¿ Introducción
Las metástasis al duodeno y a la región periampular son poco frecuentes y representan la causa de menos de 5% de todas las pancreático-duodenectomías (PD) o procedimientos de Whipple.1-3 Los carcinomas que con mayor frecuencia producen metástasis a esta zona son: el melanoma, el cáncer de colon, el cáncer de pulmón y el carcinoma renal de células claras (CaRCC). De éstos, la mayoría dan metástasis al páncreas y no al duodeno, representando solo 3% de todas las neoplasias pancreáticas malignas.4-7 Por otra parte, la lesión metastásica del CaRCC al páncreas de forma aislada tiene mejor pronóstico que el adenocarcinoma ductal de páncreas por ser una lesión potencialmente resecable.4-11
Entre 25% a 30% de los pacientes con CaRCC presentan una enfermedad avanzada al momento del diagnóstico12 y hasta una tercera parte de los que se someten a una resección quirúrgica por una lesión localizada desarrollarán metástasis eventualmente.13,14 Inclusive, algunos pacientes con tumores bien diferenciados pueden desarrollar lesiones metacrónicas décadas después de una nefrectomía siendo el tiempo medio de detección de aproximadamente ocho años.4,15,16 Este cáncer frecuentemente hace metástasis a pulmón (75%), nódulos linfáticos (36%), hueso (20%) e hígado (18%).17,18 Sitios menos comunes de metástasis son el páncreas, la región periampular y el tracto gastrointestinal (GI); siendo de todos los segmentos del tracto digestivo, el duodeno, el que se ve involucrado con menor frecuencia.7,14,19
Ambos enfermos presentaron sangrado de tubo digestivo alto, años después de una nefrectomía. Asimismo, se realizó una revisión de los casos reportados en la literatura con la finalidad de emitir recomendaciones básicas sobre el diagnóstico y tratamiento de esta entidad.
¿ Objetivo
Informar acerca de dos casos en quienes se obtuvo el diagnostico de CaRCC metastásico al duodeno y al ámpula de Vater por medio de patología.
¿ Presentación de los casos
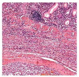
Caso 1. Mujer de 78 años de edad a quien se le había realizado una nefrectomía derecha por CaRCC 16 años previos a su padecimiento actual. Consultó por síndrome anémico, melena y pérdida de peso de tres años de evolución. Fue admitida al servicio de urgencias por sangrado activo de tubo digestivo alto (STDA), requiriendo la transfusión de un paquete globular. Durante el abordaje diagnóstico, la endoscopía del tracto gastrointestinal superior reveló una masa ulcerada en la segunda porción del duodeno, cuyas biopsias no fueron útiles para el diagnóstico histopatológico. Posteriormente se realizó una tomografía helicoidal, la cual mostró una gran tumoración periampular sin evidencia de metástasis; motivo por el que se decidió realizar una pancreato-duodenectomía (PD) clásica. Durante su estancia posoperatoria la paciente desarrolló una fístula biliar, que se resolvió de forma conservadora y fue dada de alta 15 días después de la intervención quirúrgica. La paciente permaneció asintomática y libre de enfermedad a un seguimiento de 53 meses. El informe histopatológico de la pieza quirúrgica reveló una masa exofítica de 5 cm por 3.2 cm en la segunda porción del duodeno, cerca del ámpula de Vater, que invadía las tres capas del duodeno en toda su extensión y la adventicia en algunos segmentos. La imagen microscópica del tumor consistía en células claras distribuidas en un patrón alveolar con núcleos de tamaño mediano y con nucléolos fácilmente reconocibles, consistente con un grado nuclear II (Figura 1). También fue posible apreciar algunos espacios vasculares de paredes delgadas dentro del tumor. Los márgenes quirúrgicos y los ganglios linfáticos fueron negativos para neoplasia.
¿ Figura 1. Se observa bajo microscopía de bajo poder, carcinoma renal por debajo de la mucosa duodenal.
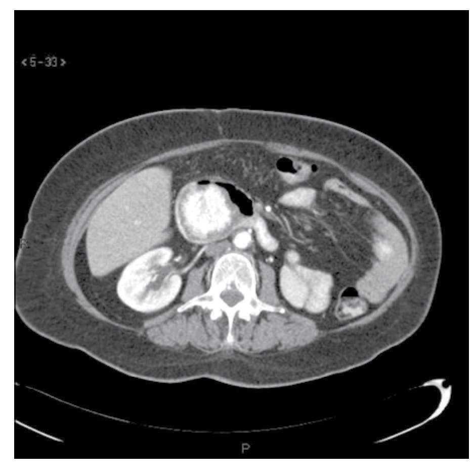
Caso 2. Una mujer de 68 años de edad con historia de nefrectomía izquierda por CaRCC seis años y medio antes del inicio de su padecimiento actual. Fue referida a nuestro Instituto por presentar STDA y dolor epigástrico. La paciente traía consigo un estudio endoscópico que revelaba una neoplasia en la segunda porción del duodeno, del cual no se obtuvieron biopsias. A su llegada se le realizó una tomografía helicoidal (Figura 2) que mostró una masa intraluminal hipervascular en la segunda porción del duodeno. Por este motivo se decidió realizar una PD clásica. La paciente egresó luego de 10 días de estancia intrahospitalaria sin presentar complicaciones. Ha permanecido asintomática y sin evidencia de enfermedad tras 34 meses seguimiento posoperatorio.
¿ Figura 2. Tomografía abdominal con contraste intravenoso en fase arterial, demostrando una masa intraluminal hipervascular en la segunda porción del duodeno. También se observa ausencia del riñón izquierdo.
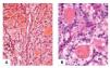
El informe histopatológico de la pieza quirúrgica reveló una masa metastásica de 4.9 cm por 4 cm en la segunda porción del duodeno, a 2 cm del ámpula de Vater, con márgenes quirúrgicos negativos y sin involucro linfático. En la imagen microscópica se observaron células tumorales con un núcleo pequeño, citoplasma claro y con nucléolos prominentes, lo que corresponde a un grado nuclear I (Figura 3). El tumor se encontraba organizado en un patrón acinar, mostrando espacios luminales centrales llenos de eritrocitos.
¿ Figura 3. Tumor metastásico organizado en un patrón acinar, mostrando espacios luminales centrales llenos de eritrocitos A). Células tumorales con núcleo y nucléolo pequeño B).
¿ Discusión
De todas las neoplasias metastásicas, 2% lo hacen al intestino delgado y de éstas, 7% son de origen renal.14,19,20 A pesar de su rareza, la mayoría de los casos debutaron como una hemorragia GI alta (69%) o con síntomas obstructivos; manifestándose como anemia, melena, fatiga, ictericia y saciedad temprana.6,7,11,14,16,19,20 Sin embargo, las neoplasias malignas como causa de sangrado gastrointestinal constituyen únicamente del 1% al 4% de todos los casos.14,21
Tras una revisión extensa de la literatura, pudimos identificar 15 pacientes sometidos a PD con diagnóstico patológico definitivo compatible con CaRCC metastásico al duodeno, lo que hace notar la rareza de esta entidad. En la Tabla 1 se muestra un resumen de los casos encontrados al momento de escribir este informe, incluyendo los dos aquí descritos. Al analizarlos, se encontró que las metástasis del CaRCC a duodeno pueden presentarse hasta 17.5 años después de la cirugía inicial16,22 con una mediana de presentación de 10 años.
La historia natural del CaRCC es impredecible. A pesar de que la resección del tumor primario puede ser curativa, existe la posibilidad de enfermedad metacrónica a sitios inesperados y poco comunes. Este curso errático obliga a dar seguimiento a los pacientes post-nefrectomizados en busca de la presentación de síntomas nuevos. Nabi y colaboradores recomiendan que pacientes con antecedente de CaRCC con síntomas digestivos sean sometido a una evaluación diagnóstica completa mediante estudios radiológicos y endoscópicos,16,23 ya que no es posible identificar la fuente de sangrado entre 7% a 25% de quienes son sometidos a una endoscopía.20 Aun cuando las metástasis solitarias a duodeno son poco frecuentes, recomendamos que esta entidad sea incluida en los diagnósticos diferenciales de aquellos pacientes con STDA años después de haber sido sometidos a una nefrectomía por CaRCC.4,5,14,18-20
En nuestro informe, ambas pacientes presentaron una masa tumoral solitaria de gran tamaño, así como sangrado de tubo digestivo alto años después de haber sido sometidas a una nefrectomía. Las dos pacientes fueron llevadas a quirófano con alta sospecha de un tumor duodenal primario por lo que se les realizó una PD clásica. Ambos especímenes quirúrgicos tuvieron márgenes negativos (resección R0) y ganglios sin evidencia de metástasis linfática. En ambos casos se consiguió una excelente sobrevida posterior a la cirugía, lo que refleja de manera consistente lo que ha sido reportado en la literatura. Tolia y colaboradores aseguraron que el tratamiento más efectivo de las metástasis solitarias de CaRCC es la resección quirúrgica, con un resultado favorable de supervivencia a cinco años entre 29% a 35%.24 Estos datos apoyan la utilidad de un abordaje quirúrgico agresivo siempre y cuando este sea factible.4,5,7,14,16-19 Aunque no existen indicaciones definitivas para realizar un procedimiento de Whipple en un paciente con CaRCC metastásico a la región periampular, la mayoría de los autores recomiendan la cirugía como el tratamiento de elección en masas aisladas y potencialmente resecables, especialmente cuando existe una gran probabilidad de obtener márgenes quirúrgicos negativos (resección R0).4,5,7,9,11,14,17-19 Reddy y colaboradores18 han sugerido una serie de criterios de resecabilidad para metástasis pancreáticas por lo que resulta razonable aplicar estos criterios a quienes presentan una lesión metastásica y solitaria en duodeno o en la región periampular. Por todo lo anterior, aún y cuando las neoplasias malignas constituyen una muy pequeña proporción de todas las causas de sangrado de tubo digestivo alto, el tomar en cuenta esta posibilidad diagnóstica es importante durante la evaluación del paciente. Solo mediante una alta sospecha se podrá hacer el diagnóstico y tratamiento correspondiente, brindándole al paciente la oportunidad de ser curado mediante la resección quirúrgica.
¿ Conclusión
Las metástasis a duodeno de un CaRCC son infrecuentes y cuando ocurren, lo más común es que debuten con sangrado de tubo digestivo alto. Este diagnóstico poco común deberá ser considerado aun cuando la neoplasia haya sido tratada muchos años atrás. Sugerimos realizar un abordaje exhaustivo, enfatizando la importancia de la endoscopia pero tomando en cuenta las biopsias tomadas por este medio pueden no ofrecer el diagnóstico. La resección completa del tumor mediante PD otorga la posibilidad de cura en caso de metástasis única.
Correspondencia: Dr. Carlos Chan.
Vasco de Quiroga N° 15, Colonia Sección XVI, Delegación Tlalpan, C. P. 1400, México D. F.
Teléfono: 555487 0900, ext: 2133 o 2143.
Correo electrónico: carchan@prodigy.net.mx..
Recibido el 26 de marzo de 2011;
aceptado el 11 de julio de 2011.






