Una masa hepática es una lesión focal que puede ser diferenciada del parénquima hepático circundante por medio de técnicas de imagen. El diagnóstico diferencial es amplio, con un rango que va desde lesiones benignas a neoplasias malignas. La historia clínica proporciona pistas para el diagnóstico de una masa hepática1. Una masa incidental, detectada por medio de estudios de imagen, en pacientes sin enfermedad hepática, alcoholismo o cáncer, es usualmente benigna (quistes simples, hemangiomas, adenoma hepático e hiperplasia nodular focal)2. En pacientes con cáncer, las lesiones metastásicas son las más frecuentes. En pacientes con cirrosis hepática o abuso de alcohol, el carcinoma hepatocelular (CHC) es el diagnóstico más probable. Es sabido que los fármacos antiepilépticos (FAE) están asociados a las lesiones hepáticas inducidas por fármacos y a carcinogénesis, lo cual explica la relación entre dosis altas de fenitoína y CHC en pacientes epilépticos3.
Algunos trastornos hepatobiliares están asociados con condiciones autoinmunes, incluida la enfermedad celíaca4,5. La fisiopatología aun no es clara, pero la relación entre la enfermedad celíaca y las malignidades hepáticas ha sido documentada6. Describimos en la presente carta el caso de un paciente con administración de fenitoína y enfermedad celíaca, con un tumor hepático localizado en el lóbulo caudado. Los estudios de imagen fueron inciertos y se realizó resección quirúrgica.
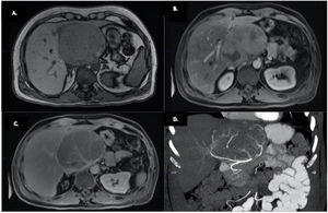
Un varón de 49 años con dolor abdominal en el cuadrante superior derecho fue atendido en el departamento de urgencias. El paciente tenía historia de epilepsia tratada por 20 años con 300mg/día de fenitoína. Un ultrasonido (US) abdominal mostró una masa isoecoica de 6×5×5cm en el lóbulo hepático izquierdo, y una tomografía computarizada (TC) reveló un hemangioma hepático. Dos años después, el paciente reportó dolor epigástrico posprandial. Un nuevo US identificó un incremento de 5cm en la lesión hepática. Una resonancia magnética contrastada con gadolinio mostró una masa hepática heterogénea de 10×9×10cm en el lóbulo caudado, hipointensa en secuencia en T1 e isointensa en secuencia en T2, con realce en la fase arterial y lavado en la fase venosa portal tardía (fig. 1). Una TC con contraste intravenoso mostró el tumor hepático íntimamente relacionado con las arterias gástricas izquierda y derecha. La vena porta y los vasos esplénicos no estaban comprometidos (fig. 1). Los estudios de laboratorio fueron normales, excepto por una hipertransaminasemia leve (ALT: 98U/l, AST 174U/l). Las pruebas para virus de hepatitis B y virus de hepatitis C fueron negativas y los valores de alfafetoproteína fueron normales.
A) Imagen de resonancia magnética contrastada con gadolinio, donde se observa una masa hepática de 10 × 9 × 10 cm, localizada en el lóbulo caudado, fuera de fase, hipointensa en secuencia en T1 e isointensa en secuencia en T2. B) realce en la fase arterial. C) Lavado en fase venosa portal tardía. D) Vista coronal de la imagen por TC. Se visualizó un tumor de 10 cm en el lóbulo caudado, en íntima relación con las arterias gástricas derecha e izquierda.
El paciente fue trasladado al quirófano y el acceso quirúrgico fue llevado a cabo por medio de una incisión bilateral subcostal. El tumor hepático estaba localizado en el lóbulo caudado, irrigado por las arterias gástricas izquierda y derecha (fig. 2). Se realizó la disección del tumor, separando los vasos celíacos y la vena porta. Se realizó una hepatectomía segmentaria del lóbulo caudado (fig. 2). La progresión posoperatoria del paciente fue satisfactoria y fue dado de alta 4 días posterior a la cirugía.
El diagnóstico histopatológico final confirmó un carcinoma hepatocelular de 10×10×11cm, con márgenes de 3mm (fig. 2).
En el seguimiento, 3 meses posterior a la cirugía, el paciente estaba asintomático y las pruebas de función hepática fueron normales.
El CHC es el tipo de cáncer hepático primario más frecuente. Es el sexto tumor sólido más común y la tercera causa de muerte asociada a cáncer en el mundo1,7. El CHC está normalmente asociado con enfermedad hepática crónica, aunque el 20% de los tumores se pueden desarrollar en pacientes no cirróticos7. Aunque nuestro paciente carecía de factores de riesgo típicos para CHC, el uso crónico de fenitoína puede considerarse como un factor de riesgo importante. Es sabido que los fármacos antiepilépticos causan lesión hepática crónica e incrementan el riesgo de CHC, con una razón de momios (RM) de 1,2 (IC 95%: 1,01-1,47). Se relacionan a un mayor riesgo a medida que incrementa la dosis diaria definida (DDD). Una ingesta de >180DDD incrementa la RM a 14,6 (IC 95%: 7,8-26,9)3. Estimamos que nuestro paciente consumió una media anual de DDD de 110.
El paciente tenía historia de enfermedad celíaca, la cual se asocia a trastornos hepatobiliares. Un reporte de caso documentó un CHC en un paciente con enfermedad celíaca en el contexto de cirrosis descompensada y obstrucción de flujo venoso hepático8. El incremento de la permeabilidad intestinal en la enfermedad celíaca favorece la entrada de antígenos, toxinas y citoquinas en la circulación portal, lo cual podría detonar inflamación y fibrosis5.
En el presente caso, se descartaron de manera retrospectiva otras causas de CHC en un hígado no cirrótico, como virus de hepatitis, colangitis esclerosante primaria y hemocromatosis.
La gravedad de los síntomas justificaba la exploración y el tratamiento quirúrgicos, independientemente del diagnóstico patológico. No se tomó biopsia.
La resección de lóbulo caudado es un procedimiento desafiante que requiere un conocimiento preciso de la anatomía. El sitio de incisión para el abordaje quirúrgico varía; en este caso, se realizó una incisión bilateral, principalmente por el tamaño del tumor y su relación anatómica con la curvatura menor del estómago y la arteria gástrica izquierda. La vascularidad tumoral fue controlada con éxito. Los estudios de imagen previos auxiliaron la identificación de las estructuras vasculares para evitar lesiones de las mismas.
El diagnóstico final fue CHC subtipo trabecular. Es el subtipo histológico más común, tanto en hígados cirróticos como no cirróticos y suma entre el 41 y el 76% de los casos. Por otro lado, el subtipo fibrolamelar ocurre casi exclusivamente en pacientes no cirróticos, forman el 5% de todos los casos de CHC y se detecta más frecuentemente en adultos jóvenes sin lesión hepática crónica9.
La supervivencia de pacientes no cirróticos con CHC depende principalmente de factores relacionados con el tumor, como el tamaño, la cápsula, la invasión vascular, el grado histológico, la resección R0 y las transfusiones sanguíneas intraoperatorias10. Nuestro paciente tuvo una resección R0 sin invasión vascular. Sin embargo, el tamaño del tumor fue >5cm, lo cual condiciona un mal pronóstico. Un año posterior a la cirugía, el paciente no tiene signos de recurrencia.
Consideraciones éticasLa presente investigación no involucró experimentos en humanos o animales y fue aprobado por el Comité de Ética de la Escuela de Medicina del Tecnológico de Monterrey y cumple con las regulaciones vigentes sobre investigación bioética.
Se obtuvo el consentimiento informado por escrito del paciente para el tratamiento y la publicación del presente trabajo, respecto a cualquier información personal o imágenes que pudieran identificarlo.
FinanciaciónEste trabajo no ha recibido ningún tipo de financiación.
Conflicto de interesesLos autores declaran no tener ningún conflicto de intereses.




