Cricopharyngeal achalasia (CA) is a motor disorder caused by the lack of relaxation of the cricopharyngeus muscle during swallowing.1 It is rare in pediatrics and its etiology is multifactorial, related to intramural nerve plexus alterations, central nervous system disorders, and infections.2 It can present in the first months of life but diagnosis tends to be delayed due to nonspecific symptoms and a low level of clinical suspicion. It manifests as dysphagia, regurgitation, nasopharyngeal reflux, cough, sialorrhea, recurrent pneumonia, bronchoaspiration, and failure to thrive.3,4
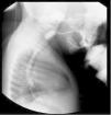
A male patient seen since he was 7 months of age at the pediatric gastroenterology service, with a history of upper respiratory symptoms since the first day, predominantly nocturnal nasopharyngeal reflux, recurrent broncho-obstructive episodes, episodes of apnea, cough during breastfeeding, sialorrhea, and poor secretion management. With complementary feeding, he presented with choking, the passage of food content through the nose, vomiting, and occasional regurgitation. At the first consultation, the patient’s anthropometric measurements were weight: 7.65 kg (–0.87 SD), height: 70 cm (0.08 SD), and weight-for-height: (–1.18 SD). Physical examination revealed no alterations. Due to clinical oropharyngeal dysphagia, an esophagogastroduodenoscopy (EGD) was performed that revealed a 60% reduction of the cervical esophageal lumen between C3 and C4 (Fig. 1), suggesting a cricopharyngeal spasm vs a vascular ring. In the EGD, a 60% reduction of the cricopharyngeal lumen was observed that impeded the passage of the endoscope. At 8 months of life, the first session of endoscopic dilation was carried out, improving the dysphagia and respiratory symptoms. Cricopharyngeal achalasia was suspected. High-resolution esophageal manometry, with a solid-state probe, using a 4.2 mm external probe and 36 sensors, showed an abnormal pressurization pattern in the cricopharyngeus muscle consistent with CA (Fig. 2). The patient was symptom-free up to 28 months of life, after which he presented with recurrence of the dysphagia. At present, the patient has required two endoscopic dilations, at 30 and 46 months. In the first dilation, an 8 mm balloon was employed and progressively advanced to 10 mm, 12 mm, and 15 mm. The patient currently has no dysphagia at 56 months of life, no new bronco-obstructive events, and weight gain is adequate.
Organic diseases, such as esophageal stricture, tracheoesophageal fistula, or tracheoesophageal cleft, must be ruled out in cases of dysphagia in infants.5 CA is included within the differential diagnosis and a high level of suspicion is required. Its delayed diagnosis can lead to serious complications, such as bronchoaspiration, recurrent pneumonia, dehydration, malnutrition, and even death.4,6
The study in the initial approach is the EGD or videofluoroscopy swallowing study; they evaluate the passage of contrast medium or food through the pharynx and the signs of penetration and/or aspiration into the airway.5 Typical findings are filiform passage through the cervical esophagus, accumulation in the pharynx, nasal regurgitation or contrast medium aspiration, and posterior protrusion into the pharyngoesophageal junction at the C5-C6 level.6 Esophageal manometry is the confirmatory diagnostic method; it evaluates the opening pressures of the upper esophageal sphincter (UES).4,6 Elevated resting pressures of the UES and absence of its relaxation during swallowing, with panesophageal pressurization, have been described in CA, findings that were found in our patient (Fig. 2). Some authors suggest EGD as part of the routine study of CA and describe spasm in the esophageal introitus as characteristic.6 Our patient presented with all the alterations reported in the literature, in all the studies mentioned above.
Published articles on treatment are scarce.7,8 Anticholinergic drugs are not very effective and are currently not recommended.1 The treatment of CA is a challenging task due to the inherent risks of the procedure, such as esophageal perforation, mediastinitis, and even death.8 Endoscopic dilations with pneumatic balloons or Savary bougies are considered the first therapeutic option.8 A meta-analysis showed success rates that varied from 65 to 100%, with recurrence rates between 0 and 50% of cases.7 Our patient had symptom recurrence one year after each endoscopic dilation, achieving complete remission of the dysphagia and respiratory symptoms between each of them.
Botulinum toxin at doses between 25-100 units injected into the cricopharyngeus muscle inhibits the release of acetylcholine, producing temporary relaxation of the muscle and consequently facilitating food transit.8 Response rates vary from 43 to 100%, albeit a Cochrane review showed insufficient evidence for its generalized use.9
Cricopharyngeus muscle myotomy is the definitive therapy of choice when there has not been a good response to dilations.8 Exclusively retrospective studies compared the open technique with the endoscopic approach, with the latter having a shorter operating time, reduced hospital stay, and fewer complications. Nevertheless, both groups showed functional improvement.10 Those treatments were not suggested for our patient because he responded well to the esophageal dilations.
In conclusion, the early diagnosis of CA requires a high level of clinical suspicion and should include the differential diagnosis for infants with dysphagia. Esophageal manometry is the study of choice, but its performance is technically difficult in infants. At present, no studies have been conducted for discerning which of the treatments is the most successful. We recommend esophageal dilation as first-line treatment, keeping its risk-benefit profile in mind.
Ethical considerationsThe authors declare that the right to privacy was observed, and no patient data appear in the article.
Confidentiality of data. The authors declare that they have followed the protocols of their work center on the publication of patient data.
Authorization by the ethics committee was not required given that this article is a retrospective description of the evolution of a clinical case. The parents of the patient gave their authorization and informed consent for the publication of this scientific letter.
Protection of human and animal subjects. The authors declare that no experiments were performed on humans or animals for this study.
Financial disclosureNo financial support was received in relation to this article.
Conflict of interestThe authors declare that there is no conflict of interest.




