El pioderma gangrenoso (PG) es un padecimiento que se presenta, aproximadamente, en el 2% de los pacientes con enfermedad inflamatoria intestinal.1,2 Las lesiones benignas en la piel se caracterizan por ser pápulas o pústulas que coalescen y forman una úlcera de bordes necróticos y están rodeadas de eritema.3 Estas úlceras son violáceas y dolorosas. El pioderma gangrenosa periostomal (PGP) es una rara condición que se observa en pacientes con enfermedad de Crohn, pero más rara aún es la presentación de una lesión en colitis ulcerativa (CU).4,5 El PGP representa el 15 % de los piodermas gangrenosos y también se puede presentar en pacientes con ileostomía o colostomía por cáncer o enfermedad diverticular.4
En este reporte describimos el primer caso publicado de PGP en México.
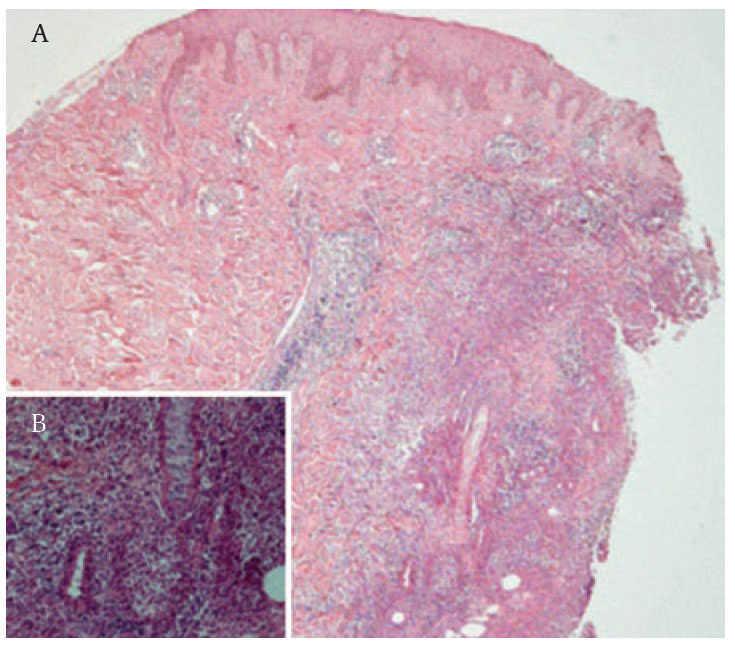
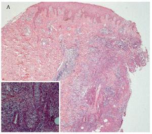
Reporte del casoSe trata de una mujer de 52 años con diagnóstico de CU de 10 años de evolución. Como única manifestación extraintestinal presentaba artritis periférica. Debido a la presencia de displasia de alto grado en biopsia obtenida por colonoscopia, fue sometida a una proctocolectomia con reservorio ileoanal e ileostomía en asa. El periodo posoperatorio de la paciente transcurrió sin complicaciones y se egresó a los cinco días. Seis semanas después de la cirugía, la paciente refirió un dolor intenso en el área periostomal. A la exploración se observó una gran úlcera que rodeaba el estoma con secreción purulenta y necrosis en los bordes (figura 1). Ésta se trató inicialmente como una falla en el manejo del estoma con dermatitis de contacto y una infección agregada. La paciente recibió tratamiento con antibióticos orales y capacitación en el manejo de estoma. Después de dos semanas, la lesión empeoró y apareció una nueva úlcera en la región escapular derecha de iguales características, pero más pequeña (figura 2). El diagnóstico se realizó por medio de una biopsia. En el estudio histopatológico de la piel periostomal se observó inflamación aguda y crónica en la dermis y en el tejido adiposo (HE-40X) (figura 2). También se observaron abscesos y vasculitis, así como migración de polimorfonucleares hacia la pared vascular (125X). Los cultivos de las biopsias no desarrollaron colonias. La paciente no tenía evidencia de enfermedad intestinal activa. El tratamiento se realizó con 40 mg al día de prednisona orales y con cuidados locales de la úlcera, incluyendo debridación bajo anestesia local. Las úlceras cicatrizaron a los seis meses de tratamiento y al año no presentó recurrencia.
Figura 1. Pioderma gangrenoso periostomal.
Figura 2. Pioderma gangrenoso escapular.
Figura 3. A) Inflamación aguda y crónica. (HE-40X) B) Absceso y vasculitis. (HE-125X)
DiscusiónEl PG es una enfermedad aséptica de la piel que se presenta como una de las manifestaciones extraintestinales más severas de la CU y la enfermedad de Crohn.6 Esta entidad fue descrita inicialmente por Brunsting et al., en 1930.6 La epidemiología exacta del PG se desconoce, pero se estima una incidencia de tres a 10 casos por millón/año y tiene picos de presentación entre los 20 y 50 años de edad, siendo más frecuente en mujeres.3,6 Powell et al., sugirieron una clasi- ficación de cuatro tipos de pioderma: ulcerativo, pustular, buloso y vegetativo.3 Las lesiones se presentan más frecuentemente en la piel de las extremidades inferiores y el tronco.3,6
La presencia de pioderma gangrenoso rodeando una ileostomía no es frecuente, pero está bien descrito en la literatura médica.4,5 Giroux, reportó en una serie de 1,132 pacientes con CU, 21 con pioderma gangrenoso y sólo uno tuvo PGP.7
El diagnóstico de PG se basa inicialmente en los hallazgos clínicos. Los diagnósticos diferenciales deben hacerse con malignidad, infección, vasculitis y otras enfermedades sistémicas. La diferencia con cambios irritativos periostomales por malos cuidados del estoma es muy importante debido a que el PGP requiere de corticoides y/o inmunosupresores para su manejo.2,8 La biopsia del PGP no reporta datos específicos de la enfermedad y revela, generalmente, infiltración de neutrófilos, dermólisis y datos compatibles con abscesos estériles.9,10. A diferencia de otros grupos que no recomiendan cultivos y biopsias de la úlcera periostomal, consideramos que esta herramienta diagnóstica nos ayuda a descartar enfermedades asociadas y excluir otras patologías. Sheldon et al., reportaron 20 pacientes con PGP y siete de éstos tenían CU.4 En este último grupo el tiempo entre la cirugía y la presentación de PGP fue de 12 años (mediana de cinco años), a diferencia de esa serie, nuestra paciente presentó la lesión sincrónica seis semanas después de la proctocolectomia, quizás debido a un cuadro más agresivo. Tjandra et al., reportaron que el PGP puede estar relacionado a una mayor actividad de la enfermedad inflamatoria intestinal, pero nuestra paciente no tenía ninguna actividad intestinal previa a la proctocolectomia y además desarrolló una lesión sincrónica dos semanas después. Estos datos coinciden con los reportados por otros autores.1,9,10,11
La terapia debe dirigirse a prevenir la progresión de la úlcera, favorecer la epitelización y disminuir el dolor. En la actualidad, no existe un tratamiento específico para PGP.2 El tratamiento tópico o la monoterapia son generalmente insuficientes. Se recomienda el uso de corticoesteroides, metronidazol, 6-mercaptopurina, pentoxi- filina, ciclosporina, triamcinolona, azatriopina, infliximab, tacrolimus, talidomida, clofazimina y colchicina.2,3,9 También se han reportado curaciones del PGP con micofenolato de mofetil.12 La inmunosupresión es la base del tratamiento. La prednisolona a altas dosis y la metilprednisolona en pulsos (1 gr/día por tres a cinco días) son los medicamentos más recomendados. La ciclosporina puede ser utilizado para reducir la dependencia a corticoides, o cuando el pioderma es resistente a éstos.2,6
Después de la falla en el manejo local del PGP, el siguiente tratamiento es el médico. Con los resultados obtenidos en nuestra paciente, estamos de acuerdo con algunos autores que el PGP responde a terapias menos agresivas.8 Hasta nuestro conocimiento, éste es el primer caso de PGP en México y sugerimos sospechar esta patología en todos los pacientes con enfermedad inflamatoria intestinal operados de proctocolectomia que presentan úlceras periostomales de difícil control.
Correspondencia: Omar Vergara-Fernández, Departamento de Cirugía, Instituto Nacional de Ciencias Médicas y Nutrición “Salvador Zubirán”, Vasco de Quiroga 15, Tlalpan, Ciudad de México, México, 14000. Teléfono (52) 555573-9321 Fax (52) 555655-1076. E-mail: omarvergara74@ hotmail.com
Fecha recibido: 12 junio 2008 • Fecha aprobado: 27 julio 2008





