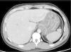
Se trata de un paciente de 36 años sin historia médica de inmunosupresión que acude al servicio de urgencias con dolor epigástrico intenso y fiebre. Debido a la elevación persistente de los reactantes de fase aguda, se realizó una tomografía computarizada (TC) abdominal, observando edema de submucosa y engrosamiento de la pared gástrica, sugerentes de un proceso de inflamación gástrica (fig. 1). El paciente presentó un rápido deterioro y fue transferido a la unidad de cuidados intensivos (UCI). Posteriormente, se realizó una endoscopía superior, encontrando pliegues gástricos engrosados (fig. 2). El estudio histológico de las biopsias gástricas mostró inflamación aguda y necrosis en mucosa y submucosa (fig. 3), con cultivos positivos para Streptococcus pyogenes. A pesar del tratamiento con antibióticos, la respuesta fue mala y en consecuencia se sometió a cirugía de urgencia con gastrectomía total. La recuperación del paciente fue adecuada y fue dado de alta, sin incidentes.
La gastritis flegmonosa aguda es una condición rara con una tasa de mortalidad alta, y requiere un fuerte índice de sospecha. El Streptococcus pyogenes es el agente causal en hasta el 70% de los casos, aunque otros agentes pueden estar involucrados. Una pared estomacal engrosada de manera difusa observada en una TC debe llevarnos a considerar esta patología. Los hallazgos de la endoscopía gastrointestinal superior son variados e inespecíficos. De cualquier manera, el diagnóstico definitivo se hace por medio de un cultivo de biopsia gástrica e histología. Con base en la literatura publicada, combinar terapia de antibióticos y resección quirúrgica parece mejorar la supervivencia.
FinanciaciónNo se recibió financiación alguna relacionado con el presente artículo.
Consideraciones éticasSe siguieron los protocolos de nuestro centro de trabajo respecto a la publicación de datos de pacientes y se obtuvo el consentimiento informado por escrito de los pacientes y/o sujetos descritos en el artículo. No se utilizó inteligencia artificial generativa para escribir el artículo o para crear las figuras, gráficas, tablas o sus respectivas descripciones o leyendas.
Conflicto de interesesLos autores declaran que no existe conflicto de intereses alguno.





