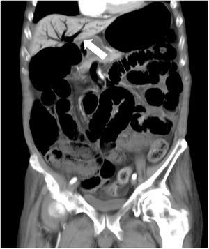
Un hombre de 81 años con historia de diabetes tipo 2 fue admitido en nuestro hospital debido a inflamación abdominal. Seis días antes comenzó a tomar voglibosa. En el examen físico se encontró distensión abdominal, pero no dolor. Una tomografía computarizada abdominal mejorada por contraste reveló un conducto intestinal expandido y enfisema portal (fig. 1). Se suspendió la voglibosa y el paciente fue sometido a laparotomía de urgencia por sospecha de isquemia mesentérica no oclusiva. Sin embargo, no se encontró necrosis intestinal o perforación (fig. 2). Se realizó a continuación descompresión intestinal y se realizó una tomografía computarizada al séptimo día de hospitalización, sin signos de enfisema portal (fig. 3). Se comenzó dieta oral al décimo día. El curso clínico del paciente fue sin incidentes y fue transferido a un hospital de cuidados de largo plazo al día 24. Se sabe que el gas de vena porta es una complicación rara en pacientes que toman inhibidores de alfa glucosidasa (α-GI) y podría ser resultado de neumatosis cistoide intestinal, más que de isquemia intestinal1,2. Puede ser manejado conservadoramente y se debería evitar el tratamiento quirúrgico innecesario.
Se obtuvo el consentimiento informado del paciente para la publicación de este artículo. Debido a que el trabajo presente es un reporte de caso, no se requirió autorización por parte del comité de ética de la institución.
FinanciaciónNo se recibió financiación con relación a este estudio/artículo.
Conflicto de interesesEl autor declara que no existe conflicto de intereses.
ReconocimientosEl autor desea agradecer a S. Kawano, por su apoyo en la práctica clínica diaria.





