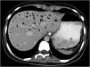
Una mujer de 16 años (IMC de 16.8kg/m2) acudió con cuadro de dolor abdominal epigástrico, náuseas y vómito alimentario, además de pérdida de peso de 19kg en 10 meses por trastorno de la conducta alimentaria (evitación/restricción). A su ingreso los resultados de laboratorio, biometría hemática, química sanguínea y examen general de orina resultaron sin anormalidades significativas. Se solicitó TAC de abdomen contrastada, en la que se identificaron los siguientes hallazgos: distensión gastroduodenal con zona de transición al nivel de la tercera porción del duodeno por compresión de la arteria mesentérica superior (AMS) (fig. 1), además de enfisema gástrico al nivel de la curvatura mayor y neumatosis portal (fig. 2); se le colocó sonda nasogástrica. A las 24h del ingreso se realizó endoscopia con CO2, en la que se encontró hemorragia subepitelial en el antro y cuerpo, con necrosis gástrica, edema y fondo de fibrina. No se demostró compresión extrínseca en el duodeno y se avanzó la sonda nasoyeyunal para la nutrición enteral (fig. 3). Se procedió con manejó conservador (sintomático y nutrición) y presentó una evolución clínica satisfactoria. A los 7 días de manejo toleró la vía oral y se solicitó una nueva TAC, que demostró la desaparición del gas portal. Fue dada de alta para seguimiento por psiquiatría y nutrición. El síndrome de Wilkie ocurre por una angulación aguda de la AMS (6° a 22°) con distancia aortomesentérica disminuida (2 a 8mm) que se ha asociado a condiciones con pérdida significativa de peso (fig. 4). El gas venoso portal hepático es un signo radiológico ominoso, asociado con enfermedades abdominales algunas veces letales (mortalidad 75%). En este caso, la sobredistensión gástrica por compresión vascular duodenal ocasionó necrosis gástrica y embolización de gas intraluminal hacia la vena porta.
Tomografía computarizada multidetector con contraste intravenoso y vía oral (A y B) fase simple (C y D). Fase arterial (A); corte coronal con importante distensión gástrica que disuelve el material de contraste. (B) Corte sagital con dilatación de la primera y segunda porción del duodeno con cambio abrupto de calibre de las asas intestinales. (C) Corte axial con distancia entre arteria mesentérica superior (*) y arteria aorta (AA) de 74mm. (D) Corte sagital con ángulo entre arteria mesentérica superior (*) y arteria aorta (AA) de 14°.
Tomografía computarizada multidetector reconstrucción 3D. Se observa importante distensión gástrica con la presencia de una sonda nasogástrica cuyo extremo distal está orientado hacia el antro gástrico. Nótese la importante disminución de la distancia entre la aorta y la arteria mesentérica superior.
Este trabajo no ha recibido ninguna financiación para su elaboración.
Consideraciones éticasLos autores declaran que este trabajo no contiene información que permita identificar al paciente. Se garantizó el derecho a la privacidad y a la preservación del anonimato del paciente. No se llevaron a cabo experimentos en animales o humanos.






