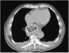
La miopericarditis es una enfermedad poco frecuente, predominando la etiología vírica, pero también puede deberse a una causa traumática directa o indirecta (por contigüidad). Presentamos a un varón de 76 años que acudió por dolor centrotorácico irradiado a escápula de 2 días de evolución, febrícula y disfagia a sólidos y líquidos. Se realizó electrocardiograma (fig. 1) donde se observa una elevación del segmento ST en las derivaciones precordiales. Analíticamente, PCR de 329.6mg/dl y elevación de troponinas de 1,695.8 pg/ml (normal 0-20). Ingresó por sospecha de miopericarditis aguda. Se realizó TC torácica (figs. 2 y 3) que informa de imagen cálcica localizada intraluminalmente en esófago de 55×50mm, que depende de pared esofágica derecha compatible con divertículo epifrénico con material luminal en su interior. Ante los hallazgos, el empeoramiento clínico y la ausencia de respuesta a antiinflamatorios, decidimos la realización de esofagogastroscopia (fig. 4 A y B), en la que se identifica dicho divertículo esofágico, con un hueso de ciruela, una pastilla y restos alimentarios en su interior, que se extraen secuencialmente con asa. Cabe destacar la presencia de lesiones por decúbito en la mucosa intradiverticular (fig. 5). Probablemente, la miopericarditis fuera producida por causa mecánica debido a la afectación del miopericardio por la inflamación transmural provocada por los cuerpos extraños retenidos en el divertículo (figs. 2 y 3). Tras la extracción, el paciente mejora y es dado de alta en 72 h.
Protección de personas y animales. Los autores declaran que para esta investigación no se han realizado experimentos en seres humanos ni en animales.
Confidencialidad de los datos. Los autores declaran que han seguido los protocolos de su centro de trabajo sobre la publicación de datos de pacientes.
Derecho a la privacidad y consentimiento informado. Los autores declaran que en este artículo se ha preservado en todo momento el anonimato del paciente.
El consentimiento informado no se solicitó para la publicación de este caso, porque en el presente artículo no se publican datos personales que permita identificar al paciente.
FinanciaciónLa presente investigación no ha recibido ayudas específicas provenientes de agencias del sector público, sector comercial o entidades sin ánimo de lucro.
Conflicto de interesesLos autores declaran que no existen conflictos de intereses.







