¿ Introduction
Abscess of the psoas muscle is an uncommon entity. The real incidence is unknown but it seems to be increasing because of the raising use of imaging techniques. The diagnosis can be challenging because of nonspecific symptoms. Fever, hip pain and right iliac fossa tenderness are the classic symptoms; however, it usually has an insidious presentation with fever, abdominal pain, nausea, vomiting, anorexia and other vague manifestations. Staphylococcus aureus is the most common organism in primary psoas abscess. When secondary, cultures are usually mixed.1Pasteurella multocida is part of the normal oral flora of many animals and is a major pathogen in wound infections as a result of animal scratches or bites. It can cause a variety of infectious syndromes, but it is extremely rare to see psoas abscess due to this organism. We report an iliopsoas abscess due to this unusual microorganism that illustrates the difficulties in diagnosis and management. Only another case has been reported before in the literature.
¿ Case report
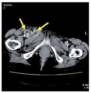
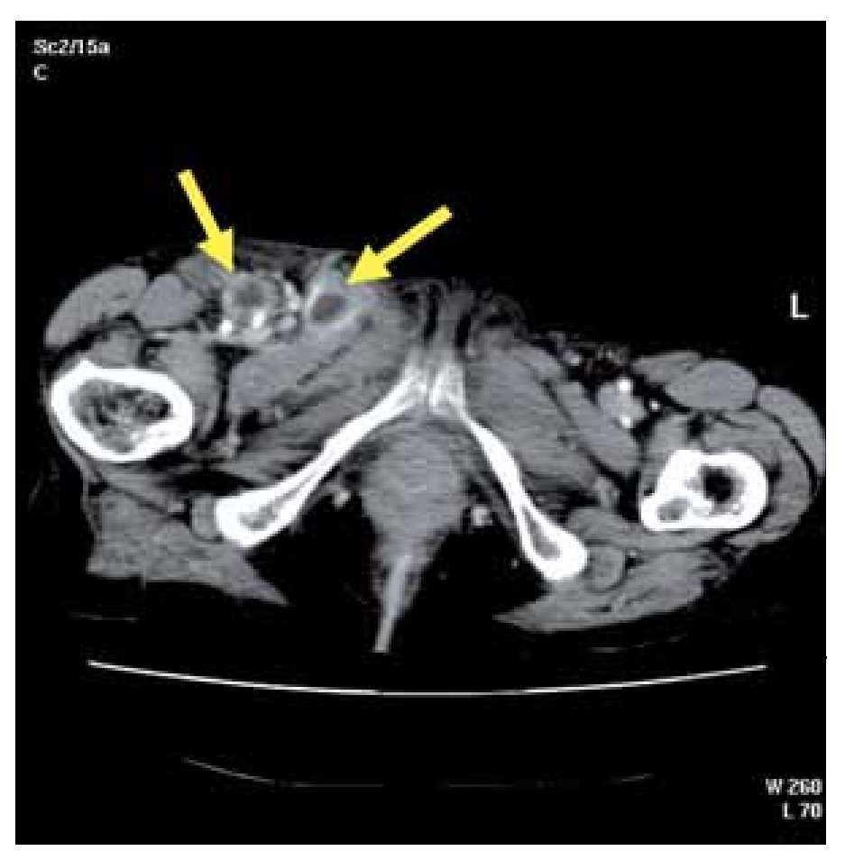
An 82-year-old female was admitted to hospital with seven-day history of right inguinal pain. The patient also complained of fever and malaise. There were no other associated symptoms and she denied a previous trauma. On physical examination she was febrile but other vital signs were normal. The chest exam revealed clear lungs with normal heart sounds and her abdomen was soft with normal bowel sounds. Only mild tenderness in the right flank was present. Her right leg was markedly swollen, indurated and with a descending erythema from her groin and proximal third of the tight to her knee. She had a painful and fluctuant area in her right groin and she also had physical signs of psoas inflammation. Laboratory studies showed leukocytosis with neutrophilia and D-dimer elevation. Deep venous thrombosis was initially suspected, so patient underwent Doppler ultrasonography. As this study did not show any alteration, a computed tomography (CT) was performed to investigate an infectious origin. The CT of the abdomen and pelvis revealed a right iliopsoas abscess affecting obturator (Figure 1) and adductors muscles reaching the distal third of the thigh adjacent to her knee. Multiple inguinal necrotic lymph nodes were also present (Figure 2). As a gastrointestinal infectious focus was suspected a diagnostic laparoscopy was decided, but there were no findings at surgery. Surgical drainage through right groin was made and purulent material was taken for culture. Intravenous empirical antibiotics were also administrated. Further diagnostic methods were made to elucidate the origin of this process when cultures of the purulent fluid yielded Pasteurella multocida. A new anamnesis revealed that the patient had a domestic cat and finally she remembered getting scratched on her right leg a few weeks ago. Detailed physical examination also demonstrated this little scratch, which probably was the primary source of infection. After surgical drainage and antibiotic therapy clinical course remained uneventful.
¿ Figure 1. Right iliopsoas abscess affecting obturator and adductors muscles.
¿ Figure 2. Multiple inguinal necrotic lymph nodes and groin abscess.
¿ Discussion
Psoas abscess is a relatively uncommon condition that represents only 6% of intra-abdominal abscess.1 Psoas abscess may be classified as primary or secondary. Primary psoas abscess occurs probably as a result of haematogenous spread of an infectious process from an occult source in the body. Even microscopic muscle trauma may be the origin of the infection. However a history of recent trauma is obtained only in 20% of cases.2 Primary psoas abscess is most prevalent in young patients and occurs rarely in the elderly population. Secondary psoas abscess occurs as a consequence of direct extension of an adjacent infection, as happened with our patient. Diseases of the gastrointestinal tract (appendicitis, diverticulitis, carcinoma, inflammatory bowel disease, etc.) are the most common causes in 80% of patients. Musculoskeletal infections (vertebral osteomyelitis, lumbar spondylodiskitis, infectious sacroilitis and septic arthritis), genitourinary and vascular infections are also frequent. Other less common etiologies have been described. Predisposing conditions include immunocompromised patients, such as diabetics, the elderly, patients on steroids, patients with malignancies and alcoholics.2,3
Clinical presentation of psoas abscesses is often variable and nonspecific. The classical clinical triad consisting of fever, groin or back pain, and lump is present in only 30% of the patients with iliopsoas abscess.3 Other symptoms are vague and may include abdominal pain, malaise, nausea, and weight loss. The onset is usually subacute, and symptoms are generally present for a few weeks.4 In the present case, patient presented with few of the classical symptoms characteristic of this process however the initial absence of etiology and the mild intensity made the diagnosis quite difficult.
Laboratory tests may reveal raised white cell count, anemia, and elevated erythrocyte sedimentation rate. However, correct diagnosis often requires appropriate imaging studies. Abdominal ultrasound is diagnostic in only 60% of the cases.3 Computed tomography with contrast should be done for definitive diagnosis and is considered the ''gold standard''.5 It also helps in identification of the etiology, for therapeutic purposes, and postoperative follow-up. Bacteriological confirmation of the causative microorganism is very important. Staphylococcus aureus is involved in over 88% of patients with primary psoas abscess. Secondary psoas abscess is caused by Streptococcus species 5% and Escherichia coli 3%.2 Empirical treatment should be started before final bacteriologic diagnosis and always should include anti-staphylococcal antibiotics. Aerobic and anaerobic bowel flora should also be covered when secondary psoas abscess is suspected. We can choose broad-spectrum antibiotics like cephalosporins, quinolones, imipenem and clindamycin pending final bacteriologic diagnosis.
Pasteurella multocida is Gram negative cocobacilus, facultatively anaerobic and has been isolated from the digestive system or respiratory tract of a variety of animals, especially domestic cats and dogs. It can be present in oral or nasal secretions of cats in 70% to 90%. Pasteurella multocida has also been found as a commensal in the oropharynx in 2% to 3% of humans that have domestic cats. Infections caused by Pasteurella multocida include three groups: 1) Systemic infections including bacteremia, meningitis, spontaneous peritonitis, brain abscess and intra-abdominal abscess, 2) Respiratory infections and 3) the most frequent group, local infections resulting from direct inoculation after animal bites and scratches specially cats which are the source of infection in 60% to 80%.6 However in absence of skin trauma, infections can occur after contact with secretions of the animal. In our patient the presumed route of infection was a small skin trauma due to a scratch on her leg that caused a severe infection of the soft tissues with lymphangitis, celulitis and abscess formation at the last.
The drug of choice for Pasteurella multocida is penicillin although other alternatives are also possible. The duration of antibiotic therapy must be individualized, guided by clinical signs, involvement of other structures and laboratory result. Antibiotics are sometimes continued up to two weeks after complete drainage of the abscess. In addition to appropriate antibiotic therapy, the drainage is mainstay treatment. In the past, open drainage of the abscess through an iliac crest incision was often the treatment of choice. Nowadays drainage can be surgical or radiological. CT-guided percutaneous drainage has the advantage of being less invasive and should be employed whenever possible however it may be difficult in some patients because of the location of the abscess. Open surgical drainage should be reserved if percutaneous drainage fails. For some authors surgical drainage is associated with shorter hospital stay (15.9 vs. 28.5 days).7 In our patient a surgical drainage was needed as the groin abscess was about to drain spontaneously. Occasionally some patients will require multiple operations7 or repeated percutaneous drainage before the abscess resolves. With appropriate treatment the prognosis is generally good. Primary psoas abscess has a better prognosis than secondary and usually the major cause of death is delayed or inadequate therapy. Mortality in un-drained cases approaches 100%.8 Only another case of psoas muscle abscess due to Pasteurella multocida has been reported in the literature. It was published in 1987 and was affecting to an inmunocompromised infant that was successfully treated by nonoperative methods.9
¿ Conclusion
Psoas abscess is a rare disorder that is often difficult to identify. A high index of suspicion is required for the diagnosis and percutaneous drainage is the treatment method of choice. We also emphasizes the importance of bacteriological confirmation of microorganism involved. In our case a thorough physical examination was also needed to make a correct diagnosis, although the growth of Pasteurella multocida on cultures was definitive.
Correspondence author: Alicia Ruiz De La Hermosa.
La Bañeza 40B, 2ºD. 28035. Madrid. Spain.
E-mail address: aliciaruiz9@hotmail.com.
Received February 17th, 2011;
accepted April 6th, 2011.




