¿ Introducción
Los tumores neuroendocrinos del páncreas (TNEP) representan menos de 5% de los tumores malignos del páncreas. Tienen una incidencia anual de uno por cada 100 000 habitantes1 y son más frecuentes entre la tercera y sexta década de edad.2 Algunos forman parte de síndromes genéticos como la neoplasia endocrina múltiple tipo 1, la neurofibromatosis tipo 1, el síndrome de von Hippel-Lindau y la esclerosis tuberosa.1,2 Los TNEP pueden ser funcionales o no funcionales. Los primeros secretan diversos tipos de hormonas, dependiendo de la célula neuroendocrina de origen (insulinoma, glucagonoma, VIPoma, gastrinoma). Los tumores no funcionales son endocrinológicamente inactivos y clínicamente silenciosos por lo que se revelan tardíamente cuando infiltran órganos vecinos.1,3 Los TNEP no funcionales representan 60% de los tumores neuroendocrinos del páncreas, son de lento crecimiento y la mayoría se localiza en la cabeza del órgano.2 Excepcionalmente se manifiestan por hemorragia gastrointestinal. Aquí presentamos un caso de TNEP no funcional que infiltró duodeno y se manifestó con hemorragia gastrointestinal de origen oscuro (HGIDOO) y cuyo diagnóstico fue realizado mediante cápsula endoscópica (CE).
¿ Presentación del caso
Mujer de 62 años de edad en quien se detectó una tumoración pancreática en forma incidental por tomografía computarizada (TC) abdominal realizada como evaluación preoperatoria para reparar una lesión ureteral ocasionada en una cirugía previa. La tumoración se localizó en la cabeza de páncreas y el proceso uncinado, hipodensa, de 5 cm por 3 cm por 4.5 cm de diámetro, con bordes irregulares y con compresión del duodeno. La paciente no tenía antecedentes familiares de cáncer pancreático, episodios previos de pancreatitis, historia de tabaquismo o consumo de alcohol. No presentaba dolor abdominal, evacuaciones diarreicas, ictericia o pérdida de peso. Se realizó ultrasonido endoscópico (USE) y biopsia por aspiración con aguja fina (BAAF) mediante los cuales se estableció un diagnóstico de tumor quístico seroso sin datos de malignidad. Los marcadores séricos tumorales como el CA 19-9 y el antígeno carcinoembrionario (ACE) fueron normales. Al no documentarse malignidad, la paciente rechazó una intervención quirúrgica para extirpar la tumoración. Un año después presentó anemia con hemoglobina sérica de 5.4 g/dL (normal de 12-16 g/dL) y hierro sérico de 14 u/dL (normal de 28-170 u/ dL). Negó hematemesis o melena. Sin embargo, la prueba de sangre oculta en heces fue positiva. Se realizaron esófago-gastro-duodenoscopia (EGD) y una colonoscopia que fueron normales. La paciente recibió trasfusión sanguínea, a pesar de lo cual continuó presentando episodios intermitentes de melena y anemia ferropénica durante varios meses. Una nueva EGD y una colonoscopia no documentaron el sitio de sangrado por lo que se decidió realizar estudio con cápsula endoscópica (Pill Cam SB, Given Imaging Ltd, Yokneam, Israel). La cápsula endoscópica (CE) detectó una lesión ulcerada en la mucosa del duodeno distal de aproximadamente 1 cm de diámetro de forma irregular, con sangrado activo (Figura 1). Se realizó embolización mesentérica selectiva para contener la hemorragia. Una EGD realizada con colonoscopio, posterior a la embolizacion, localizó una lesión isquémica cuya biopsia fue informada como duodenitis. Debido a la posibilidad de que existiera relación entre el tumor pancreático y la lesión duodenal se decidió intervenir quirúrgicamente. Durante la operación se localizó una tumoración solida de 6 cm a 7 cm, en el proceso uncinado del páncreas con invasión a la pared posterior de la tercera porción del duodeno, con involucro de vasos mesentéricos superiores por lo que se decidió realizar una operación de Kausch-Whipple (Figura 2). El estudio histopatológico informó un tumor sólido constituido por células cuboides con citoplasma granular dispuestas en un patrón trabecular insular y pseudoglandular. Por inmunohistoquímica las células tumorales fueron positivas para sinaptofisina neuronal enolasa-específica y cromogranina mientras que fueron negativas para citoqueratina, CD10 y vimentina (Figura 3). Con base en lo anterior el diagnóstico definitivo fue de carcinoma endócrino de los islotes pancreáticos diferenciado, no funcional, que invadía la submucosa duodenal con ganglios linfáticos mesentéricos negativos. La paciente recibió quimioterapia y a 12 meses de la intervención quirúrgica se encuentra en buenas condiciones generales.
¿ Figura 1. Estudio con la cápsula endoscópica del intestino delgado que demuestra una lesión ulcerada con sangrado activo filiforme en la parte distal del duodeno (flecha).
¿ Figura 2. Espécimen que muestra una sección quirúrgica del páncreas y duodeno. Se observa una tumoración de color pardo-amarillento de 6 cm por 3.6 cm en la cabeza del páncreas infiltrando la pared de la tercera porción del duodeno.
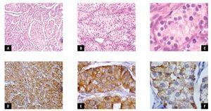
¿ Figura 3. Carcinoma endócrino. A) Patrón giriforme festoneado, separado por tabiques finos. (Tinción H&E, 10 aumentos); B) Trabéculas y lóbulos grandes en un tumor endocrino bien diferenciado (Tinción H&E, 10 aumentos); C) Conglomerado nuclear moderado con nucléolos visibles (Tinción H&E, 10 aumentos); D-E) Tinción con inmunoperoxidasa para la enolasa neuronal-específica en las células de tumor neuroendocrino (10 aumentos & 40 aumentos). F) Tinción para cromogranina A, con la técnica de inmunoperoxidasa la cual muestra tinción del citoplasma granular.
¿ Discusión
La diferenciación diagnostica entre el TNEP no funcional y el adenocarcinoma de páncreas es fundamental por lo que es necesario realizar métodos invasivos para la obtención de tejido. Los marcadores tumorales como la cromogranina-A tienen baja sensibilidad y especificidad en el diagnóstico por lo que su uso es muy limitado.3,4 El USE con BAAF5 se prefiere a la biopsia guiada con TC o con laparoscopia diagnóstica debido a su menor invasividad y mayor seguridad. Sin embargo, la exactitud diagnóstica del USE en lesiones quísticas de páncreas para distinguir una lesión benigna de una maligna varía ampliamente en un rango que va de 40% hasta 90% debido a que es un estudio dependiente del operador. La BAAF se realiza con el fin de aumentar el rendimiento diagnóstico del USE. De acuerdo con algunos reportes, el USE con BAAF tuvo una sensibilidad de 75% a 98%, una especificidad de 87% a 100%, un valor predictivo positivo de 98% y un valor predictivo negativo de 25% a 52% en los tumores sólidos de páncreas en los cuales el diagnóstico fue confirmado con la pieza quirúrgica.6 Sin embargo, la exactitud diagnóstica es significativamente menor en el tumor neuroendocrino (46.7%) en comparación con el adenocarcinoma (81.4%) y con otros tipos de tumores (75%).7 Probablemente, debido a esto el USE con BAFF no fue capaz de establecer con precisión el diagnóstico pre-operatorio en nuestra paciente.
Por otra parte, la hemorragia gastrointestinal como manifestación clínica inicial de los TNEP no funcionales es muy rara. El sangrado puede deberse a infiltración y erosión del duodeno (como fue el caso de nuestra paciente) o por compresión tumoral de la arteria esplénica o por trombosis de la vena mesentérica superior con la formación de várices gástricas o del intestino delgado respectivamente.8 Nuestra paciente tuvo episodios hemorrágicos repetidos debido a una lesión infiltrante ulcerada en la tercera porción del duodeno no identificada por la EGD, lo que condujo a realizar una CE. Desde su introducción para uso clínico en el año 2000, la CE ha incrementado la tasa de diagnóstico de las lesiones hemorrágicas de intestino delgado, ha tenido un elevado impacto en el tratamiento y ha modificado su evolución a largo plazo.9,10 Su naturaleza no invasiva y ambulatoria lo hacen ser el procedimiento de elección en el estudio de la HGIDOO. De acuerdo con estudios recientes la CE tiene una sensibilidad, especificidad, valor predictivo positivo y negativo de 88.9%, 95%, 97% y 82.6%, respectivamente. Las lesiones que con mayor frecuencia detecta la CE son angiodisplasias 29%, úlceras intestinales 12%, enfermedad de Crohn 6%, pólipos 2% y tumores 1%.11 Hasta donde sabemos, no existe algún caso publicado en la bibliografía sobre un TNEP no funcional de páncreas manifestado inicialmente con HGIDOO, debido a invasión duodenal cuyo diagnóstico se haya realizado con CE.
Para el control de la hemorragia decidimos usar embolización mesentérica selectiva, la cual tiene una tasa de éxito técnico en 95% y una efectividad hemostática prolongada en 63% de lesiones intestinales con sangrado activo.12 La conveniencia de utilizar en su lugar una enteroscopia para hemostasia y biopsia puede estar sujeta a debate.
¿ Conclusión
Este caso clínico pone en evidencia la importancia del uso de la cápsula endoscópica en el diagnóstico de los casos de hemorragia digestiva ocasionada por lesiones no diagnosticadas por la endoscopia convencional. Asimismo muestra que el uso de esta tecnología tiene un impacto clínico inmediato en estos pacientes.
Correspondencia: Dr. Diego García Compeán.
Madero y Gonzalitos S/N, Monterrey N. L. C.P. 64700 México.
Teléfono, fax: (81) 8348 7315.
Correo electrónico: digarciacompean@prodigy.net.mx.
Recibido el 28 de febrero de 2011;
aceptado el 13 de abril de 2011.





