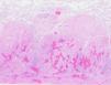
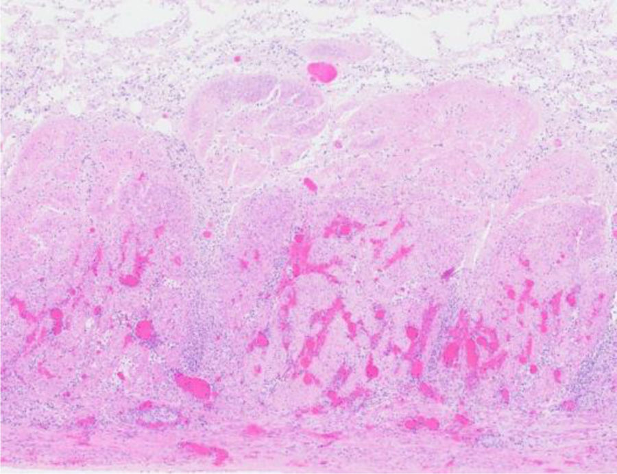
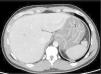
A 36-year-old male patient with no medical history of immunosuppression arrived at the emergency department with intense epigastric pain and fever. Due to persistent elevation of acute phase reactants, an urgent abdominal computed tomography (CT) scan was performed, visualizing increased mural thickness and submucosal edema of the gastric wall, suggestive of a gastric inflammatory process (Fig. 1). He presented with rapid deterioration and was transferred to the intensive care unit (ICU). Subsequently, an upper endoscopy was carried out, describing enlarged gastric folds (Fig. 2). The histologic study of the gastric biopsies showed acute inflammation and necrosis at the mucosa and submucosa (Fig. 3), with positive cultures for Streptococcus pyogenes. Despite antibiotic treatment, his response was poor, and he consequently underwent urgent surgery with total gastrectomy. The patient’s recovery was adequate, and he was discharged without incidents.
Acute phlegmonous gastritis is a rare condition with a high mortality rate that requires a strong index of suspicion. Streptococcus pyogenes is the causative agent in up to 70% of cases, although other agents may be involved. A diffusely thickened stomach wall in a CT scan must lead us to consider this pathology. The upper gastrointestinal endoscopy findings are varied and nonspecific. At any rate, the definitive diagnosis is made through carrying out gastric biopsy culture and histology. Based on the published literature, combining antibiotic therapy and surgical resection appears to be the best way to improve survival.
Ethical considerationsThe protocols of our work center on patient data publication have been followed and informed consent was obtained from the patients and/or subjects described in the article. No generative artificial intelligence was employed in writing this article or creating the figures, graphs, tables or their corresponding captions or legends.
Financial disclosureNo financial support was received in relation to this article.
The authors declare that there is no conflict of interest.





