile duct, contrast is injected and using fluoroscopy a cholangiogram is obtained; after this, the guide wire is advanced into the duct, through the obstruction and across the papilla into the duodenal lumen where several loops are made in order to avoid losing the access. Once the distal portion of the guide wire reaches the duodenum the endoscopist has 2 options: 1) exchange scopes and insert a regular duodenoscope and try to access the bile duct alongside the guide wire or 2) pull the distal portion of guide wire out thru the patient’s mouth and insert it within the duodenoscope working channel and then try to access the duct over the guide wire as during a standard ERCP. (In our case we try both techniques, and the second one was the one we succeed with.) IUEC offers significant advantages over surgical and percutaneous transhepatic drainage; The complication rate from percutaneous transhepatic drainage is about 30%, it includes fistula formation, cholangitis, hematoma, peritonitis, and liver abscess development. Surgery, although it offers longterm decompression, it is associated with high postoperative morbidity and mortality rates.4 IUEC on the other hand offers real time guidance; the use of color Doppler minimizes the risk of inadvertent vascular puncture. The discomfort usually associated with a percutaneous catheter is avoided as are the potential post surgical complications. It allows intra (transgastric or transesophageal) or extrahepatic (trans duodenal) bile duct access; each of these techniques is used accordingly to the type, location and extension of the disease. IUEC success rate has been reported to be about 90% with a complication rate of 0%-17% being all of them so far, minor complications that include bile leak, self-limited pneumoperitoneum, minor bleeding, cholangitis, post interventional pain.9,10 No severe complications or procedure related mortality have been reported. However these figures come from case reports and small series reporting results in no more that 30 cases.11 To our knowledge this is the first description in Mexico of a EUS guided rendezvous procedure. EUS has evolved from a merely diagnostic to a feasible and safe interventional technique. Now days, EUS has been used by the author and others to access and decompress obstructed biliary and pancreatic ducts,12 celiac plexus neurolysis,13 injection of therapeutic agents in advanced cancer,14,15 portal vein access, among others. As the medical community becomes aware of the current indications and potential applications of EUS, we will be able to develop and master these and other techniques in benefit to the patients. Although current results are encouraging, interventional EUS techniques should be limited to facilities and physicians with extensive experience in therapeutic EUS and should be used only when standard techniques like ERCP have failed. IUEC seems to be a feasible, safe and useful alternative method to percutaneous or surgical biliary obstruction drainage. Before recommending its widespread use, further studies analyzing long-term results and including a larger number of patients are required.
Corresponding author: Mario Pelaez-Luna, MD. Advanced Endoscopy Unit. ABC Medical Center.Observatorio Sur 136 Num 116, Colonia Las Americas. Mexico City, Mexico. Telephone number: 5623-2673, 5272-4919, 5081-8373 Fax number: 5623-2669, E mail:mariopl@prodigy.net.mx
Fecha recibido: 29 mayo 2008 • Fecha aprobado: 27 julio 2008






